Skip to Content
Merck
CN

H7789

Anti-acetyl-Histone H1.4 (Ac-Lys26) antibody produced in rabbit

affinity isolated antibody, buffered aqueous solution

Synonym(s):

Anti-H1 Histone family, member 4, Anti-H1.4K26ac, Anti-H1K26ac, Anti-H1e, Anti-Histone 1, Anti-Histone H1b

Sign In to View Organizational & Contract Pricing.

Select a Size

Change View

About This Item

UNSPSC Code:
12352203
NACRES:
NA.41
MDL number:
Conjugate:
unconjugated
Clone:
polyclonal
Application:
WB
Citations:
4
Technical Service
Need help? Our team of experienced scientists is here for you.
Let Us Assist


biological source

rabbit

conjugate

unconjugated

antibody form

affinity isolated antibody

antibody product type

primary antibodies

clone

polyclonal

form

buffered aqueous solution

mol wt

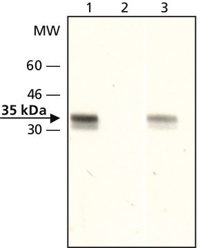
antigen ~35 kDa

species reactivity

human

technique(s)

western blot: 0.5-1 μg/mL using acid-extracted fraction of HL60 cells

UniProt accession no.

shipped in

dry ice

storage temp.

−20°C

target post-translational modification

acetylation (Lys26)

Gene Information

human ... HIST1H1E(3008)

General description

In mammalian cells, four histone H1 variants (H1.2 to H1.5) are present in all somatic cells, and a fifth (H1.1) is restricted to thymus, testis, and spleen and possibly lymphocytic and neuronal cells. Histone H1.4 is di-methylated or acetylated at Lys26. Lys26 is located within the flexible N-terminal domain of H1.4, just preceding the globular domain.

Immunogen

synthetic acetylated peptide corresponding to amino acids 22-33 (Ac-Lys26) of human histone H1.4.

Application

Anti-acetyl-Histone H1.4 (Ac-Lys26) antibody produced in rabbit is suitable for western blot at a concentration of 0.5-1μg/mL using acid-extracted fraction of HL60 cells.
Anti-acetyl-Histone H1.4 (Ac-Lys26) antibody produced in rabbit has been used in western blotting.

Biochem/physiol Actions

H1.4 at lysine residue 26 represses transcription. Linker histone H1 binds to DNA between nucleosomal core particles and is involved in establishing and maintaining higher order chromatin structures. Histone modifications are thought to play an important role in cancer and disease.

Physical form

Solution in 0.01 M phosphate buffered saline, pH 7.4, and 15 mM sodium azide.

Disclaimer

Unless otherwise stated in our catalog or other company documentation accompanying the product(s), our products are intended for research use only and are not to be used for any other purpose, which includes but is not limited to, unauthorized commercial uses, in vitro diagnostic uses, ex vivo or in vivo therapeutic uses or any type of consumption or application to humans or animals.


Still not finding the right product?

Try our Product Selector Tool to narrow your options


Storage Class

10 - Combustible liquids

wgk

WGK 3

flash_point_f

Not applicable

flash_point_c

Not applicable

ppe

Eyeshields, Gloves, multi-purpose combination respirator cartridge (US)

Regulatory Information

新产品

This item has



Choose from one of the most recent versions:

Certificates of Analysis (COA)

Lot/Batch Number

Don't see the Right Version?

If you require a particular version, you can look up a specific certificate by the Lot or Batch number.

Already Own This Product?

Find documentation for the products that you have recently purchased in the Document Library.

Visit the Document Library


Related Content


Dynamic histone H1 isotype 4 methylation and demethylation by histone lysine methyltransferase G9a/KMT1C and the Jumonji domain-containing JMJD2/KDM4 proteins
Trojer P, et al.
The Journal of Biological Chemistry, 284(13), 8395-8405 (2009)
Mechanistic and structural studies of KDM-catalysed demethylation of histone 1 isotype 4 at lysine 26
Walport LJ, et al.
Febs Letters, 592(19), 3264-3273 (2018)
Anti-correlation between longevity gene SirT1 and Notch signaling in ascending aorta biopsies from patients with bicuspid aortic valve disease
Sciacca S, et al.
Heart and Vessels, 28(2), 268-275 (2013)



Global Trade Item Number

SKUGTIN
H7789-100UL04061837794414
H7789-200UL04061837794421