跳转至内容
Merck
CN

ZRB1235

Anti-ATG7 Antibody, clone 1E15 ZooMAb® Rabbit Monoclonal

greener alternative

recombinant, expressed in HEK 293 cells

登录 查看组织和合同定价。

选择尺寸

变更视图

关于此项目

NACRES:
NA.41
UNSPSC Code:
12352203
Conjugate:
unconjugated
Clone:
1E15, monoclonal, recombinant monoclonal
Application:
IHC (p), WB, affinity binding assay
Citations:
-
技术服务
需要帮助?我们经验丰富的科学家团队随时乐意为您服务。
让我们为您提供帮助


biological source

rabbit

Quality Level

recombinant

expressed in HEK 293 cells

conjugate

unconjugated

antibody form

purified antibody

antibody product type

primary antibodies

clone

1E15, monoclonal, recombinant monoclonal

product line

ZooMAb® learn more

form

lyophilized

mol wt

calculated mol wt ~77.96 kDa, observed mol wt ~65 kDa

species reactivity

rat, human, mouse

packaging

antibody small pack of 25 μL

greener alternative product characteristics

Waste Prevention
Designing Safer Chemicals
Design for Energy Efficiency
Learn more about the Principles of Green Chemistry.

enhanced validation

recombinant expression
Learn more about Antibody Enhanced Validation

sustainability

Greener Alternative Product

technique(s)

affinity binding assay: suitable, immunohistochemistry (formalin-fixed, paraffin-embedded sections): suitable, western blot: suitable

isotype

IgG

UniProt accession no.

greener alternative category

shipped in

ambient

storage temp.

2-8°C

target post-translational modification

unmodified

General description

Ubiquitin-like modifier-activating enzyme ATG7 (UniProt: O95352; also known as ATG12-activating enzyme E1 ATG7, Autophagy-related protein 7, APG7-like, hAGP7, Ubiquitin-activating enzyme E1-like protein) is encoded by the ATG7 (also known as APG7L) gene (Gene ID: 10533) in human. ATG7 is the E1-like activating enzyme that is involved in the 2 ubiquitin-like systems required for cytoplasm to vacuole transport and autophagy. It is widely expressed, especially in kidney, liver, lymph nodes and bone marrow. Its expression is reported to be upregulated by the transcription factor HSF1. ATG7 interacts with ATG3 and ATG12 and the ATG3-ATG7 complex plays a role in the conjugation of ATG12 to ATG5. The C-terminal region of ATG7 is shown to be essential for the dimerization and interaction with ATG3 and ATG12. Its N-terminal region contains a FAP motif (aa 15-17), which is essential for the formation of ATG7-ATG3 interaction. ATG7 is essential for hematopoietic stem cell maintenance and its absence from the hematopoietic lineage abolishes development of T and B cells. Three isoforms of ATG7 have been described that are produced by alternative splicing. This ZooMAb® recombinant monoclonal antibody, generated by our propriety technology, offers significantly enhanced specificity, affinity, reproducibility, and stability over conventional monoclonals. (Ref.: Tanida, I., et al. (2012). Autophagy. 8(1); 88-97; Mortensen, M., et al. (2011). J. Exp. Med. 208(3); 455-467).
We are committed to bringing you greener alternative products, which adhere to one or more of The 12 Principles of Green Chemistry.This antibody is Preservative-free, produced without the harm or sacrifice of animals and exceptionally stable to allow for ambient shipping and storage if needed and thus aligns with "Waste Prevention", "Designing Safer Chemicals" and "Design for Energy Efficiency". Click here for more information.
ZooMAb antibodies represent an entirely new generation of recombinant monoclonal antibodies.

Each ZooMAb antibody is manufactured using our proprietary recombinant expression system, purified to homogeneity, and precisely dispensed to produce robust and highly reproducible lot-to-lot consistency. Only top-performing clones are released for use by researchers. Each antibody is validated for high specificity and affinity across multiple applications, including its most commonly used application. ZooMAb antibodies are reliably available and ready to ship when you need them.

Immunogen

KLH-conjugated linear peptide corresponding to 13 amino acids from the N-terminal region of human Autophagy-related protein 7 (ATG 7).

Application

Quality Control Testing

Evaluated by Western Blotting in HeLa cell lysate.

Western Blotting Analysis: A 1:1,000 dilution of this antibody detected ATG7 in HeLa cell lysate.

Tested Applications

Western Blotting Analysis: A 1:1,000 dilution from a representative lot detected ATG7 in NIH3T3 and C6 cell lysates

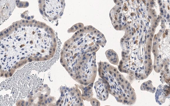
Immunohistochemistry (Paraffin) Analysis: A 1:100 dilution from a representative lot detected ATG7 in human placenta tissue sections.

Affinity Binding Assay: A representative lot of this antibody bound ATG7 peptide with a KD of 2.4 x 10-7 in an affinity binding assay.

Note: Actual optimal working dilutions must be determined by end user as specimens, and experimental conditions may vary with the end user
Anti-ATG7, clone 1E15 ZooMAb®, Cat. No. ZRB1235, is a recombinant Rabbit monoclonal antibody that specifically targets ATG7 and has been tested for use in Affinity Binding Assay, Immunohistochemistry (Paraffin), and Western Blotting.

Biochem/physiol Actions

Clone 1E15 is a ZooMAb® rabbit recombinant monoclonal antibody that specifically detects Autophagy related protein 7 (ATG7). It targets an epitope within 13 amino acids from the N-terminal region. It is expected to react with all tree isoforms of ATG7.

Physical form

Purified recombinant mouse monoclonal antibody IgG, lyophilized in PBS, 5% Trehalose, normal appearance a coarse or translucent resin. Contains no biocide or preservatives, such as azide, or any animal by-products. Larger pack sizes provided as multiples of 25 μL.

Preparation Note

Recommend storage of lyophilized product at 2-8°C; Before reconstitution, micro-centrifuge vials briefly to spin down material to bottom of the vial; Reconstitute each vial by adding 25 μL of filtered lab grade water or PBS; Reconstituted antibodies can be stored at 2-8°C, or -20°C for long term storage. Avoid repeated freeze-thaws.
Reconstitute lyophilized antibody pellet with 25μL of ultrapure water or Phosphate Buffered Saline (PBS). Please refer to our reconstitution protocol and the specific application guidance on the suggested starting dilutions and sample type.

Legal Information

ZooMAb is a registered trademark of Merck KGaA, Darmstadt, Germany

Disclaimer

Unless otherwise stated in our catalog or other company documentation accompanying the product(s), our products are intended for research use only and are not to be used for any other purpose, which includes but is not limited to, unauthorized commercial uses, in vitro diagnostic uses, ex vivo or in vivo therapeutic uses or any type of consumption or application to humans or animals.


Still not finding the right product?

试用我们的 产品选型工具 工具缩小选择范围


存储类别

11 - Combustible Solids

wgk

WGK 1

flash_point_f

Not applicable

flash_point_c

Not applicable

法规信息

常规特殊物品
常规特殊物品

此项目有



历史批次信息供参考:

分析证书(COA)

Lot/Batch Number

没有发现合适的版本?

如果您需要特殊版本,可通过批号或批次号查找具体证书。

已有该产品?

在文件库中查找您最近购买产品的文档。

访问文档库



全球贸易项目编号

货号GTIN
ZRB1235-25UL04065265042550
ZRB1235-4X25UL04065265042567