跳转至内容
Merck
CN

ZRB1001

Anti-YAP1 Antibody, clone 4F22, ZooMAb® Rabbit Monoclonal

greener alternative

recombinant, expressed in HEK 293 cells

别名:

Protein yorkie homolog, Transcriptional coactivator YAP1, Yes-associated protein 1, Yes-associated protein YAP65 homolog

登录 查看组织和合同定价。

选择尺寸

变更视图

关于此项目

NACRES:
NA.43
UNSPSC Code:
12352203
Conjugate:
unconjugated
Clone:
4F22, recombinant monoclonal, monoclonal
Application:
ICC, IHC (p), WB
Citations:
-
技术服务
需要帮助?我们经验丰富的科学家团队随时乐意为您服务。
让我们为您提供帮助


biological source

rabbit (recombinant)

Quality Level

recombinant

expressed in HEK 293 cells

conjugate

unconjugated

antibody form

purified antibody

antibody product type

primary antibodies

clone

4F22, recombinant monoclonal, monoclonal

product line

ZooMAb® learn more

form

lyophilized

mol wt

calculated mol wt 54.46 kDa, observed mol wt ~65 kDa

species reactivity

mouse, human

packaging

antibody small pack of 25 μL

greener alternative product characteristics

Waste Prevention
Designing Safer Chemicals
Design for Energy Efficiency
Learn more about the Principles of Green Chemistry.

enhanced validation

recombinant expression
Learn more about Antibody Enhanced Validation

sustainability

Greener Alternative Product

technique(s)

immunocytochemistry: suitable using 1:100, immunohistochemistry (formalin-fixed, paraffin-embedded sections): 1:10-1:100, western blot: suitable using 1:1,000

isotype

IgG

UniProt accession no.

greener alternative category

shipped in

ambient

storage temp.

2-8°C

target post-translational modification

unmodified

Gene Information

General description

Transcriptional coactivator YAP1 (UniProt: P46937; also known as Yes-associated protein 1, Protein yorkie homolog, Yes-associated protein YAP65 homolog) is encoded by the YAP1 (also known as YAP65) gene (Gene ID: 10413) in human. YAP1 is a transcriptional regulator that can act both as a coactivator and a corepressor and is the critical downstream regulatory target in the Hippo signaling pathway. It also plays a key role in tissue tension and 3D tissue shape by regulating cortical actomyosin network formation. YAP1 contains two WW domains (aa 171-204 and 230-263) and a transactivation domain (aa 291-504). It also has two coiled coil regions (aa 86-100 and 298-359) and the first coiled-coil region is reported to mediate most of the interaction with TEAD transcription factors. The presence of TEAD transcription factors is required for YAP1 to stimulate gene expression, cell growth, anchorage-independent growth, and epithelial mesenchymal transition (EMT) induction. YAP1 phosphorylation status and cell density can regulate its subcellular localization. Its phosphorylation by LATS1 and LATS2 leads to its cytoplasmic translocation and inactivation. YAP1 can also be phosphorylated by ABL1, which leads to its stabilization, increased interaction with TP73, and recruitment onto proapoptotic genes in response to DNA damage. Nine isoforms of YAP1 have been described that are produced by alternative splicing. Mutations in YAP1 gene have been linked to ocular coloboma that is characterized by uveal colobomata, microphthalmia, cataract and cleft lip/palate. Higher expression of YAP1 has been reported in some liver and prostate cancers. This ZooMAb recombinant monoclonal antibody, generated by our propriety technology, offers significantly enhanced specificity, affinity, reproducibility, and stability over conventional monoclonals.
We are committed to bringing you greener alternative products, which adhere to one or more of The 12 Principles of Green Chemistry.This antibody is Preservative-free, produced without the harm or sacrifice of animals and exceptionally stable to allow for ambient shipping and storage if needed and thus aligns with "Waste Prevention", "Designing Safer Chemicals" and "Design for Energy Efficiency". Click here for more information.
ZooMAb antibodies represent an entirely new generation of recombinant monoclonal antibodies.

Each ZooMAb antibody is manufactured using our proprietary recombinant expression system, purified to homogeneity, and precisely dispensed to produce robust and highly reproducible lot-to-lot consistency. Only top-performing clones are released for use by researchers. Each antibody is validated for high specificity and affinity across multiple applications, including its most commonly used application. ZooMAb antibodies are reliably available and ready to ship when you need them.

Learn more about ZooMAb here.

Immunogen

His-tagged recombinant fragment corresponding to 148 amino acids from the C-terminal half of human Transcriptional coactivator YAP1.

Application

Anti-YAP1, clone 4F22, ZooMAb, Cat. No. ZRB1001, is a recombinant Rabbit Monoclonal Antibody that specifically targets Transcriptional coactivator YAP1 and has been tested for use in Immunocytochemistry, Immunohistochemistry (Paraffin), and Western Blotting.
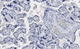
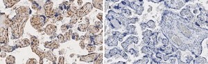
Immunohistochemistry (Paraffin) Analysis: A 1:10 dilution from a representative lot detected YAP1 in human placenta, human pancreatic cancer, and mouse colon tissue sections.

Immunocytochemistry Analysis: A 1:100 dilution from a representative lot detected YAP1 in HUVEC, HeLa, A431, and NIH 3T3 cells.

Biochem/physiol Actions

Clone 4F22 is a ZooMab rabbit recombinant monoclonal antibody that specifically detects human and murine Transcriptional coactivator YAP1.

Physical form

Purified recombinant rabbit monoclonal antibody IgG, lyophilized in PBS with 5% Trehalose, normal appearance a coarse or translucent resin. Contains no biocide or preservatives, such as azide, or any animal by-products. Larger pack sizes provided as multiples of 25 μL.

Preparation Note

Recommend storage of lyophilized product at 2-8°C; Before reconstitution, micro-centrifuge vials briefly to spin down material to bottom of the vial; Reconstitute each vial by adding 25 μL of filtered lab grade water or PBS; Reconstituted antibodies can be stored at 2-8°C, or -20°C for long term storage. Avoid repeated freeze-thaws.
Reconstitute lyophilized antibody pellet with 25μL of ultrapure water or Phosphate Buffered Saline (PBS). Please refer to our reconstitution protocol and the specific application guidance on the suggested starting dilutions and sample type.

Legal Information

ZooMAb is a registered trademark of Merck KGaA, Darmstadt, Germany

Disclaimer

Unless otherwise stated in our catalog or other company documentation accompanying the product(s), our products are intended for research use only and are not to be used for any other purpose, which includes but is not limited to, unauthorized commercial uses, in vitro diagnostic uses, ex vivo or in vivo therapeutic uses or any type of consumption or application to humans or animals.


Still not finding the right product?

试用我们的 产品选型工具 工具缩小选择范围


存储类别

11 - Combustible Solids

wgk

WGK 1

flash_point_f

Not applicable

flash_point_c

Not applicable

法规信息

常规特殊物品

此项目有



历史批次信息供参考:

分析证书(COA)

Lot/Batch Number

没有发现合适的版本?

如果您需要特殊版本,可通过批号或批次号查找具体证书。

已有该产品?

在文件库中查找您最近购买产品的文档。

访问文档库