General description
Low affinity immunoglobulin g Fc region receptor II-b/c (UniProt: P31994/ P31995; also known as IgG Fc receptor II-b/c, CDw32, Fc-gamma RII-b/c, Fc-gamma-RIIb-c, FcRII-b/c, CD32) is encoded by the FCGR2B/C (also known as CD32, FCG2, IGFR2) gene (Gene ID: 2213/9103) in human. FcRII-b/c are single-pass type 1 membrane proteins that are synthesized with a signal peptide (aa 1-42), which is subsequently cleaved off to generate the mature form that contains an extracellular domain (aa 43-217 for FcRII-b and 43-223 for FcRII-c), a transmembrane domain (aa 218-240 for FcRII-b and 224-246 for FcRII-c) and a cytoplasmic domain (aa 241-310 for FcRII-b and 247-323 for FcRII-c). They also contain two Ig-like C2 domains and an ITIM motif, which is involved in triggering cell activation upon receptors aggregation. This motif can bind the SH2 domain of several SH2-containing phosphatases. FcRII-b/c can undergo phosphorylation by Src-type tyrosine kinases, such as LYN and BLK. This IgG Fc receptor is the most broadly distributed Fc-g receptor and is reported to be expressed in monocyte, neutrophils, macrophages, basophils, eosinophils, Langerhans cells, B-cells, platelets cells and placenta (endothelial cells). However, it is not detected in natural killer cells. It is involved in a variety of effector and regulatory functions such as phagocytosis of immune complexes and modulation of antibody production by B-cells. This ZooMAb® recombinant monoclonal antibody, generated by our propriety technology, offers significantly enhanced specificity, affinity, reproducibility, and stability over conventional monoclonals.
We are committed to bringing you greener alternative products, which adhere to one or more of The 12 Principles of Green Chemistry.This antibody is Preservative-free, produced without the harm or sacrifice of animals and exceptionally stable to allow for ambient shipping and storage if needed and thus aligns with "Waste Prevention", "Designing Safer Chemicals" and "Design for Energy Efficiency".
Click here for more information.
ZooMAb
® antibodies represent an entirely new generation of recombinant monoclonal antibodies.
Each ZooMAb
® antibody is manufactured using our proprietary recombinant expression system, purified to homogeneity, and precisely dispensed to produce robust and highly reproducible lot-to-lot consistency. Only top-performing clones are released for use by researchers. Each antibody is validated for high specificity and affinity across multiple applications, including its most commonly used application. ZooMAb
® antibodies are reliably available and ready to ship when you need them.
Learn more about ZooMAb here.Immunogen
KLH-conjugated linear peptide corresponding to 17 amino acids from the N-terminal, extracellular domain of human Low affinity immunoglobulin g Fc region receptor II-b/c (CD32).
Application
Anti-FCGR2B/CD32, clone 3G17 ZooMAb®, Cat. No. ZRB1276, is a recombinant Rabbit monoclonal antibody that targets FCGR2b-c/CD32 and is tested for use in Affinity Binding Assay, Flow Cytometry, Immunocytochemistry, Immunohistochemistry & Western Blotting.
Quality Control Testing
Evaluated by Western Blotting in K562 cell lysate.
Western Blotting Analysis: A 1:1,000 dilution of this antibody detected FCGR2B/CD32 in K562 cell lysate.
Tested applications
Western Blotting Analysis: A 1:1,000 dilution from a representative lot detected FCGR2B/CD32 in human peripheral blood mononuclear cell (PBMC) lysate.
Affinity Binding Assay: A representative lot of this antibody bound FCGR2B/CD32 peptides with a KD of 1.5 x 10-7 in an affinity binding assay.
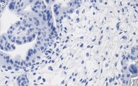
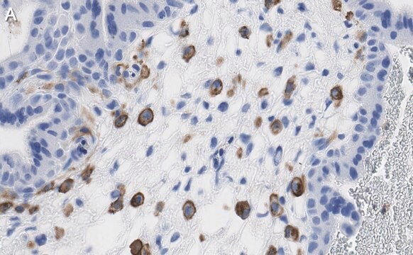
Immunohistochemistry (Paraffin) Analysis: A 1:1,000 dilution from a representative lot detected FCGR2B/CD32 in human placenta tissue sections.
Flow Cytometry Analysis: 0.1 μg from a representative lot detected FCGR2B/CD32 in one million K562 cells.
Immunocytochemistry Analysis: A 1:1,000 dilution from a representative lot detected FCGR2B/CD32 in K562 cells.
Note: Actual optimal working dilutions must be determined by end user as specimens, and experimental conditions may vary with the end user
Biochem/physiol Actions
Clone 3G17 is a ZooMAb® rabbit recombinant monoclonal antibody that specifically detects Low affinity immunoglobulin g Fc region receptor II-b/c (CD32). It targets an epitope within 17 amino acids from the N-terminal, extracellular domain.
Physical form
Purified recombinant rabbit monoclonal antibody IgG, lyophilized in PBS with 5% Trehalose, normal appearance a coarse or translucent resin. The PBS/trehalose components in the ZooMAb formulation can have the appearance of a semi-solid (bead like gel) after lyophilization. This is a normal phenomenon. Please follow the recommended reconstitution procedure in the data sheet to dissolve the semi-solid, bead-like, gel-appearing material. The resulting antibody solution is completely stable and functional as proven by full functional testing. Contains no biocide or preservatives, such as azide, or any animal by-products. Larger pack sizes provided as multiples of 25 μL.
Preparation Note
Recommend storage of lyophilized product at 2-8°C; Before reconstitution, micro-centrifuge vials briefly to spin down material to bottom of the vial; Reconstitute each vial by adding 25 μL of filtered lab grade water or PBS; Reconstituted antibodies can be stored at 2-8°C, or -20°C for long term storage. Avoid repeated freeze-thaws.
Reconstitute lyophilized antibody pellet with 25μL of ultrapure water or Phosphate Buffered Saline (PBS). Please refer to our
reconstitution protocol and the specific application guidance on the suggested starting dilutions and sample type.
Legal Information
ZooMAb is a registered trademark of Merck KGaA, Darmstadt, Germany
Disclaimer
Unless otherwise stated in our catalog or other company documentation accompanying the product(s), our products are intended for research use only and are not to be used for any other purpose, which includes but is not limited to, unauthorized commercial uses, in vitro diagnostic uses, ex vivo or in vivo therapeutic uses or any type of consumption or application to humans or animals.