biological source
rabbit
Quality Level
conjugate
unconjugated
antibody form
affinity isolated antibody
antibody product type
primary antibodies
clone
polyclonal
form
buffered aqueous solution
species reactivity
human, mouse
technique(s)
immunofluorescence: suitable, immunohistochemistry: suitable, indirect ELISA: suitable, western blot: suitable
UniProt accession no.
shipped in
dry ice
storage temp.
−20°C
target post-translational modification
unmodified
Gene Information
human ... BCL2(596)
General description
B-cell lymphoma 2 (BCL2), a proto-oncogene is made of three exons. It is widely expressed in immature B-cells and memory B cells. BCL2 is found at high levels in the thymus, spleen, and lymph nodes. BCL2 gene is mapped to human chromosome 18q21.33.
Immunogen
a peptide corresponding to 15 amino acids near the N-terminus of human Bcl-2.
Application
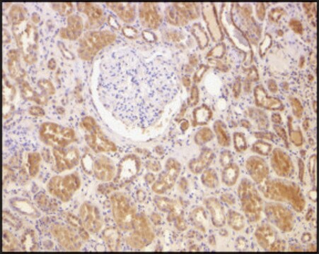
Anti-Bcl-2 (ab1) antibody produced in rabbit has been used in western blotting (1:100) (1:1000), immunohistochemistry (1:50), immunoprecipitation (IP) (1:1000)
Biochem/physiol Actions
B-cell lymphoma 2 (BCL2) plays a key role in maintaining the integrity of the mitochondrial membrane. It blocks the release of cytochrome C and its binding to apoptosis activating factor-1 (APAF1). BCL2 family proteins participate in modulating cell death. It also regulates apoptosis, necrosis, and autophagy. Upregulation of BCL2 is seen in several human cancers. Overexpression of BCL2 is observed in chronic lymphocytic leukemia (CLL), marginal cell lymphoma, and mantle cell lymphoma.
Physical form
Solution in phosphate buffered saline containing 0.02% sodium azide
Other Notes
The action of this antibody can be blocked using blocking peptide SBP3335.
Disclaimer
Unless otherwise stated in our catalog or other company documentation accompanying the product(s), our products are intended for research use only and are not to be used for any other purpose, which includes but is not limited to, unauthorized commercial uses, in vitro diagnostic uses, ex vivo or in vivo therapeutic uses or any type of consumption or application to humans or animals.
Still not finding the right product?
试用我们的 产品选型工具 工具缩小选择范围
存储类别
10 - Combustible liquids
wgk
WGK 2
flash_point_f
Not applicable
flash_point_c
Not applicable
法规信息
低风险生物材料
常规特殊物品
此项目有
Yudi Han et al.
International journal of molecular medicine, 41(2), 800-808 (2017-12-06)
Autophagy may be a major mechanism by which osteoblasts (OBs) protect against the negative effects of chronic glucocorticoid (GC) usage. OBs are closely associated with the remodeling that occurs in GC‑induced osteoporosis (GIO). In osteocytes, in response to stress induced by GCs, several
Leilei Yu et al.
Experimental and therapeutic medicine, 12(4), 2275-2280 (2016-10-05)
Diabetes is a metabolic disease that results from impairment in insulin secretion. The present study aimed to investigate the potential role of NOM1 in the function of pancreatic islet β cells and insulin secretion. MIN6 cells isolated from mice were
Zhihai Yuan et al.
Journal of biochemical and molecular toxicology, 36(9), e23138-e23138 (2022-07-16)
Glioma is the foremost recurrent type of brain tumor in humans; in particular, glioblastoma (GBM) is the main form of brain tumor (GBM) that is highly proliferative and impervious to apoptosis. Triphlorethol-A (TA), a phlorotannin isolated from Ecklonia cava, exhibited cytoprotective, antioxidant, and anticancer properties. However
全球贸易项目编号
| 货号 | GTIN |
|---|---|
| SBP3335-0.05MG | 04061832180083 |
| PRS3335-100UG | 04061832178745 |