Skip to Content
Merck
CN

ZRB1253

Anti-Ezrin Antibody, clone 1D15 ZooMAb® Rabbit Monoclonal

greener alternative

recombinant, expressed in HEK 293 cells

Sign In to View Organizational & Contract Pricing.

Select a Size

Change View

About This Item

NACRES:
NA.41
UNSPSC Code:
12352203
Conjugate:
unconjugated
Clone:
1D15, monoclonal, recombinant monoclonal
Application:
FACS, ICC, IHC (p), WB, affinity binding assay
Citations:
-
Technical Service
Need help? Our team of experienced scientists is here for you.
Let Us Assist


biological source

rabbit

Quality Level

recombinant

expressed in HEK 293 cells

conjugate

unconjugated

antibody form

purified antibody

antibody product type

primary antibodies

clone

1D15, monoclonal, recombinant monoclonal

product line

ZooMAb® learn more

form

lyophilized

mol wt

calculated mol wt ~69.41 kDa, observed mol wt ~75 kDa

species reactivity

human, rat, mouse

species reactivity (predicted by homology)

horse, canine, bovine, monkey

packaging

antibody small pack of 25 μL

greener alternative product characteristics

Waste Prevention
Designing Safer Chemicals
Design for Energy Efficiency
Learn more about the Principles of Green Chemistry.

enhanced validation

recombinant expression
Learn more about Antibody Enhanced Validation

sustainability

Greener Alternative Product

technique(s)

affinity binding assay: suitable, flow cytometry: suitable, immunocytochemistry: suitable, immunohistochemistry (formalin-fixed, paraffin-embedded sections): suitable, western blot: suitable

isotype

IgG

UniProt accession no.

greener alternative category

shipped in

ambient

storage temp.

2-8°C

target post-translational modification

unmodified

General description

Ezrin (UniProt: P15311; also known as Cytovillin, Villin-2, p81) is encoded by the EZR (also known as VIL2) gene (Gene ID: 7430) in human. Ezrin, a peripheral membrane protein, is a member of the ERM (Ezrin Radixin Moesin) family that function as cross-linkers between the actin cytoskeleton and the plasma membrane. ERM proteins are shown to be involved in microvilli formation and breakdown and are essential for cell-cell and cell-substrate adhesions. ERM proteins are involved in Rho GTPase signaling and are associated with cell morphology, migration, and growth. Ezrin expression has been reported in cerebral cortex, basal ganglia, hippocampus, hypophysis, and optic nerve. Its stronger expression is detected in gray matter of frontal lobe compared to white matter. It is preferentially expressed in astrocytes of hippocampus, frontal cortex, and thalamus. It is also a component of the microvilli of intestinal epithelial cells where it localized to their apical surface. A head-to-tail association of the N-terminal and C-terminal halves of Ezrin result in a closed conformation (inactive form), which is incapable of actin or membrane-binding. Its phosphorylation by ROCK2 is reported to suppress this head-to-tail association resulting in an opened conformation that is capable of actin and membrane-binding. Overexpression of Ezrin has been associated with higher grade tumors and is associated with poor outcome in several cancers. This ZooMAb® recombinant monoclonal antibody, generated by our propriety technology, offers significantly enhanced specificity, affinity, reproducibility, and stability over conventional monoclonals. (Ref.: Gautreau, A., et al. (1999). Proc. Natl. Acad. Sci. USA 96(13); 7300-7305).
We are committed to bringing you greener alternative products, which adhere to one or more of The 12 Principles of Green Chemistry.This antibody is Preservative-free, produced without the harm or sacrifice of animals and exceptionally stable to allow for ambient shipping and storage if needed and thus aligns with "Waste Prevention", "Designing Safer Chemicals" and "Design for Energy Efficiency". Click here for more information.
ZooMAb antibodies represent an entirely new generation of recombinant monoclonal antibodies.

Each ZooMAb antibody is manufactured using our proprietary recombinant expression system, purified to homogeneity, and precisely dispensed to produce robust and highly reproducible lot-to-lot consistency. Only top-performing clones are released for use by researchers. Each antibody is validated for high specificity and affinity across multiple applications, including its most commonly used application. ZooMAb antibodies are reliably available and ready to ship when you need them.

Immunogen

KLH-conjugated linear peptide corresponding to 15 amino acids from the C-terminal region of human Ezrin.

Application

Quality Control Testing

Evaluated by Western Blotting in HeLa cell lysate.

Western Blotting Analysis: A 1:1,000 dilution of this antibody detected Ezrin in HeLa cell lysate.

Tested Applications

Western Blotting Analysis: A 1:1,000 dilution from a representative lot detected Ezrin in MCF-7, NIH3T3, and C6 cell lysates.

Immunocytochemistry Analysis: A 1:100 dilution from a representative lot detected Ezrin in A431 and HepG2 cells.

Flow Cytometry Analysis: 1 μg from a representative lot detected Ezrin in one million HeLa cells.

Affinity Binding Assay: A representative lot of this antibody bound Ezrin peptide with a KD of 9.5 x 10-7 in an affinity binding assay.

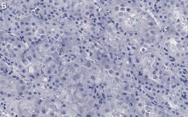
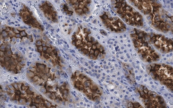
Immunohistochemistry (Paraffin) Analysis: A 1:100 dilution from a representative lot detected Ezrin in human kidney tissue sections.

Note: Actual optimal working dilutions must be determined by end user as specimens, and experimental conditions may vary with the end user
Anti-Ezrin, clone 1D15 ZooMAb®, Cat. No. ZRB1253, is a recombinant Rabbit monoclonal antibody that specifically targets Ezrin and has been tested for use in Affinity Binding Assay, Flow Cytometry, Immunocytochemistry, Immunohistochemistry, and WB.

Biochem/physiol Actions

Clone 1D15 is a ZooMAb® rabbit recombinant monoclonal antibody that specifically detects Ezrin. It targets an epitope with 15 amino acids from the C-terminal region.

Physical form

Purified recombinant mouse monoclonal antibody IgG, lyophilized in PBS, 5% Trehalose, normal appearance a coarse or translucent resin. Contains no biocide or preservatives, such as azide, or any animal by-products. Larger pack sizes provided as multiples of 25 μL.

Preparation Note

Recommend storage of lyophilized product at 2-8°C; Before reconstitution, micro-centrifuge vials briefly to spin down material to bottom of the vial; Reconstitute each vial by adding 25 μL of filtered lab grade water or PBS; Reconstituted antibodies can be stored at 2-8°C, or -20°C for long term storage. Avoid repeated freeze-thaws.
Reconstitute lyophilized antibody pellet with 25μL of ultrapure water or Phosphate Buffered Saline (PBS). Please refer to our reconstitution protocol and the specific application guidance on the suggested starting dilutions and sample type.

Legal Information

ZooMAb is a registered trademark of Merck KGaA, Darmstadt, Germany

Disclaimer

Unless otherwise stated in our catalog or other company documentation accompanying the product(s), our products are intended for research use only and are not to be used for any other purpose, which includes but is not limited to, unauthorized commercial uses, in vitro diagnostic uses, ex vivo or in vivo therapeutic uses or any type of consumption or application to humans or animals.


Still not finding the right product?

Try our Product Selector Tool to narrow your options


Storage Class

11 - Combustible Solids

wgk

WGK 1

flash_point_f

Not applicable

flash_point_c

Not applicable

Regulatory Information

常规特殊物品

This item has



Choose from one of the most recent versions:

Certificates of Analysis (COA)

Lot/Batch Number

Don't see the Right Version?

If you require a particular version, you can look up a specific certificate by the Lot or Batch number.

Already Own This Product?

Find documentation for the products that you have recently purchased in the Document Library.

Visit the Document Library



Global Trade Item Number

SKUGTIN
ZRB1253-25UL04065265398732
ZRB1253-4X25UL04065265398749