跳转至内容
Merck
CN

ZRB1428

Anti-PPARγ Antibody, clone 1I19 ZooMAb® Rabbit Monoclonal

greener alternative

recombinant, expressed in HEK 293 cells

登录 查看组织和合同定价。

选择尺寸

变更视图

关于此项目

NACRES:
NA.41
UNSPSC Code:
12352203
Species reactivity:
mouse, human
Conjugate:
unconjugated
Application:
ICC, IHC (p), WB
Citations:
-
技术服务
需要帮助?我们经验丰富的科学家团队随时乐意为您服务。
让我们为您提供帮助


biological source

rabbit

Quality Level

recombinant

expressed in HEK 293 cells

conjugate

unconjugated

antibody form

purified antibody

antibody product type

primary antibodies

clone

1I19, recombinant monoclonal

description

recombinant, expressed in HEK 293 cells

product line

ZooMAb® learn more

form

lyophilized

mol wt

calculated mol wt 57.62 kDa, observed mol wt ~51 kDa

purified by

using Protein A

species reactivity

mouse, human

species reactivity (predicted by homology)

canine, monkey

packaging

antibody small pack of 25 μL

greener alternative product characteristics

Waste Prevention
Designing Safer Chemicals
Design for Energy Efficiency
Learn more about the Principles of Green Chemistry.

enhanced validation

recombinant expression
Learn more about Antibody Enhanced Validation

sustainability

Greener Alternative Product

technique(s)

immunocytochemistry: suitable, immunohistochemistry (formalin-fixed, paraffin-embedded sections): suitable, western blot: suitable

isotype

IgG

epitope sequence

N-terminal

Protein ID accession no.

UniProt accession no.

greener alternative category

shipped in

ambient

storage temp.

2-8°C

target post-translational modification

unmodified

General description

Peroxisome proliferator-activated receptor gamma (UniProt: P37231; also known as PPAR-gamma, Nuclear receptor subfamily 1 group C member 3) is encoded by the PPARG (also known as GLM1, NR1C3) gene (Gene ID 5468) in human. Peroxisome proliferator-activated receptors (PPARs) are members of the nuclear hormone receptor family of transcription factors that mediate a variety of cellular processes, including glucose and lipid metabolism, inflammatory responses, and regulation of apoptotic cell death. They act by binding to specific peroxisome proliferator-response elements (PPREs) on target genes. Three forms of PPARs have been described, which are designated as a, g, and d forms. They contain a DNA binding domain and a ligand-binding domain. Each form is expressed in different tissues and can be activated by different ligands, most of them being specific for one form of PPAR. PPARg is predominantly expressed in the adipose tissue and its lower expression is observed in skeletal muscle, heart, liver, and spleen. It serves as a nuclear receptor that binds peroxisome proliferators such as hypolipidemic drugs and fatty acids. Once activated by a ligand, it binds to DNA specific PPAR response elements (PPRE) and modulates the transcription of its target genes. It controls the peroxisomal b -oxidation pathway of fatty acids and is a key regulator of adipocyte differentiation and glucose homeostasis. It mediates the anti-diabetic and adipogenic actions of the thiazolidinediones Defects in PPARg have been linked to Type II insulin-resistant diabetes and hypertension. Mutations ins PPARG gene have also been linked to familial type lipodystrophy that is characterized by marked loss of subcutaneous fat from the extremities. This ZooMAb® recombinant monoclonal antibody, generated by our propriety technology, offers significantly enhanced specificity, affinity, reproducibility, and stability over conventional monoclonals.
We are committed to bringing you greener alternative products, which adhere to one or more of The 12 Principles of Green Chemistry.This antibody is Preservative-free, produced without the harm or sacrifice of animals and exceptionally stable to allow for ambient shipping and storage if needed and thus aligns with "Waste Prevention", "Designing Safer Chemicals" and "Design for Energy Efficiency". Click here for more information.
ZooMAb® antibodies represent an entirely new generation of recombinant monoclonal antibodies.Each ZooMAb® antibody is manufactured using our proprietary recombinant expression system, purified to homogeneity, and precisely dispensed to produce robust and highly reproducible lot-to-lot consistency. Only top-performing clones are released for use by researchers. Each antibody is validated for high specificity and affinity across multiple applications, including its most commonly used application. ZooMAb® antibodies are reliably available and ready to ship when you need them.

Immunogen

KLH-conjugated linear peptide corresponding to 16 amino acids from the N-terminal region of human Peroxisome proliferator-activated receptor gamma (PPARg).

Application

Quality Control Testing

Evaluated by Western Blotting in PC3 cell lysate.

Western Blotting Analysis: A 1:1,000 dilution of this antibody detected PPAR in PC3 cell lysate.

Tested applications

Immunocytochemistry Analysis: A 1:100 dilution from a representative lot detected PPAR in PC3 cells..

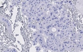
Immunohistochemistry (Paraffin) Analysis: A 1:100 dilution from a representative lot detected PPAR in human placenta tissue sections.

Note: Actual optimal working dilutions must be determined by end user as specimens, and experimental conditions may vary with the end user
Anti-PPARg, clone 1I19 ZooMAb®, Cat. No. ZRB1428, is recombinant Rabbit monoclonal antibody that specifically detects PPARg and is tested for use in Immunocytochemistry, Immunohistochemistry (Paraffin), and Western Blotting.

Biochem/physiol Actions

Clone 1I19 is a ZooMAb® Rabbit recombinant monoclonal antibody that specifically detects Peroxisome proliferator-activated receptor gamma (PPARg ). It targets an epitope within 16 amino acids from the N-terminal region.

Physical form

Purified recombinant rabbit monoclonal antibody IgG, lyophilized in PBS with 5% Trehalose, normal appearance a coarse or translucent resin. The PBS/trehalose components in the ZooMAb® formulation can have the appearance of a semi-solid (bead like gel) after lyophilization. This is a normal phenomenon. Please follow the recommended reconstitution procedure in the data sheet to dissolve the semi-solid, bead-like, gel-appearing material. The resulting antibody solution is completely stable and functional as proven by full functional testing. Contains no biocide or preservatives, such as azide, or any animal by-products. Larger pack sizes provided as multiples of 25 μL.

Preparation Note

Recommend storage of lyophilized product at 2-8°C; Before reconstitution, micro-centrifuge vials briefly to spin down material to bottom of the vial; Reconstitute each vial by adding 25 μL of filtered lab grade water or PBS; Reconstituted antibodies can be stored at 2-8°C, or -20°C for long term storage. Avoid repeated freeze-thaws.
Reconstitute lyophilized antibody pellet with 25μL of ultrapure water or Phosphate Buffered Saline (PBS). Please refer to our reconstitution protocol and the specific application guidance on the suggested starting dilutions and sample type.

Legal Information

ZooMAb is a registered trademark of Merck KGaA, Darmstadt, Germany

Disclaimer

Unless otherwise stated in our catalog or other company documentation accompanying the product(s), our products are intended for research use only and are not to be used for any other purpose, which includes but is not limited to, unauthorized commercial uses, in vitro diagnostic uses, ex vivo or in vivo therapeutic uses or any type of consumption or application to humans or animals.


Still not finding the right product?

试用我们的 产品选型工具 工具缩小选择范围


存储类别

13 - Non Combustible Solids

wgk

WGK 1

flash_point_f

Not applicable

flash_point_c

Not applicable

法规信息

常规特殊物品

此项目有



历史批次信息供参考:

分析证书(COA)

Lot/Batch Number

没有发现合适的版本?

如果您需要特殊版本,可通过批号或批次号查找具体证书。

已有该产品?

在文件库中查找您最近购买产品的文档。

访问文档库



全球贸易项目编号

货号GTIN
ZRB1428-25UL04065266703917
ZRB1428-4X25UL04065266703924