Skip to Content
Merck
CN

ZRB1091

Anti-GAD65 Antibody, clone 3B23 ZooMAb® Rabbit Monoclonal

greener alternative

recombinant, expressed in HEK 293 cells

Synonym(s):

65 kDa glutamic acid decarboxylase, EC:4.1.1.15, GAD-65, Glutamate decarboxylase 2, Glutamate decarboxylase 65 kDa isoform

Sign In to View Organizational & Contract Pricing.

Select a Size

Change View

About This Item

NACRES:
NA.41
UNSPSC Code:
12352203
Conjugate:
unconjugated
Clone:
3B23, recombinant monoclonal, monoclonal
Application:
ICC, IF, IHC, WB, affinity binding assay
Citations:
-
Technical Service
Need help? Our team of experienced scientists is here for you.
Let Us Assist


biological source

rabbit

Quality Level

recombinant

expressed in HEK 293 cells

conjugate

unconjugated

antibody form

purified antibody

antibody product type

primary antibodies

clone

3B23, recombinant monoclonal, monoclonal

product line

ZooMAb® learn more

form

lyophilized

mol wt

calculated mol wt 65.41 kDa, observed mol wt ~58 kDa

species reactivity

rat, mouse, human

packaging

antibody small pack of 25 μL

greener alternative product characteristics

Waste Prevention
Designing Safer Chemicals
Design for Energy Efficiency
Learn more about the Principles of Green Chemistry.

enhanced validation

recombinant expression
Learn more about Antibody Enhanced Validation

sustainability

Greener Alternative Product

technique(s)

affinity binding assay: suitable, immunocytochemistry: suitable, immunofluorescence: suitable, immunohistochemistry: suitable, western blot: suitable

UniProt accession no.

greener alternative category

shipped in

ambient

storage temp.

2-8°C

target post-translational modification

unmodified

Gene Information

human ... GAD2(2572)

General description

We are committed to bringing you greener alternative products, which adhere to one or more of The 12 Principles of Green Chemistry.This antibody is Preservative-free, produced without the harm or sacrifice of animals and exceptionally stable to allow for ambient shipping and storage if needed and thus aligns with "Waste Prevention", "Designing Safer Chemicals" and "Design for Energy Efficiency". Click here for more information.
Glutamate decarboxylase 2 (UniProt: Q05329; also known as EC:4.1.1.15, 65 kDa glutamic acid decarboxylase, GAD-65, Glutamate decarboxylase 65 kDa isoform) is encoded by the GAD2 (GAD65) gene (Gene ID: 2572) in human. GAD-65 a homodimeric peripheral membrane protein that is associated to cytoplasmic vesicles. It is produced primarily by pancreatic islet cells. It is expressed in human β cells; however, some expression has also been observed in and cells of islets. It is shown to be a major target autoantigen in type 1A diabetes. In neurons, it is present in cytosolic leaflet of Golgi membranes and presynaptic clusters. It is responsible for the conversion of glutamic acid to gamma-aminobutyric acid (GABA), the major inhibitory transmitter in higher brain regions. Two molecular forms of GAD have been described (65 kDa and 67 kDa) that display 64% amino acid homology and both forms are expressed in the CNS, pancreatic islet cells, testis, oviduct, and ovary. Between the two isoforms, GAD67 is responsible for over 90% of basal GABA synthesis and is produced at limiting levels in the brain. This ZooMAb recombinant monoclonal antibody, generated by our propriety technology, offers significantly enhanced specificity, affinity, reproducibility, and stability over conventional monoclonals.
ZooMAb antibodies represent an entirely new generation of recombinant monoclonal antibodies.

Each ZooMAb antibody is manufactured using our proprietary recombinant expression system, purified to homogeneity, and precisely dispensed to produce robust and highly reproducible lot-to-lot consistency. Only top-performing clones are released for use by researchers. Each antibody is validated for high specificity and affinity across multiple applications, including its most commonly used application. ZooMAb antibodies are reliably available and ready to ship when you need them.

Learn more about ZooMAb here.

Immunogen

KLH-conjugated linear peptide corresponding to 17 amino acids from the C-terminal region of human Glutamate decarboxylase 2 (GAD65).

Application

Anti-GAD65, clone 3B23 ZooMAb, Cat. No. ZRB1091, is a recombinant Rabbit monoclonal antibody that targets GAD65 and is tested for use in Affinity Binding Assay, Immunocytochemistry, Immunofluorescence, Immunohistochemistry, and Western Blotting.
Western Blotting Analysis: A 1:1,000 dilution from a representative lot detected GAD65 human and mouse brain tissue lysates.

Immunofluorescence Analysis: A 1:100 dilution from a representative lot detected GAD65 in rat cerebellum tissue sections.

Affinity Binding Assay:: A representative lot of this antibody bound human GAD65 peptide with a KD of 1 x 10-12 in an affinity binding assay.

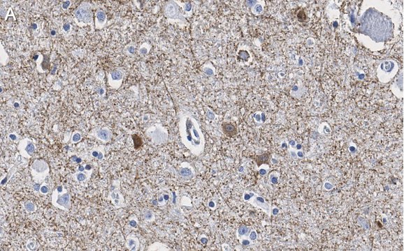
Immunohistochemistry (Paraffin) Analysis: A 1:10-100 dilution from a representative lot detected GAD65 in human brain and rat brain tissue sections.

Immunocytochemistry Analysis: A 1:100 dilution from a representativelot detected GAD65 in Neuro-2a cells.

Note: Actual optimal working dilutions must be determined by end user as specimens, and experimental conditions may vary with the end user

Biochem/physiol Actions

Clone 2B23 is a ZooMAb rabbit recombinant monoclonal antibody that specifically detects Glutamate decarboxylase 2 (GAD65). It targets an epitope within 17 amino acids from the C-terminal region.

Physical form

Purified recombinant rabbit monoclonal antibody IgG, lyophilized in PBS, 5% Trehalose, normal appearance a coarse or translucent resin. Contains no biocide or preservatives, such as azide, or any animal by-products. Larger pack sizes provided as multiples of 25 μL.

Preparation Note

Recommend storage of lyophilized product at 2-8°C; Before reconstitution, micro-centrifuge vials briefly to spin down material to bottom of the vial; Reconstitute each vial by adding 25 μL of filtered lab grade water or PBS; Reconstituted antibodies can be stored at 2-8°C, or -20°C for long term storage. Avoid repeated freeze-thaws.
Reconstitute lyophilized antibody pellet with 25μL of ultrapure water or Phosphate Buffered Saline (PBS). Please refer to our reconstitution protocol and the specific application guidance on the suggested starting dilutions and sample type.

Legal Information

ZooMAb is a registered trademark of Merck KGaA, Darmstadt, Germany

Disclaimer

Unless otherwise stated in our catalog or other company documentation accompanying the product(s), our products are intended for research use only and are not to be used for any other purpose, which includes but is not limited to, unauthorized commercial uses, in vitro diagnostic uses, ex vivo or in vivo therapeutic uses or any type of consumption or application to humans or animals.


Still not finding the right product?

Try our Product Selector Tool to narrow your options


Storage Class

11 - Combustible Solids

wgk

WGK 1

Regulatory Information

常规特殊物品
常规特殊物品

This item has



Choose from one of the most recent versions:

Certificates of Analysis (COA)

Lot/Batch Number

Don't see the Right Version?

If you require a particular version, you can look up a specific certificate by the Lot or Batch number.

Already Own This Product?

Find documentation for the products that you have recently purchased in the Document Library.

Visit the Document Library



Global Trade Item Number

SKUGTIN
ZRB1091-25UL04061842447497
ZRB1091-4X25UL04061842447503