
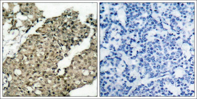
Anti-phospho-G3BP1 (pSer232) antibody produced in rabbit

别名:
Anti-G3BP antibody produced in rabbit, Anti-GTPase activating protein (SH3 domain) binding protein 1 antibody produced in rabbit, Anti-HDH-VIII antibody produced in rabbit, Anti-MGC111040 antibody produced in rabbit
Products
产品分类
品牌
生物来源
克隆
基因别名
同种型
物质形态
抗体形式
研究领域
共轭
质量水平
翻译后修饰
物种反应
技术
Showing 1-1 of 1