跳转至内容
Merck
CN

ZRB2028

Anti-AKT1 Antibody, clone 4K6 ZooMAb® Rabbit Monoclonal

greener alternative

recombinant, expressed in HEK 293 cells

登录 查看组织和合同定价。

选择尺寸

变更视图

关于此项目

NACRES:
NA.43
UNSPSC Code:
12352203
Conjugate:
unconjugated
Clone:
4K6, recombinant monoclonal
Application:
ICC, IHC (p), WB, affinity binding assay
Citations:
-
技术服务
需要帮助?我们经验丰富的科学家团队随时乐意为您服务。
让我们为您提供帮助


biological source

rabbit

Quality Level

recombinant

expressed in HEK 293 cells

conjugate

unconjugated

antibody form

purified antibody

antibody product type

primary antibodies

clone

4K6, recombinant monoclonal

description

4K6 Clone

product line

ZooMAb® learn more

form

lyophilized

mol wt

calculated mol wt 55.69 kDa, observed mol wt ~56 kDa

purified by

using Protein A

species reactivity

human, rat, mouse

packaging

antibody small pack of 25 μL

greener alternative product characteristics

Waste Prevention
Designing Safer Chemicals
Design for Energy Efficiency
Learn more about the Principles of Green Chemistry.

enhanced validation

recombinant expression
Learn more about Antibody Enhanced Validation

sustainability

Greener Alternative Product

technique(s)

affinity binding assay: suitable, immunocytochemistry: suitable, immunohistochemistry (formalin-fixed, paraffin-embedded sections): suitable, western blot: suitable

isotype

IgG

epitope sequence

C-terminal

Protein ID accession no.

UniProt accession no.

greener alternative category

shipped in

ambient

storage temp.

2-8°C

target post-translational modification

unmodified

General description

Protein Kinase B a (UniProt: P31749; also known as Akt1) are encoded by the AKT1 gene (Gene IDs: 207) in human. Akt, a serine/threonine kinase, is a critical enzyme in several signal transduction pathways involved in cell proliferation, apoptosis, angiogenesis, and diabetes. In mammals three isoforms of Akt have been reported (Akt 1, 2, 3) that exhibit a high degree of homology, but differ slightly in the localization of their regulatory phosphorylation sites. Akt1 plays an important role in growth and anti-apoptosis; Akt2 acts primarily as a regulator of glucose metabolism. Although Akt3 does not contribute significantly to the maintenance of normal metabolism in tissues but is essential for the attainment of normal organ size, probably influencing both cell size and number via mTOR activation. Each Akt isoform is composed of three functionally distinct regions: An N-terminal pleckstrin homology (PH) domain that provides a lipid-binding module to direct Akt to PIP2 and PIP3, a central catalytic domain, and a C-terminal hydrophobic motif. Activation of Akt involves growth factor binding to a receptor tyrosine kinase and activation of PI 3-kinase that phosphorylates membrane bound PIP2 to generate PIP3. The binding of PIP3 to the PH domain anchors Akt to the plasma membrane. Akt is activated following its phosphorylation at Thr308 on the kinase domain by PDK1 and on Ser473 on the hydrophobic motif by mTORC2. The principal role of Akt is to facilitate growth factor-mediated cell survival and to block apoptotic cell death. Akt achieves this by phosphorylating a variety of substrates, such as Bad, caspase-9, Forkhead transcription factors, and GSK-3. This ZooMAb® recombinant monoclonal antibody, generated by our propriety technology, offers significantly enhanced specificity, affinity, reproducibility, and stability over conventional monoclonals.
We are committed to bringing you greener alternative products, which adhere to one or more of The 12 Principles of Green Chemistry.This antibody is Preservative-free, produced without the harm or sacrifice of animals and exceptionally stable to allow for ambient shipping and storage if needed and thus aligns with "Waste Prevention", "Designing Safer Chemicals" and "Design for Energy Efficiency". Click here for more information.
ZooMAb® antibodies represent an entirely new generation of recombinant monoclonal antibodies.Each ZooMAb® antibody is manufactured using our proprietary recombinant expression system, purified to homogeneity, and precisely dispensed to produce robust and highly reproducible lot-to-lot consistency. Only top-performing clones are released for use by researchers. Each antibody is validated for high specificity and affinity across multiple applications, including its most commonly used application. ZooMAb® antibodies are reliably available and ready to ship when you need them.

Immunogen

KLH-conjugated linear peptide corresponding to 20 amino acids from the C-terminal region of human AKT1.

Application

Quality Control Testing

Evaluated by Western Blotting in MCF-7 cell lysate.

Western Blotting Analysis: A 1:1,000 dilution of this antibody detected AKT1 in MCF-7 cell lysate.

Tested applications


Western Blotting Analysis: A 1:1,000 dilution from a representative lot detected AKT1 in NIH3T3 and C6 cell lysates.

Affinity Binding Assay: A representative lot of this antibody bound pan AKT1 peptide with a KD of 1.0 x 10-12 in an affinity binding assay.

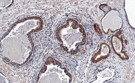
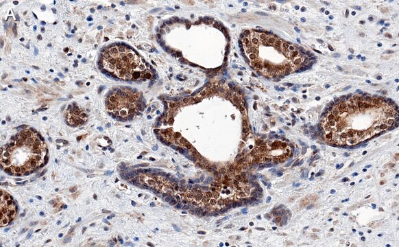
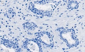
Immunohistochemistry (Paraffin) Analysis: A 1:100 dilution from a representative lot detected AKT1 in human prostate cancer tissue sections.

Immunocytochemistry Analysis: A 1:100 dilution from a representative lot detected AKT1 in HeLa, A431, and HepG2 cells.

Note: Actual optimal working dilutions must be determined by end user as specimens, and experimental conditions may vary with the end user
Anti-AKT1, clone 4K6 ZooMAb®, Cat. No. ZRB2028, is a recombinant Rabbit monoclonal antibody that specifically targets AKT1 and is tested for use in Affinity Binding Assay, Immunocytochemistry, Immunohistochemistry (Paraffin), Western Blotting.

Biochem/physiol Actions

Clone 4K6 is a Rabbit recombinant monoclonal antibody that detects all three isoforms of AKT. It targets an epitope within 20 amino acids from the C-terminal region.

Physical form

Purified recombinant rabbit monoclonal antibody IgG, lyophilized in PBS with 5% Trehalose, normal appearance a coarse or translucent resin. The PBS/trehalose components in the ZooMAb® formulation can have the appearance of a semi-solid (bead like gel) after lyophilization. This is a normal phenomenon. Please follow the recommended reconstitution procedure in the data sheet to dissolve the semi-solid, bead-like, gel-appearing material. The resulting antibody solution is completely stable and functional as proven by full functional testing. Contains no biocide or preservatives, such as azide, or any animal by-products. Larger pack sizes provided as multiples of 25 μL.

Preparation Note

Recommend storage of lyophilized product at 2-8°C; Before reconstitution, micro-centrifuge vials briefly to spin down material to bottom of the vial; Reconstitute each vial by adding 25 μL of filtered lab grade water or PBS; Reconstituted antibodies can be stored at 2-8°C, or -20°C for long term storage. Avoid repeated freeze-thaws.
Reconstitute lyophilized antibody pellet with 25μL of ultrapure water or Phosphate Buffered Saline (PBS). Please refer to our reconstitution protocol and the specific application guidance on the suggested starting dilutions and sample type.

Legal Information

ZooMAb is a registered trademark of Merck KGaA, Darmstadt, Germany

Disclaimer

Unless otherwise stated in our catalog or other company documentation accompanying the product(s), our products are intended for research use only and are not to be used for any other purpose, which includes but is not limited to, unauthorized commercial uses, in vitro diagnostic uses, ex vivo or in vivo therapeutic uses or any type of consumption or application to humans or animals.


Still not finding the right product?

试用我们的 产品选型工具 工具缩小选择范围


存储类别

11 - Combustible Solids

wgk

WGK 1

flash_point_f

Not applicable

flash_point_c

Not applicable

法规信息

常规特殊物品

此项目有



历史批次信息供参考:

分析证书(COA)

Lot/Batch Number

没有发现合适的版本?

如果您需要特殊版本,可通过批号或批次号查找具体证书。

已有该产品?

在文件库中查找您最近购买产品的文档。

访问文档库


商品

Learn about the hallmarks of cancer and find reliable ZooMAb® recombinant antibodies to study them, conveniently organized by cancer hallmark.





全球贸易项目编号

货号GTIN
ZRB2028-25UL04065266881172
ZRB2028-4X25UL04065266881189