Skip to Content
Merck
CN

ZRB1115

Anti-Glucagon Antibody, clone 6D6 ZooMAb® Rabbit Monoclonal

greener alternative

recombinant, expressed in HEK 293 cells

Sign In to View Organizational & Contract Pricing.

Select a Size

Change View

About This Item

NACRES:
NA.43
UNSPSC Code:
12352203
Conjugate:
unconjugated
Clone:
6D6, recombinant monoclonal
Application:
IF, IHC (p), affinity binding assay
Citations:
-
Technical Service
Need help? Our team of experienced scientists is here for you.
Let Us Assist


biological source

rabbit

Quality Level

recombinant

expressed in HEK 293 cells

conjugate

unconjugated

antibody form

purified antibody

antibody product type

primary antibodies

clone

6D6, recombinant monoclonal

description

recombinant, expressed in HEK 293 cells

product line

ZooMAb® learn more

form

lyophilized

mol wt

calculated mol wt 3.49 kDa

purified by

using Protein A

species reactivity

human

species reactivity (predicted by homology)

rat, mouse

packaging

antibody small pack of 25 μL

greener alternative product characteristics

Waste Prevention
Designing Safer Chemicals
Design for Energy Efficiency
Learn more about the Principles of Green Chemistry.

enhanced validation

recombinant expression
Learn more about Antibody Enhanced Validation

sustainability

Greener Alternative Product

technique(s)

affinity binding assay: suitable, immunofluorescence: suitable, immunohistochemistry (formalin-fixed, paraffin-embedded sections): suitable

isotype

IgG

epitope sequence

Unknown

Protein ID accession no.

UniProt accession no.

greener alternative category

shipped in

ambient

storage temp.

2-8°C

target post-translational modification

unmodified

General description

Pro-glucagon (UniProt: P01275) is encoded by the GCG gene (Gene ID: 2641) in human. Pro-glucagon is a 180 amino acid peptide that is post-translationally processed in a tissue-specific manner in pancreatic alpha cells and intestinal L cells. In pancreatic alpha cells, glucagon (aa 53-81) is produced by cleavage of pro-glucagon by proprotein Convertase Subtilisin/Kexin Type 2 (PCSK2/PC2). It is secreted in response to low levels of blood glucose. Hence, its circulating levels are low in the prandial state and increase 2 3 fold in response to fasting or hypoglycemia. Its actions are mediated via the glucagon receptor (GCGR), a G protein-coupled receptor that is most abundantly expressed in the liver. Traces of GCGR are also reported in several extrahepatic tissues, such as the brain, heart, kidney, gastrointestinal tract, and adipose tissues. It regulates blood glucose levels by increasing gluconeogenesis and reducing glycolysis. As a counterregulatory hormone of insulin, glucagon raises plasma glucose levels in response to insulin-induced hypoglycemia. In diabetic subjects, it plays a role in initiating and maintaining hyperglycemic condition. This ZooMAb® recombinant monoclonal antibody, generated by our propriety technology, offers significantly enhanced specificity, affinity, reproducibility, and stability over conventional monoclonals.
We are committed to bringing you greener alternative products, which adhere to one or more of The 12 Principles of Green Chemistry.This antibody is Preservative-free, produced without the harm or sacrifice of animals and exceptionally stable to allow for ambient shipping and storage if needed and thus aligns with "Waste Prevention", "Designing Safer Chemicals" and "Design for Energy Efficiency". Click here for more information.
ZooMAb® antibodies represent an entirely new generation of recombinant monoclonal antibodies.Each ZooMAb® antibody is manufactured using our proprietary recombinant expression system, purified to homogeneity, and precisely dispensed to produce robust and highly reproducible lot-to-lot consistency. Only top-performing clones are released for use by researchers. Each antibody is validated for high specificity and affinity across multiple applications, including its most commonly used application. ZooMAb® antibodies are reliably available and ready to ship when you need them.

Immunogen

KLH-conjugated linear peptide corresponding to full-length human glucagon.

Application

Quality Control Testing

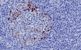
Evaluated by Immunohistochemistry (Paraffin) in human pancreas tissue sections.

Immunohistochemistry (Paraffin) Analysis: A 1:100 dilution of this antibody detected Glucagon in human pancreas tissue sections.

Tested applications

Affinity Binding Assay: A representative lot of this antibody bound Glucagon with a KD of 1.0 x 10-12 in an affinity binding assay.

Immunofluorescence Analysis: A 1:100 dilution from a representative lot detected Glucagon in human pancreas tissue sections.

Note: Actual optimal working dilutions must be determined by end user as specimens, and experimental conditions may vary with the end user
Anti-Glucagon, clone 6D6 ZooMAb®, Cat. No. ZRB1115, is a recombinant Rabbit monoclonal antibody that targets Glucagon and is tested for use in Affinity Binding Assay, Immunofluorescence, and Immunohistochemistry (Paraffin).

Biochem/physiol Actions

Clone 6D6 is a Rabbit recombinant monoclonal antibody that specifically detects glucagon.

Physical form

Purified recombinant rabbit monoclonal antibody IgG, lyophilized in PBS with 5% Trehalose, normal appearance a coarse or translucent resin. The PBS/trehalose components in the ZooMAb® formulation can have the appearance of a semi-solid (bead like gel) after lyophilization. This is a normal phenomenon. Please follow the recommended reconstitution procedure in the data sheet to dissolve the semi-solid, bead-like, gel-appearing material. The resulting antibody solution is completely stable and functional as proven by full functional testing. Contains no biocide or preservatives, such as azide, or any animal by-products. Larger pack sizes provided as multiples of 25 μL.

Preparation Note

Recommend storage of lyophilized product at 2-8°C; Before reconstitution, micro-centrifuge vials briefly to spin down material to bottom of the vial; Reconstitute each vial by adding 25 μL of filtered lab grade water or PBS; Reconstituted antibodies can be stored at 2-8°C, or -20°C for long term storage. Avoid repeated freeze-thaws.
Reconstitute lyophilized antibody pellet with 25μL of ultrapure water or Phosphate Buffered Saline (PBS). Please refer to our reconstitution protocol and the specific application guidance on the suggested starting dilutions and sample type.

Legal Information

ZooMAb is a registered trademark of Merck KGaA, Darmstadt, Germany

Disclaimer

Unless otherwise stated in our catalog or other company documentation accompanying the product(s), our products are intended for research use only and are not to be used for any other purpose, which includes but is not limited to, unauthorized commercial uses, in vitro diagnostic uses, ex vivo or in vivo therapeutic uses or any type of consumption or application to humans or animals.


Still not finding the right product?

Try our Product Selector Tool to narrow your options


Storage Class

11 - Combustible Solids

wgk

WGK 1

flash_point_f

Not applicable

flash_point_c

Not applicable

Regulatory Information

常规特殊物品

This item has



Choose from one of the most recent versions:

Certificates of Analysis (COA)

Lot/Batch Number

Don't see the Right Version?

If you require a particular version, you can look up a specific certificate by the Lot or Batch number.

Already Own This Product?

Find documentation for the products that you have recently purchased in the Document Library.

Visit the Document Library



Global Trade Item Number

SKUGTIN
ZRB1115-25UL04065266881158
ZRB1115-4X25UL04065266881165