跳转至内容
Merck
CN
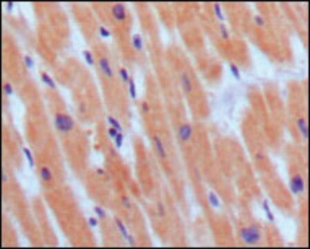
Monoclonal Anti-NPPB antibody produced in mouse clone 3A6F7C7, ascites fluid

Monoclonal Anti-NPPB antibody produced in mouse

Monoclonal Anti-NPPB antibody produced in mouse clone 3A6F7C7, ascites fluid
别名:
BNP, Anti-BNP, Anti-natriuretic peptide precursor B

Products

产品分类
品牌
生物来源
克隆
基因别名
同种型
物质形态
抗体形式
共轭
质量水平
翻译后修饰
物种反应
技术