跳转至内容
Merck
CN

ZRB1003

Anti-c-Myc Antibody, clone 7E18, ZooMAb® Rabbit Monoclonal

greener alternative

recombinant, expressed in HEK 293 cells

别名:

Class E basic helix-loop-helix protein 39, Myc proto-oncogene protein, Proto-oncogene c-Myc, Transcription factor p64, bHLHe39

登录 查看组织和合同定价。

选择尺寸

变更视图

关于此项目

NACRES:
NA.41
UNSPSC Code:
12352203
Clone:
7E18, recombinant monoclonal, monoclonal
Conjugate:
unconjugated
Application:
ICC, IHC, WB, gene knockdown
Citations:
-
技术服务
需要帮助?我们经验丰富的科学家团队随时乐意为您服务。
让我们为您提供帮助


biological source

rabbit (recombinant)

Quality Level

recombinant

expressed in HEK 293 cells

conjugate

unconjugated

antibody form

purified antibody

antibody product type

primary antibodies

clone

7E18, recombinant monoclonal, monoclonal

product line

ZooMAb® learn more

form

lyophilized

mol wt

calculated mol wt 48.8 kDa, observed mol wt ~55 kDa

species reactivity

mouse, human

packaging

antibody small pack of 25 μL

greener alternative product characteristics

Waste Prevention
Designing Safer Chemicals
Design for Energy Efficiency
Learn more about the Principles of Green Chemistry.

enhanced validation

recombinant expression
Learn more about Antibody Enhanced Validation

sustainability

Greener Alternative Product

technique(s)

gene knockdown: suitable using 1:1,000, immunocytochemistry: 1:100-1:250, immunohistochemistry: suitable using 1:100, western blot: suitable using 1:1,000

isotype

IgG

UniProt accession no.

greener alternative category

shipped in

ambient

storage temp.

2-8°C

target post-translational modification

unmodified

Gene Information

General description

Myc proto-oncogene protein (UniProt: P01106; also known as Class E basic helix-loop-helix protein 39, bHLHe39, Proto-oncogene c-Myc, Transcription factor p64) is encoded by the MYC (also known as BHLHE39) gene (Gene ID: 4609) in human. c-Myc is a transcription factor that binds DNA in a non-specific manner, yet also specifically recognizes the core sequence 5′-CAC[GA]TG-3′. It regulates the expression of multiple genes involved in apoptosis, cell differentiation and cell proliferation. c-Myc is shown to be critically involved in the regulation of several growth promoting signaling pathways and is considered as an immediate early response gene that is downstream of many ligand-membrane receptor complexes. Its expression is reported to be tightly regulated by several transcriptional regulatory motifs within its proximal promoter region. Phosphorylation of c-Myc by serine/threonine kinase PIM2 at serine 329 is reported to lead to its stabilization. Active c-Myc is coupled to the MAX protein via its C-terminal helix-loop-helix leucine zipper (bHLHLZ) domain (aa 413-434) and this heterodimer interacts with a number of other transcription-related proteins. In normal cells its expression and function are regulated by developmental or mitogenic signals. c-Myc mRNA has a very short half-life and in the absence of positive regulatory signals there is a significant reduction in its transcription leading to low c-Myc protein levels that does not have any proliferative drive. However, in tumor cells its levels are increased either via mutations or induction via upstream oncogenic pathways. Mutations in c-Myc gene are known to cause B-cell chronic lymphocytic leukemia and Burkitt lymphoma. Over-expression of c-Myc has been reported in about 40% tumors. This ZooMAb recombinant monoclonal antibody, generated by our propriety technology, offers significantly enhanced specificity, affinity, reproducibility, and stability over conventional monoclonals. (Ref.: Miller, DM et al., (2012). Clin. Cancer Res. 18(20); 5546-5553).
We are committed to bringing you greener alternative products, which adhere to one or more of The 12 Principles of Green Chemistry.This antibody is Preservative-free, produced without the harm or sacrifice of animals and exceptionally stable to allow for ambient shipping and storage if needed and thus aligns with "Waste Prevention", "Designing Safer Chemicals" and "Design for Energy Efficiency". Click here for more information.
ZooMAb antibodies represent an entirely new generation of recombinant monoclonal antibodies.

Each ZooMAb antibody is manufactured using our proprietary recombinant expression system, purified to homogeneity, and precisely dispensed to produce robust and highly reproducible lot-to-lot consistency. Only top-performing clones are released for use by researchers. Each antibody is validated for high specificity and affinity across multiple applications, including its most commonly used application. ZooMAb antibodies are reliably available and ready to ship when you need them.

Learn more about ZooMAb here.

Immunogen

GST/His-tagged recombinant fragment corresponding to 109 amino acids from the internal region of human c-Myc.

Application

Anti-c-Myc, clone 7E18, ZooMAb, Cat. No. ZRB1003-25UL, is a recombinant Rabbit Monoclonal Antibody that specifically targets c-Myc proto-oncogene and has been tested for use in Immunocytochemistry, Immunohistochemistry, RNAi/siRNA/Gene Knockdown, and Western Blotting,
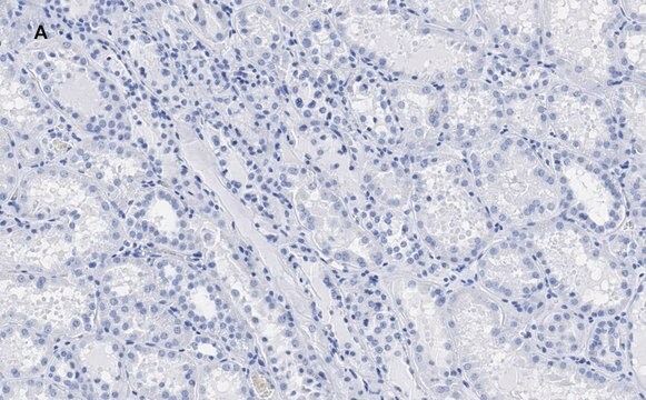
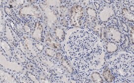
Immunohistochemistry (Paraffin) Analysis: A 1:100 dilution from a representative lot detected c-Myc in human kidney, mouse testis, and human cervical cancer tissue sections.

RNAi/siRNA/Gene Knockdown Analysis: A 1:1000 dilution from a representative lot detected c-Myc in lysate from wild-type HEK293 cells, but not in HEK293 cells with c-myc knocked out using CRISPR.

Immunocytochemistry Analysis: A 1:250 dilution from a representative lot detected Myc proto-oncogene protein in HeLa, A431, HUVEC, and NIH 3T3 cell lines.

Biochem/physiol Actions

Clone 7E18 is a ZooMAb rabbit recombinant monoclonal antibody that specifically detects human Myc proto-oncogene protein (c-Myc).

Physical form

Purified recombinant rabbit monoclonal antibody IgG, lyophilized in PBS with 5% Trehalose, normal appearance a coarse or translucent resin. Contains no biocide or preservatives, such as azide, or any animal by-products. Larger pack sizes provided as multiples of 25 μL.

Preparation Note

Recommend storage of lyophilized product at 2-8°C; Before reconstitution, micro-centrifuge vials briefly to spin down material to bottom of the vial; Reconstitute each vial by adding 25 μL of filtered lab grade water or PBS; Reconstituted antibodies can be stored at 2-8°C, or -20°C for long term storage. Avoid repeated freeze-thaws.
Reconstitute lyophilized antibody pellet with 25μL of ultrapure water or Phosphate Buffered Saline (PBS). Please refer to our reconstitution protocol and the specific application guidance on the suggested starting dilutions and sample type.

Legal Information

ZooMAb is a registered trademark of Merck KGaA, Darmstadt, Germany

Disclaimer

Unless otherwise stated in our catalog or other company documentation accompanying the product(s), our products are intended for research use only and are not to be used for any other purpose, which includes but is not limited to, unauthorized commercial uses, in vitro diagnostic uses, ex vivo or in vivo therapeutic uses or any type of consumption or application to humans or animals.


Still not finding the right product?

试用我们的 产品选型工具 工具缩小选择范围


存储类别

11 - Combustible Solids

wgk

WGK 1

flash_point_f

Not applicable

flash_point_c

Not applicable

法规信息

常规特殊物品
常规特殊物品

此项目有



历史批次信息供参考:

分析证书(COA)

Lot/Batch Number

没有发现合适的版本?

如果您需要特殊版本,可通过批号或批次号查找具体证书。

已有该产品?

在文件库中查找您最近购买产品的文档。

访问文档库


商品

Learn about the hallmarks of cancer and find reliable ZooMAb® recombinant antibodies to study them, conveniently organized by cancer hallmark.