产品名称
3dGRO® Human CRC Organoids (ISO68), Colorectal Cancer, Sigmoid Colon, Age: 63, Male, Mutation: APC, TP53, KRAS, SMAD4
biological source
human
packaging
pkg of >100,000 organoids vials
manufacturer/tradename
Sigma-Aldrich
gender
male
growth mode
N/A
technique(s)
cell culture | mammalian: suitable, cell culture | stem cell: suitable
application(s)
3D cell culture
control
colon (sigmoid)
shipped in
ambient
storage temp.
−70°C
General description
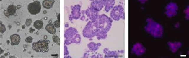
Colorectal cancer accounts for roughly 10% of all cancer cases worldwide with more than half of all patients with CRC developing metastatic disease leading to death. Recently tissue derived organoids have emerged as a more predictive 3 dimensional cell culture model of disease. 3D organoid cultures conserve the original genetic and phenotypic characteristics of the primary tissue allowing for their application in many research fields included drug development, personalized medicine and potential therapeutics. In vitro cultured tumor organoids have also been shown to predict patient response to chemotherapeutics. PDOs derived from colorectal cancer (CRC organoids) have been used for cell modeling and to investigate the function of cancer related driver gene mutations including APC, TP53, KRAS, BRAF, PIK3CA etc.
3dGRO® Human CRC Organoids are offered in a ready-to-assay format intended to simplify the organoid cell culture workflow. A single vial of organoids is enough to directly thaw and seed into a 96-well plate without cell expansion for drug screening applications. The organoids are manufactured using Cellesce’s patented technology which enables the robust growth and expansion of patient-derived organoids (PDOs). Cellesce’s technology minimizes manual handling time to maximize reproducibility in order to position organoid cell models as a cost effective and accurate tool in early-stage drug discovery. The organoid biobank includes tumor derived colorectal cancer PDOs from a range of genetic backgrounds, driver gene mutations, tumor sites and cancer stages. These organoid cell lines have been well characterized and are all validated for response against a number of known CRC-targeting agents.
3dGRO® Human CRC Organoids are offered in a ready-to-assay format intended to simplify the organoid cell culture workflow. A single vial of organoids is enough to directly thaw and seed into a 96-well plate without cell expansion for drug screening applications. The organoids are manufactured using Cellesce’s patented technology which enables the robust growth and expansion of patient-derived organoids (PDOs). Cellesce’s technology minimizes manual handling time to maximize reproducibility in order to position organoid cell models as a cost effective and accurate tool in early-stage drug discovery. The organoid biobank includes tumor derived colorectal cancer PDOs from a range of genetic backgrounds, driver gene mutations, tumor sites and cancer stages. These organoid cell lines have been well characterized and are all validated for response against a number of known CRC-targeting agents.
Application
Cell Growth: Organoid expansion after 7 daysMycoplasma: NegativeViral Testing: Negative (HIV-1, HIV-2, HBV, CMV, EBV, HPV)Sterility (Bacteria, Yeast, Fungi): NegativeMutational Profile: APC ∆Q1096*E1408*, TP53 ∆R248W, KRAS ∆G13D, SMAD4 ∆Q534*
Features and Benefits
Ready-to-Assay human colorectal cancer organoids for 3D cell culture applications.
Preparation Note
Store 3dGRO® Human CRC Organoids at -80°C. For long term storage the cells should be stored in liquid nitrogen.
Legal Information
3dGRO is a registered trademark of Merck KGaA, Darmstadt, Germany
Disclaimer
RESEARCH USE ONLY. This product is regulated in France when intended to be used for scientific purposes, including for import and export activities (Article L 1211-1 paragraph 2 of the Public Health Code). The purchaser (i.e. enduser) is required to obtain an import authorization from the France Ministry of Research referred in the Article L1245-5-1 II. of Public Health Code. By ordering this product, you are confirming that you have obtained the proper import authorization.
Unless otherwise stated in our catalog or other company documentation accompanying the product(s), our products are intended for research use only and are not to be used for any other purpose, which includes but is not limited to, unauthorized commercial uses, in vitro diagnostic uses, ex vivo or in vivo therapeutic uses or any type of consumption or application to humans or animals.
Unless otherwise stated in our catalog or other company documentation accompanying the product(s), our products are intended for research use only and are not to be used for any other purpose, which includes but is not limited to, unauthorized commercial uses, in vitro diagnostic uses, ex vivo or in vivo therapeutic uses or any type of consumption or application to humans or animals.
存储类别
12 - Non Combustible Liquids
wgk
WGK 3
flash_point_f
Not applicable
flash_point_c
Not applicable
法规信息
新产品
此项目有
商品
Organoid culture FAQs. Learn how to culture and analyze organoids following established 3D cell culture protocols. Tips and tricks.
全球贸易项目编号
| 货号 | GTIN |
|---|---|
| SCC506 | 04065266299106 |