Skip to Content
Merck
CN

ZRB1099

Anti-ALDH1A1 Antibody, clone 4J6, ZooMAb® Rabbit Monoclonal

greener alternative

recombinant, expressed in HEK 293 cells

Sign In to View Organizational & Contract Pricing.

Select a Size

Change View

About This Item

NACRES:
NA.43
UNSPSC Code:
12352203
Conjugate:
unconjugated
Clone:
4J6, recombinant monoclonal
Application:
IF, IHC (p), IP, WB
Citations:
-
Technical Service
Need help? Our team of experienced scientists is here for you.
Let Us Assist


biological source

rabbit (recombinant)

Quality Level

recombinant

expressed in HEK 293 cells

conjugate

unconjugated

antibody form

purified antibody

antibody product type

primary antibodies

clone

4J6, recombinant monoclonal

product line

ZooMAb® learn more

form

lyophilized

mol wt

calculated mol wt 54.86 kDa, observed mol wt ~54 kDa

species reactivity

human

packaging

antibody small pack of 25 μL

greener alternative product characteristics

Waste Prevention
Designing Safer Chemicals
Design for Energy Efficiency
Learn more about the Principles of Green Chemistry.

enhanced validation

recombinant expression
Learn more about Antibody Enhanced Validation

sustainability

Greener Alternative Product

technique(s)

immunofluorescence: suitable, immunohistochemistry (formalin-fixed, paraffin-embedded sections): suitable, immunoprecipitation (IP): suitable, western blot: suitable (peptide)

isotype

IgG

UniProt accession no.

greener alternative category

shipped in

ambient

storage temp.

2-8°C

target post-translational modification

unmodified

Gene Information

human ... ALDH1A1(216)

General description

Retinal dehydrogenase 1 (UniProt: P00352; also known as RALDH 1, RalDH1, ALDH-E1, ALHDII, Aldehyde dehydrogenase family 1 member A1, Aldehyde dehydrogenase, cytosolic) is encoded by the ALDH1A1 (also known as ALDC, ALDH1, PUMB1) gene (Gene ID: 216) in human. Retinal dehydrogenase 1 is a ubiquitously distributed cytosolic enzyme that serves as a detoxification enzyme and generates retinoic acid. It catalyzes the oxidation of retinal to retinoic acid that is essential for differentiation, development, and survival of dopaminergic neurons. It can also play a role in cellular defense against oxidative stress by oxidizing 4-hydroxynonenal (4-HNE) produced during lipid peroxidation. It is also involved in several other biological processes, such as stem cell maintenance, UV-radiation resistance, melanogenesis, and spermatogenesis, by catalyzing the conversion of specific aldehydes to their corresponding carboxylic acids. Retinal dehydrogenase 1 contains multiple NAD binding sites. This ZooMAb recombinant monoclonal antibody, generated by our propriety technology, offers significantly enhanced specificity, affinity, reproducibility, and stability over conventional monoclonals. (Ref.: Paval, D., et al. (2017). Clin. Psychopharmacol. Neurosci. 5(3); 229-236).
We are committed to bringing you greener alternative products, which adhere to one or more of The 12 Principles of Green Chemistry.This antibody is Preservative-free, produced without the harm or sacrifice of animals and exceptionally stable to allow for ambient shipping and storage if needed and thus aligns with "Waste Prevention", "Designing Safer Chemicals" and "Design for Energy Efficiency". Click here for more information.
ZooMAb antibodies represent an entirely new generation of recombinant monoclonal antibodies.

Each ZooMAb antibody is manufactured using our proprietary recombinant expression system, purified to homogeneity, and precisely dispensed to produce robust and highly reproducible lot-to-lot consistency. Only top-performing clones are released for use by researchers. Each antibody is validated for high specificity and affinity across multiple applications, including its most commonly used application. ZooMAb antibodies are reliably available and ready to ship when you need them.

Learn more about ZooMAb here.

Immunogen

KLH-conjugated linear peptide corresponding to 19 amino acids from the C-terminal region of human Retinal dehydrogenase 1.

Application

Anti-ALDH1A1, clone 4J6 ZooMAb , Cat. No. ZRB1099, is a highly specific rabbit recombinant monoclonal antibody that targets ALDH1A1 and has been tested for use in Immunofluorescence, Immunohistochemistry (Paraffin), Immunoprecipitation, and Western Blotting.
Western Blotting Analysis: A 1:10,000 dilution from a representative lot detected ALDH1A1 in lysates from HepG and human liver cells.

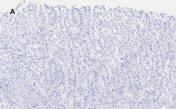
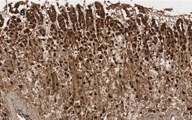
Immunohistochemistry (Paraffin) Analysis: A 1:100 dilution from a representative lot detected ALDH1A1 in human stomach and human liver tissue sections.

Immunoprecipitation Analysis: 3 μg from a representative lot immunoprecipitated ALDH1A1 in HepG2 cell lysate.

Immunofluorescence Analysis: A 1:10-1:100 dilution from a representative lot detected ALDH1A1 in human stomach and human liver tissue sections.

Note: Actual optimal working dilutions must be determined by end user as specimens, and experimental conditions may vary with the end user.

Biochem/physiol Actions

Clone 4J6 ZooMAb is a rabbit recombinant monoclonal antibody that specifically detects human Retinal Dehydrogenase 1. It targets an epitope within 19 amino acids from the C-terminal region.

Physical form

Purified recombinant rabbit monoclonal antibody IgG, lyophilized in PBS with 5% Trehalose. Normal appearance is a coarse or translucent resin. Contains no biocide or preservatives, such as azide, or any animal by-products. Larger pack sizes provided as multiples of 25 μL.

Preparation Note

Recommend storage of lyophilized product at 2-8°C; Before reconstitution, micro-centrifuge vials briefly to spin down material to bottom of the vial; Reconstitute each vial by adding 25 μL of filtered lab grade water or PBS; Reconstituted antibodies can be stored at 2-8°C, or -20°C for long term storage. Avoid repeated freeze-thaws.
Reconstitute lyophilized antibody pellet with 25μL of ultrapure water or Phosphate Buffered Saline (PBS). Please refer to our reconstitution protocol and the specific application guidance on the suggested starting dilutions and sample type.

Legal Information

ZooMAb is a registered trademark of Merck KGaA, Darmstadt, Germany

Disclaimer

Unless otherwise stated in our catalog or other company documentation accompanying the product(s), our products are intended for research use only and are not to be used for any other purpose, which includes but is not limited to, unauthorized commercial uses, in vitro diagnostic uses, ex vivo or in vivo therapeutic uses or any type of consumption or application to humans or animals.


Still not finding the right product?

Try our Product Selector Tool to narrow your options


Storage Class

11 - Combustible Solids

wgk

WGK 2

flash_point_f

Not applicable

flash_point_c

Not applicable

Regulatory Information

常规特殊物品

This item has



Choose from one of the most recent versions:

Certificates of Analysis (COA)

Lot/Batch Number

Don't see the Right Version?

If you require a particular version, you can look up a specific certificate by the Lot or Batch number.

Already Own This Product?

Find documentation for the products that you have recently purchased in the Document Library.

Visit the Document Library