跳转至内容
Merck
CN
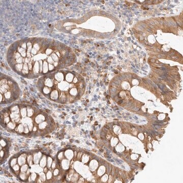
Anti-NEDD4L antibody produced in rabbit Prestige Antibodies® Powered by Atlas Antibodies, affinity isolated antibody, buffered aqueous glycerol solution

Anti-NEDD4L antibody produced in rabbit

Anti-NEDD4L antibody produced in rabbit Prestige Antibodies® Powered by Atlas Antibodies, affinity isolated antibody, buffered aqueous glycerol solution
别名:
Anti-E3 ubiquitin-protein ligase NEDD4-like, Anti-NEDD4.2, Anti-Nedd4-2, Anti-FLJ33870, Anti-KIAA0439, Anti-RSP5, Anti-hNedd4-2

Products

产品分类
品牌
生物来源
克隆
基因别名
物质形态
产品线
抗体形式
研究领域
共轭
质量水平
翻译后修饰
物种反应
技术