跳转至内容
Merck
CN

ZRB1348

Anti-Gab1 Antibody, clone 4B20, ZooMAb® Rabbit Monoclonal

greener alternative

recombinant, expressed in HEK 293 cells

别名:

GRB2-associated binder 1, GRB2-associated-binding protein 1, Growth factor receptor bound protein 2-associated protein

登录 查看组织和合同定价。

选择尺寸

变更视图

关于此项目

NACRES:
NA.41
UNSPSC Code:
12352203
Conjugate:
unconjugated
Clone:
4B20, monoclonal, recombinant monoclonal
Application:
IHC (p), WB, affinity binding assay
Citations:
-
技术服务
需要帮助?我们经验丰富的科学家团队随时乐意为您服务。
让我们为您提供帮助


biological source

rabbit (recombinant)

Quality Level

recombinant

expressed in HEK 293 cells

conjugate

unconjugated

antibody form

purified antibody

antibody product type

primary antibodies

clone

4B20, monoclonal, recombinant monoclonal

product line

ZooMAb® learn more

form

lyophilized

mol wt

calculated mol wt 76.62 kDa, observed mol wt ~100 kDa

species reactivity

bovine, human

packaging

antibody small pack of 25 μL

greener alternative product characteristics

Waste Prevention
Designing Safer Chemicals
Design for Energy Efficiency
Learn more about the Principles of Green Chemistry.

enhanced validation

recombinant expression
Learn more about Antibody Enhanced Validation

sustainability

Greener Alternative Product

technique(s)

affinity binding assay: suitable, immunohistochemistry (formalin-fixed, paraffin-embedded sections): suitable, western blot: suitable

isotype

IgG

UniProt accession no.

greener alternative category

shipped in

ambient

storage temp.

2-8°C

target post-translational modification

unmodified

Gene Information

bovine ... Gab1(540085)
human ... GAB1(2549)

General description

GRB2-associated-binding protein 1 (UniProt: Q13480; also known as GRB2-associated binder 1, Growth factor receptor bound protein 2-associated protein 1; Gab1) is encoded by the GAB1 gene (Gene ID: 2549) in human. Gab1 is a scaffolding protein that plays a role in intracellular signaling cascades triggered by activated receptor-type kinases. It recruits PI-3 kinase and other effector proteins in response to the activation of many receptor tyrosine kinases (RTKs). Gab1 can be phosphorylated on at least 16 sites by multiple receptor tyrosine kinase (RTKs), including: insulin receptor (IR), platelet derived growth factor receptor beta, hepatocyte growth factor/scatter factor receptor, and epidermal growth factor receptor. Phosphorylation of Gab1 on tyrosine 627 and tyrosine 659 is shown to be critical for its binding to SHP2, and for activation of the ERK/MAPK pathway in response to EGF. Tyrosine phosphorylation of Gab1 mediates interaction with several proteins that contain SH2 domains. Gab1 plays important roles in embryonic development and cell migration and is shown to be a critical component in the interaction between focal adhesion kinase and Met in cancer cell invasion. Gab1 is also reported to be a major target in linoleic acid (LA)-induced enhancement of tumorigenesis. Mutations in GAB1 gene are known to cause autosomal recessive deafness that is characterized by severe to profound hearing loss resulting from damage to the neural receptors of the inner ear or the nerve pathways to the brain. This ZooMAb recombinant monoclonal antibody, generated by our propriety technology, offers significantly enhanced specificity, affinity, reproducibility, and stability over conventional monoclonals. (Ref.: Mattoon, DR., et al. (2004). BMC Biol. 2; 24; Mouradian, M., et al. (2014). Prostaglandins Leukot. Essent. Fatty Acids. 90(4); 105-115).
We are committed to bringing you greener alternative products, which adhere to one or more of The 12 Principles of Green Chemistry.This antibody is Preservative-free, produced without the harm or sacrifice of animals and exceptionally stable to allow for ambient shipping and storage if needed and thus aligns with "Waste Prevention", "Designing Safer Chemicals" and "Design for Energy Efficiency". Click here for more information.
ZooMAb antibodies represent an entirely new generation of recombinant monoclonal antibodies.

Each ZooMAb antibody is manufactured using our proprietary recombinant expression system, purified to homogeneity, and precisely dispensed to produce robust and highly reproducible lot-to-lot consistency. Only top-performing clones are released for use by researchers. Each antibody is validated for high specificity and affinity across multiple applications, including its most commonly used application. ZooMAb antibodies are reliably available and ready to ship when you need them.

Learn more about ZooMAb here.

Immunogen

KLH-conjugated Linear Peptide corresponding to 30 amino acids from the C-terminal region of Human Gab1.

Application

Anti-Gab1, clone 4B20 ZooMAb, Cat. No. ZRB1348, is a recombinant Rabbit monoclonal antibody that specifically targets GRB2-associated-binding protein 1 (Gab1) and has been tested for use in Affinity Binding Assay, Immunohistochemistry (Paraffin), and Western Blotting.
Western Blotting Analysis: A 1:1,000 dilution from a representative lot detected Gab1 in fetal bovine heart endothelial (FBHE) cell lysate.

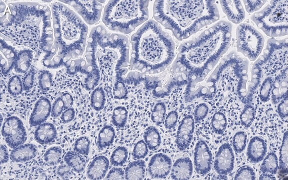
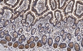
Immunohistochemistry (Paraffin) Analysis: A 1:100 dilution from a representative lot detected Gab1 in human small intestine tissue sections.

Affinity Binding Assay: A representative lot of this antibody bound Gab1 peptide with a KD of 4.0 x 10-6 in affinity binding assay.

Note: Actual optimal working dilutions must be determined by end user as specimens, and experimental conditions may vary with the end user.

Biochem/physiol Actions

Clone 4B20 is a ZooMAb rabbit recombinant monoclonal antibody that specifically detects GRB2-associated-binding protein 1 (Gab1). It targets an epitope within 30 amino acids from the C-terminal region.

Physical form

Purified recombinant rabbit monoclonal antibody IgG, lyophilized in PBS with 5% Trehalose, normal appearance a coarse or translucent resin. Contains no biocide or preservatives, such as azide, or any animal by-products. Larger pack sizes provided as multiples of 25 μL.

Preparation Note

Recommend storage of lyophilized product at 2-8°C; Before reconstitution, micro-centrifuge vials briefly to spin down material to bottom of the vial; Reconstitute each vial by adding 25 μL of filtered lab grade water or PBS; Reconstituted antibodies can be stored at 2-8°C, or -20°C for long term storage. Avoid repeated freeze-thaws.
Reconstitute lyophilized antibody pellet with 25μL of ultrapure water or Phosphate Buffered Saline (PBS). Please refer to our reconstitution protocol and the specific application guidance on the suggested starting dilutions and sample type.

Legal Information

ZooMAb is a registered trademark of Merck KGaA, Darmstadt, Germany

Disclaimer

Unless otherwise stated in our catalog or other company documentation accompanying the product(s), our products are intended for research use only and are not to be used for any other purpose, which includes but is not limited to, unauthorized commercial uses, in vitro diagnostic uses, ex vivo or in vivo therapeutic uses or any type of consumption or application to humans or animals.


Still not finding the right product?

试用我们的 产品选型工具 工具缩小选择范围


存储类别

13 - Non Combustible Solids

wgk

WGK 1

flash_point_f

Not applicable

flash_point_c

Not applicable

法规信息

常规特殊物品

此项目有



历史批次信息供参考:

分析证书(COA)

Lot/Batch Number

没有发现合适的版本?

如果您需要特殊版本,可通过批号或批次号查找具体证书。

已有该产品?

在文件库中查找您最近购买产品的文档。

访问文档库



全球贸易项目编号

货号GTIN
ZRB1348-4X25UL04061841362029
ZRB1348-25UL04061841362012