Skip to Content
Merck
CN

ZRB1081

Anti-FMR1 (C-terminal) Antibody, clone 2B16 ZooMAb® Rabbit Monoclonal

greener alternative

recombinant, expressed in HEK 293 cells

Synonym(s):

FMRP, Fragile X mental retardation protein 1, Protein FMR-1, Synaptic functional regulator FMR1

Sign In to View Organizational & Contract Pricing.

Select a Size

Change View

About This Item

NACRES:
NA.41
UNSPSC Code:
12352203
Conjugate:
unconjugated
Clone:
2B16, recombinant monoclonal, monoclonal
Application:
ICC, IHC, WB, affinity binding assay
Citations:
-
Technical Service
Need help? Our team of experienced scientists is here for you.
Let Us Assist


biological source

rabbit

Quality Level

recombinant

expressed in HEK 293 cells

conjugate

unconjugated

antibody form

purified antibody

antibody product type

primary antibodies

clone

2B16, recombinant monoclonal, monoclonal

product line

ZooMAb® learn more

form

lyophilized

mol wt

calculated mol wt 71.17 kDa, observed mol wt ~71 kDa

species reactivity

mouse, human

species reactivity (predicted by homology)

rat, monkey

packaging

antibody small pack of 25 μL

greener alternative product characteristics

Waste Prevention
Designing Safer Chemicals
Design for Energy Efficiency
Learn more about the Principles of Green Chemistry.

enhanced validation

recombinant expression
Learn more about Antibody Enhanced Validation

sustainability

Greener Alternative Product

technique(s)

affinity binding assay: suitable, immunocytochemistry: suitable, immunohistochemistry: suitable, western blot: suitable

isotype

IgG

UniProt accession no.

greener alternative category

shipped in

ambient

storage temp.

2-8°C

target post-translational modification

unmodified

Gene Information

human ... FMR1(2332)
mouse ... Fmr1(14265)
rat ... Fmr1(24948)
rhesus monkey ... Fmr1(700138)

General description

Synaptic functional regulator FMR1 (UniProt: Q06787; also known as Fragile X mental retardation protein 1, FMRP, Protein FMR-1) is encoded by the FMR1 gene (Gene ID: 2332) in human. FMR-1 is a homodimeric multifunctional polyribosome-associated RNA-binding protein predominantly found in the brain. It can also form heterodimer with FXR1 in a methylation-dependent manner. It shuttles between nucleus and cytoplasm in a XPO1/CRM1-dependent manner and plays a central role in neuronal development and synaptic plasticity through the regulation of alternative mRNA splicing, mRNA stability, mRNA dendritic transport and postsynaptic local protein synthesis of a subset of mRNAs. FMR-1 plays a role in mRNA nuclear export and together with export factor NXF2, it is involved in the regulation of the NXF1 mRNA stability in neurons. It stabilizes the scaffolding postsynaptic density protein DLG4/PSD-95 and the myelin basic protein mRNAs in hippocampal neurons and glial cells, respectively and this stabilization is further increased in response to metabotropic glutamate receptor (mGluR) stimulation. In response to mGluR stimulation, FMR1-target mRNAs are rapidly derepressed, allowing for local translation at synapses. FMR-1 is shown to play a role in the modulation of the sodium-activated potassium channel KCNT1 gating activity and negatively regulate the voltage-dependent calcium channel current density in soma and presynaptic terminals of dorsal root ganglion (DRG) neurons. FMR-1 is phosphorylated on several serine residues and phosphorylation at serine 500 is required for phosphorylation of other nearby serine residues. Although phosphorylation has no effect on the binding of individual mRNA species, it may affect the association with polyribosome. Unphosphorylated FMR1 is reported to associate with actively translating polyribosome, whereas a fraction of phosphorylated FMR1 is associated with apparently stalled polyribosome. Mutations in FMR1 gene are linked to Fragile X syndrome that is characterized by moderate to severe mental retardation. This ZooMAb recombinant monoclonal antibody, generated by our propriety technology, offers significantly enhanced specificity, affinity, reproducibility, and stability over conventional monoclonals.
We are committed to bringing you greener alternative products, which adhere to one or more of The 12 Principles of Green Chemistry.This antibody is Preservative-free, produced without the harm or sacrifice of animals and exceptionally stable to allow for ambient shipping and storage if needed and thus aligns with "Waste Prevention", "Designing Safer Chemicals" and "Design for Energy Efficiency". Click here for more information.
ZooMAb antibodies represent an entirely new generation of recombinant monoclonal antibodies.

Each ZooMAb antibody is manufactured using our proprietary recombinant expression system, purified to homogeneity, and precisely dispensed to produce robust and highly reproducible lot-to-lot consistency. Only top-performing clones are released for use by researchers. Each antibody is validated for high specificity and affinity across multiple applications, including its most commonly used application. ZooMAb antibodies are reliably available and ready to ship when you need them.

Learn more about ZooMAb here.

Immunogen

KLH-conjugated linear peptide corresponding to 18 amino acids from the C-terminal region of human Synaptic functional regulator FMR1.

Application

Affinity Binding Assay: A representative lot of this antibody bound FMR1 peptide with a KD of 7.0 x 10-8 in an affinity binding assay.

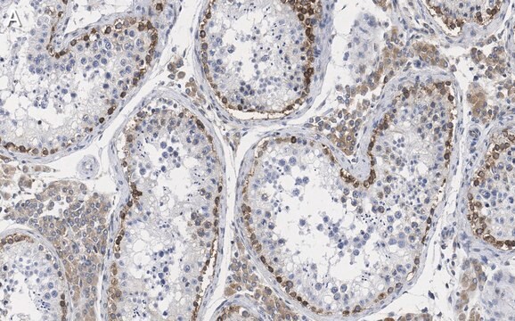
Immunohistochemistry (Paraffin) Analysis: A 1:1,000 dilution from a representative lot detected FMR1 (C-terminal) in human testis tissue sections.

Immunocytochemistry Analysis: A 1:1,000 dilution from a representative lot detected FMR1 (C-terminal) in HeLa, A431, HUVEC, and NIH 3T3 cells.

Note: Actual optimal working dilutions must be determined by end user as specimens, and experimental conditions may vary with the end user
Anti-FMR1 (C-terminal), clone 2B16 ZooMAb, Cat. No. ZRB1081, is a Rabbit monoclonal antibody that specifically targets FMR1 and is tested for use in Affinity Binding Assay, Immunocytochemistry, Immunohistochemistry, and Western Blotting.

Biochem/physiol Actions

Clone 2B16 is a ZooMAb rabbit recombinant monoclonal antibody that specifically detects Synaptic functional regulator FMR1. It targets an epitope within 18 amino acids from the C-terminal region.

Physical form

Purified recombinant rabbit monoclonal antibody IgG, lyophilized in PBS, 5% Trehalose, normal appearance a coarse or translucent resin. Contains no biocide or preservatives, such as azide, or any animal by-products. Larger pack sizes provided as multiples of 25 μL.

Preparation Note

Recommend storage of lyophilized product at 2-8°C; Before reconstitution, micro-centrifuge vials briefly to spin down material to bottom of the vial; Reconstitute each vial by adding 25 μL of filtered lab grade water or PBS; Reconstituted antibodies can be stored at 2-8°C, or -20°C for long term storage. Avoid repeated freeze-thaws.
Reconstitute lyophilized antibody pellet with 25μL ofultrapure water or Phosphate Buffered Saline (PBS). Please refer to our reconstitutionprotocol and the specific application guidance on the suggestedstarting dilutions and sample type.

Legal Information

ZooMAb is a registered trademark of Merck KGaA, Darmstadt, Germany

Disclaimer

Unless otherwise stated in our catalog or other company documentation accompanying the product(s), our products are intended for research use only and are not to be used for any other purpose, which includes but is not limited to, unauthorized commercial uses, in vitro diagnostic uses, ex vivo or in vivo therapeutic uses or any type of consumption or application to humans or animals.


Still not finding the right product?

Try our Product Selector Tool to narrow your options


Storage Class

11 - Combustible Solids

wgk

WGK 1

Regulatory Information

常规特殊物品

This item has



Choose from one of the most recent versions:

Certificates of Analysis (COA)

Lot/Batch Number

Don't see the Right Version?

If you require a particular version, you can look up a specific certificate by the Lot or Batch number.

Already Own This Product?

Find documentation for the products that you have recently purchased in the Document Library.

Visit the Document Library



Global Trade Item Number

SKUGTIN
ZRB1081-25UL04061842447718
ZRB1081-4X25UL04061842447725