跳转至内容
Merck
CN

ZRB1000

Anti-Histone H4 Antibody, clone 5J18, ZooMAb® Rabbit Monoclonal

greener alternative

recombinant, expressed in HEK 293 cells

登录 查看组织和合同定价。

选择尺寸

变更视图

关于此项目

NACRES:
NA.41
UNSPSC Code:
12352203
Conjugate:
unconjugated
Clone:
5J18, recombinant monoclonal
Application:
IHC (p), IP, WB
Citations:
-
技术服务
需要帮助?我们经验丰富的科学家团队随时乐意为您服务。
让我们为您提供帮助


biological source

rabbit (recombinant)

Quality Level

recombinant

expressed in HEK 293 cells

conjugate

unconjugated

antibody form

purified antibody

antibody product type

primary antibodies

clone

5J18, recombinant monoclonal

product line

ZooMAb® learn more

form

lyophilized

mol wt

calculated mol wt 11.37 kDa, observed mol wt ~12 kDa

species reactivity

human, mouse

species reactivity (predicted by homology)

Xenopus

packaging

antibody small pack of 25 μL

greener alternative product characteristics

Waste Prevention
Designing Safer Chemicals
Design for Energy Efficiency
Learn more about the Principles of Green Chemistry.

enhanced validation

recombinant expression
Learn more about Antibody Enhanced Validation

sustainability

Greener Alternative Product

technique(s)

immunohistochemistry (formalin-fixed, paraffin-embedded sections): suitable, immunoprecipitation (IP): suitable, western blot: suitable (peptide)

isotype

IgG

UniProt accession no.

greener alternative category

shipped in

ambient

storage temp.

2-8°C

target post-translational modification

unmodified

Gene Information

frog ... H4C1(549623)
human ... H4C1(8359)
mouse ... H4C1(326619)

General description

Histone H4 (UniProt P62805; also known as H4 histone family member A, Histone 1 H4a) is encoded by the HIST1H4A (also known as H4/A, H4FA) gene (Gene ID 8359) in human. Histones play a central role in transcription regulation, DNA repair, DNA replication and chromosomal stability. DNA accessibility is regulated via a complex set of post-translational modifications of histones, also called histone code, and nucleosome remodeling. Histone H4 is one of the main histone proteins that contribute to the chromatin structure in both prokaryotic and eukaryotic cells. Histone H4 can undergo several different types of epigenetic modifications that influence cellular processes, including methylation, acetylation, and phosphorylation. For example, Acetylation at Lys6, Lys9, Lys13 and Lys17 is shown to occur in coding regions of the genome but not in heterochromatin. Monomethylation and asymmetric dimethylation at Arg4 is reported to favor acetylation at Lys9 and Lys13. Histone H4 can be phosphorylated by Tie2 on Tyr51, which is shown to preferentially occur in the presence of core histones. The phosphorylated H4 is recognized by the proto-oncogene ABL1. Histone H4 is also phosphorylated on Ser48 by PAK2, which is shown to increase the association of H3.3-H4 with the histone chaperone HIRA, thus promoting nucleosome assembly of H3.3-H4 and inhibiting nucleosome assembly of H3.1-H4. Chromosomal aberrations involving histone H4 causes of B-cell non-Hodgkin lymphomas. This ZooMAb recombinant monoclonal antibody, generated by our propriety technology, offers significantly enhanced specificity, affinity, reproducibility, and stability over conventional monoclonals.
We are committed to bringing you greener alternative products, which adhere to one or more of The 12 Principles of Green Chemistry.This antibody is Preservative-free, produced without the harm or sacrifice of animals and exceptionally stable to allow for ambient shipping and storage if needed and thus aligns with "Waste Prevention", "Designing Safer Chemicals" and "Design for Energy Efficiency". Click here for more information.
ZooMAb antibodies represent an entirely new generation of recombinant monoclonal antibodies.

Each ZooMAb antibody is manufactured using our proprietary recombinant expression system, purified to homogeneity, and precisely dispensed to produce robust and highly reproducible lot-to-lot consistency. Only top-performing clones are released for use by researchers. Each antibody is validated for high specificity and affinity across multiple applications, including its most commonly used application. ZooMAb antibodies are reliably available and ready to ship when you need them.

Learn more about ZooMAb here.

Immunogen

KLH-conjugated linear peptide corresponding to 10 amino acids from the N-terminal region of human Histone H4.

Application

Anti-Histone H4, clone 5J18 ZooMAb , Cat. No. ZRB1000, is a highly specific rabbit recombinant monoclonal antibody that targets Histone H4 and has been tested for use in Immunohistochemistry (Paraffin), Immunoprecipitation, and Western Blotting.
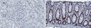
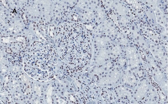
Immunohistochemistry (Paraffin) Analysis: A 1:10-100 dilution from a representative lot detected Histone H4 in human kidney and human colon tissue sections.

Immunoprecipitation Analysis: 300 ng from a representative lot immunoprecipitated Histone H4 in BALB3T3/A31 acid extract.

Note: Actual optimal working dilutions must be determined by the end user as specimens and experimental conditions may vary.

Biochem/physiol Actions

Clone 5J18 ZooMAb is a rabbit recombinant monoclonal antibody that specifically detects histone H4. It targets an epitope with in 10 amino acids from the N-terminal region.

Physical form

Purified recombinant rabbit monoclonal antibody IgG, lyophilized in PBS with 5% Trehalose. Normal appearance is a coarse or translucent resin. Contains no biocide or preservatives, such as azide, or any animal by-products. Larger pack sizes provided as multiples of 25 μL.

Preparation Note

Recommend storage of lyophilized product at 2-8°C; Before reconstitution, micro-centrifuge vials briefly to spin down material to bottom of the vial; Reconstitute each vial by adding 25 μL of filtered lab grade water or PBS; Reconstituted antibodies can be stored at 2-8°C, or -20°C for long term storage. Avoid repeated freeze-thaws.
Reconstitute lyophilized antibody pellet with 25μL of ultrapure water or Phosphate Buffered Saline (PBS). Please refer to our reconstitution protocol and the specific application guidance on the suggested starting dilutions and sample type.

Legal Information

ZooMAb is a registered trademark of Merck KGaA, Darmstadt, Germany

Disclaimer

Unless otherwise stated in our catalog or other company documentation accompanying the product(s), our products are intended for research use only and are not to be used for any other purpose, which includes but is not limited to, unauthorized commercial uses, in vitro diagnostic uses, ex vivo or in vivo therapeutic uses or any type of consumption or application to humans or animals.


Still not finding the right product?

试用我们的 产品选型工具 工具缩小选择范围


存储类别

11 - Combustible Solids

wgk

WGK 2

flash_point_f

Not applicable

flash_point_c

Not applicable

法规信息

常规特殊物品

此项目有



历史批次信息供参考:

分析证书(COA)

Lot/Batch Number

没有发现合适的版本?

如果您需要特殊版本,可通过批号或批次号查找具体证书。

已有该产品?

在文件库中查找您最近购买产品的文档。

访问文档库