biological source
mouse
Quality Level
recombinant
expressed in HEK 293 cells
conjugate
unconjugated
antibody form
purified antibody
antibody product type
primary antibodies
clone
6B8.2, recombinant monoclonal
product line
ZooMAb® learn more
form
lyophilized
mol wt
calculated mol wt 31.41 kDa, observed mol wt ~31 kDa
species reactivity
rat, mouse, human
packaging
antibody small pack of 25 μL
greener alternative product characteristics
Waste Prevention
Designing Safer Chemicals
Design for Energy Efficiency
Learn more about the Principles of Green Chemistry.
enhanced validation
recombinant expression
Learn more about Antibody Enhanced Validation
sustainability
Greener Alternative Product
technique(s)
immunocytochemistry: suitable, immunofluorescence: suitable, immunohistochemistry (formalin-fixed, paraffin-embedded sections): suitable, western blot: suitable
isotype
IgG
epitope sequence
Unknown
UniProt accession no.
greener alternative category
, Aligned
shipped in
ambient
storage temp.
2-8°C
target post-translational modification
unmodified
General description
Calretinin (UniProt: P47728; also known as CR) is encoded by the Calb2 gene (Gene ID: 117059) in rat. Calretinin belongs to the calbindin protein family and acts as a calcium-binding protein. It is expressed in both central and peripheral nervous system and is found abundantly in auditory neurons. Overexpression of calretinin has been reported in most types of malignant mesothelioma. It is involved in regulating cytosolic calcium ion concentrations and has multiple calcium-binding domains known as EF-hands. Its expression is shown to be regulated at the level of transcription by nuclear respiratory factor 1 (NRF-1) and E2F2 transcription factors. In rat striatum calretinin neurons form a distinct subset of medium-sized, aspiny, GABAergic interneurons. Calretinin can also serve as an important differential diagnostic tool for cystic and solid ameloblastic tumors. This ZooMAb® recombinant monoclonal antibody, generated by our propriety technology, offers significantly enhanced specificity, affinity, reproducibility, and stability over conventional monoclonals.
We are committed to bringing you greener alternative products, which adhere to one or more of The 12 Principles of Green Chemistry.This antibody is Preservative-free, produced without the harm or sacrifice of animals and exceptionally stable to allow for ambient shipping and storage if needed and thus aligns with "Waste Prevention", "Designing Safer Chemicals" and "Design for Energy Efficiency". Click here for more information.
ZooMAb® antibodies represent an entirely new generation of recombinant monoclonal antibodies.
Each ZooMAb® antibody is manufactured using our proprietary recombinant expression system, purified to homogeneity, and precisely dispensed to produce robust and highly reproducible lot-to-lot consistency. Only top-performing clones are released for use by researchers. Each antibody is validated for high specificity and affinity across multiple applications, including its most commonly used application. ZooMAb® antibodies are reliably available and ready to ship when you need them.
Learn more about ZooMAb here.
Each ZooMAb® antibody is manufactured using our proprietary recombinant expression system, purified to homogeneity, and precisely dispensed to produce robust and highly reproducible lot-to-lot consistency. Only top-performing clones are released for use by researchers. Each antibody is validated for high specificity and affinity across multiple applications, including its most commonly used application. ZooMAb® antibodies are reliably available and ready to ship when you need them.
Learn more about ZooMAb here.
Immunogen
Recombinant rat Calretinin.
Application
Quality Control Testing
Evaluated by Western Blotting in Mouse brain tissue lysate.
Western Blotting Analysis: A 1:1,000 dilution of this antibody detected Calretinin in Mouse brain tissue lysate.
Tested applications
Western Blotting Analysis: A 1:1,000 dilution from a representative lot detected Calretinin in lysates from rat brain, human brain, and U2OS cells.
Immunofluorescence Analysis: A 1:100 dilution from a representative lot detected Calretinin in rat brain tissue sections.
Immunocytochemistry Analysis: A 1:100 dilution from a representative lot detected Calretinin in E18 Rat cortical cells.
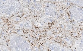
Immunohistochemistry (Paraffin) Analysis: A 1:100 dilution from a representative lot detected Calretinin in rat brain tissue sections.
Note: Actual optimal working dilutions must be determined by end user as specimens, and experimental conditions may vary with the end user
Evaluated by Western Blotting in Mouse brain tissue lysate.
Western Blotting Analysis: A 1:1,000 dilution of this antibody detected Calretinin in Mouse brain tissue lysate.
Tested applications
Western Blotting Analysis: A 1:1,000 dilution from a representative lot detected Calretinin in lysates from rat brain, human brain, and U2OS cells.
Immunofluorescence Analysis: A 1:100 dilution from a representative lot detected Calretinin in rat brain tissue sections.
Immunocytochemistry Analysis: A 1:100 dilution from a representative lot detected Calretinin in E18 Rat cortical cells.
Immunohistochemistry (Paraffin) Analysis: A 1:100 dilution from a representative lot detected Calretinin in rat brain tissue sections.
Note: Actual optimal working dilutions must be determined by end user as specimens, and experimental conditions may vary with the end user
Anti-Calretinin, clone 6B8.2 ZooMAb®, Cat. No. ZMS1073, is a recombinant Mouse monoclonal antibody that detects Calretinin and is tested for use in Immunocytochemistry, Immunofluorescence, Immunohistochemistry (Paraffin), and Western Blotting.
Biochem/physiol Actions
Clone 6B8.2 is a ZooMAb® mouse recombinant monoclonal antibody that specifically detects Calretinin.
Physical form
Purified recombinant mouse monoclonal antibody IgG, lyophilized in PBS, 5% Trehalose, normal appearance a coarse or translucent resin. The PBS/trehalose components in the ZooMAb formulation can have the appearance of a semi-solid (bead like gel) after lyophilization. This is a normal phenomenon. Please follow the recommended reconstitution procedure in the data sheet to dissolve the semi-solid, bead-like, gel-appearing material. The resulting antibody solution is completely stable and functional as proven by full functional testing. Contains no biocide or preservatives, such as azide, or any animal by-products. Larger pack sizes provided as multiples of 25 μL.
Preparation Note
Recommend storage of lyophilized product at 2-8°C; Before reconstitution, micro-centrifuge vials briefly to spin down material to bottom of the vial; Reconstitute each vial by adding 25 μL of filtered lab grade water or PBS; Reconstituted antibodies can be stored at 2-8°C, or -20°C for long term storage. Avoid repeated freeze-thaws.
Reconstitute lyophilized antibody pellet with 25μL of ultrapure water or Phosphate Buffered Saline (PBS). Please refer to our reconstitution protocol and the specific application guidance on the suggested starting dilutions and sample type.
Legal Information
ZooMAb is a registered trademark of Merck KGaA, Darmstadt, Germany
Disclaimer
Unless otherwise stated in our catalog or other company documentation accompanying the product(s), our products are intended for research use only and are not to be used for any other purpose, which includes but is not limited to, unauthorized commercial uses, in vitro diagnostic uses, ex vivo or in vivo therapeutic uses or any type of consumption or application to humans or animals.
Still not finding the right product?
试用我们的 产品选型工具 工具缩小选择范围
存储类别
11 - Combustible Solids
wgk
WGK 1
flash_point_f
Not applicable
flash_point_c
Not applicable
法规信息
常规特殊物品
此项目有
全球贸易项目编号
| 货号 | GTIN |
|---|---|
| ZMS1073-25UL | 04065266119152 |
| ZMS1073-4X25UL | 04065266119169 |