biological source
rabbit (recombinant)
Quality Level
recombinant
expressed in HEK 293 cells
conjugate
unconjugated
antibody form
purified antibody
antibody product type
primary antibodies
clone
3M12, monoclonal, recombinant monoclonal
product line
ZooMAb® learn more
form
lyophilized
mol wt
calculated mol wt 72.73 kDa, observed mol wt ~73 kDa
species reactivity
human, mouse
packaging
antibody small pack of 25 μL
greener alternative product characteristics
Waste Prevention
Designing Safer Chemicals
Design for Energy Efficiency
Learn more about the Principles of Green Chemistry.
enhanced validation
recombinant expression
Learn more about Antibody Enhanced Validation
sustainability
Greener Alternative Product
technique(s)
affinity binding assay: suitable, immunocytochemistry: suitable, immunohistochemistry: suitable, western blot: suitable
isotype
IgG
UniProt accession no.
greener alternative category
shipped in
ambient
storage temp.
2-8°C
target post-translational modification
unmodified
Gene Information
human ... EOMES(8320)
General description
Eomesodermin homolog (UniProt: O95936; also known as T-box brain protein 2, T-brain-2, TBR-2) is encoded by the EOMES (also known as TBR2) gene (Gene ID: 8320) in human. T-box genes are a family of transcription factors have a highly conserved DNA binding domain named the T-domain. Tbr2 functions as a transcriptional activator that plays a crucial role during gastrulation, mesodermal specification, and limb patterning. It plays a role in brain development and is required for the specification and the proliferation of the intermediate progenitor cells and their progeny in the cerebral cortex. It is considered as the major intrinsic determinants of the intermediate neural progenitors. It is reported to be transiently expressed in cortical subventricular zone progenitor cells. Tbr2 is also involved in the differentiation of CD8+ T-cells during immune response regulating the expression of lytic effector genes. Its DNA-binding region (T-Box) is localized to amino acids 276-456. Conditional inactivation of Tbr2 during early brain development is known to cause microcephaly and severe behavior deficits. Four isoforms of Tbr2 have been described that are produced by alternative splicing. This ZooMAb recombinant monoclonal antibody, generated by our propriety technology, offers significantly enhanced specificity, affinity, reproducibility, and stability over conventional monoclonals. (Ref.: Bulfone, A., et al. (1999). Mech. Dev. 84 (1-2); 133-138; Arnold, SJ., et al. (2008). Genes Dev. 22; 2479-2484; Sessa, A., et al. (2017). Cerebral Cortex. 27(6); 3378-3396).
We are committed to bringing you greener alternative products, which adhere to one or more of The 12 Principles of Green Chemistry.This antibody is Preservative-free, produced without the harm or sacrifice of animals and exceptionally stable to allow for ambient shipping and storage if needed and thus aligns with "Waste Prevention", "Designing Safer Chemicals" and "Design for Energy Efficiency". Click here for more information.
ZooMAb antibodies represent an entirely new generation of recombinant monoclonal antibodies.
Each ZooMAb antibody is manufactured using our proprietary recombinant expression system, purified to homogeneity, and precisely dispensed to produce robust and highly reproducible lot-to-lot consistency. Only top-performing clones are released for use by researchers. Each antibody is validated for high specificity and affinity across multiple applications, including its most commonly used application. ZooMAb antibodies are reliably available and ready to ship when you need them.
Learn more about ZooMAb here.
Each ZooMAb antibody is manufactured using our proprietary recombinant expression system, purified to homogeneity, and precisely dispensed to produce robust and highly reproducible lot-to-lot consistency. Only top-performing clones are released for use by researchers. Each antibody is validated for high specificity and affinity across multiple applications, including its most commonly used application. ZooMAb antibodies are reliably available and ready to ship when you need them.
Learn more about ZooMAb here.
Immunogen
KLH-conjugated linear peptide corresponding to 17 amino acids from the C-terminal half of human TBR-2.
Application
Anti-Tbr2, clone 3M12 ZooMAb, Cat. No. ZRB1368, a Rabbit monoclonal antibody that targets Tbr2 (Eomesodermin homolog) and is tested in Affinity Binding Assay, Immunocytochemistry, Immunohistochemistry, Western Blotting.
Western Blotting Analysis: A 1:10,000 dilution from a representative lot detected Tbr2 in NK-92 cell lysate.
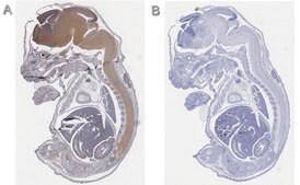
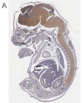
Immunohistochemistry (Paraffin) Analysis: A 1:100 dilution from a representative lot detected Tbr2 in E16.5 mouse embryo tissue sections.
Immunocytochemistry Analysis: A 1:100 dilution from a representative lot detected Tbr2 in NTERA-2 an H9 cells.
Affinity Binding Assay: A representative lot of this antibody bound Tbr2 peptide with a KD value of 4.6 x 10-8 in an affinity binding assay.
Note: Actual optimal working dilutions must be determined by end user as specimens, and experimental conditions may vary with the end user.
Immunohistochemistry (Paraffin) Analysis: A 1:100 dilution from a representative lot detected Tbr2 in E16.5 mouse embryo tissue sections.
Immunocytochemistry Analysis: A 1:100 dilution from a representative lot detected Tbr2 in NTERA-2 an H9 cells.
Affinity Binding Assay: A representative lot of this antibody bound Tbr2 peptide with a KD value of 4.6 x 10-8 in an affinity binding assay.
Note: Actual optimal working dilutions must be determined by end user as specimens, and experimental conditions may vary with the end user.
Biochem/physiol Actions
Clone 3M12 is a ZooMAb rabbit recombinant monoclonal antibody that specifically detects T-box brain proteinn 2 (Tbr2). It targets an epitope within 17 amino acids from the C-terminal half.
Physical form
Purified recombinant rabbit monoclonal antibody IgG, lyophilized in PBS with 5% Trehalose, normal appearance a coarse or translucent resin. Contains no biocide or preservatives, such as azide, or any animal by-products. Larger pack sizes provided as multiples of 25 μL.
Preparation Note
Recommend storage of lyophilized product at 2-8°C; Before reconstitution, micro-centrifuge vials briefly to spin down material to bottom of the vial; Reconstitute each vial by adding 25 μL of filtered lab grade water or PBS; Reconstituted antibodies can be stored at 2-8°C, or -20°C for long term storage. Avoid repeated freeze-thaws.
Reconstitute lyophilized antibody pellet with 25μL of ultrapure water or Phosphate Buffered Saline (PBS). Please refer to our reconstitution protocol and the specific application guidance on the suggested starting dilutions and sample type.
Legal Information
ZooMAb is a registered trademark of Merck KGaA, Darmstadt, Germany
Disclaimer
Unless otherwise stated in our catalog or other company documentation accompanying the product(s), our products are intended for research use only and are not to be used for any other purpose, which includes but is not limited to, unauthorized commercial uses, in vitro diagnostic uses, ex vivo or in vivo therapeutic uses or any type of consumption or application to humans or animals.
Still not finding the right product?
试用我们的 产品选型工具 工具缩小选择范围
存储类别
11 - Combustible Solids
wgk
WGK 2
法规信息
常规特殊物品
此项目有