Skip to Content
Merck
CN

ZRB1296

Anti-CD54 Antibody, clone 2C15 ZooMAb® Rabbit Monoclonal

greener alternative

recombinant, expressed in HEK 293 cells

Synonym(s):

Intercellular adhesion molecule 1;ICAM-1;Major group rhinovirus receptor

Sign In to View Organizational & Contract Pricing.

Select a Size

Change View

About This Item

NACRES:
NA.41
UNSPSC Code:
12352203
Conjugate:
unconjugated
Clone:
2C15, recombinant monoclonal
Application:
FACS, IHC (p), WB, affinity binding assay
Citations:
-
Technical Service
Need help? Our team of experienced scientists is here for you.
Let Us Assist


biological source

rabbit

Quality Level

recombinant

expressed in HEK 293 cells

conjugate

unconjugated

antibody form

purified antibody

antibody product type

primary antibodies

clone

2C15, recombinant monoclonal

description

recombinant, expressed in HEK 293 cells

product line

ZooMAb® learn more

form

lyophilized

mol wt

calculated mol wt 57.82 kDa, observed mol wt ~100 kDa

purified by

using Protein A

species reactivity

human

species reactivity (predicted by homology)

monkey

packaging

antibody small pack of 25 μL

greener alternative product characteristics

Waste Prevention
Designing Safer Chemicals
Design for Energy Efficiency
Learn more about the Principles of Green Chemistry.

enhanced validation

recombinant expression
Learn more about Antibody Enhanced Validation

sustainability

Greener Alternative Product

technique(s)

affinity binding assay: suitable, flow cytometry: suitable, immunohistochemistry (formalin-fixed, paraffin-embedded sections): suitable, western blot: suitable

isotype

IgG

epitope sequence

Extracellular domain

Protein ID accession no.

UniProt accession no.

greener alternative category

shipped in

ambient

storage temp.

2-8°C

target post-translational modification

unmodified

General description

Intercellular adhesion molecule 1 (UniProt: P05362; also known as ICAM-1, Major group rhinovirus receptor, CD54) is encoded by the ICAM1 gene (Gene ID: 3383) in human. CD54 is a member of the immunoglobulin supergene family with five extracellular Ig like domains that are involved in cell-cell and cell-matrix adhesion. It is a single-pass type I membrane glycoprotein that is synthesized with a signal peptide (aa 1-27), which is subsequently cleaved off to generate the mature form that contains an extracellular domain (aa 28-481), a transmembrane domain (aa 481-503), and a cytoplasmic domain (aa 504-532). It is reported to be constitutively expressed in several hematopoietic and non-hematopoietic cells, including fibroblasts, endothelial cell, leukocytes, and epithelial cells. Its expression can be upregulated by several pro-inflammatory cytokines. Stronger expression of CD54 has been observed in neoplastic cells from stem cell derived neoplasms. The endothelial expression of CD54 is showed to be higher in atherosclerotic and transplant-associated atherosclerotic tissue. Its adhesive actions are mediated by binding to CD11a/CD18 (LFA-1) and CD11b/CD18 (Mac-1). Its adhesive interactions are shown to be essential for the transendothelial migration of leukocytes out of the blood vessels and into tissues. It also plays a role in the activation of T cells where it serves as a co-activation signal. This ZooMAb® recombinant monoclonal antibody, generated by our propriety technology, offers significantly enhanced specificity, affinity, reproducibility, and stability over conventional monoclonals. (Ref.: Lawson, C., and Wolf, S (2009). Pharmacol Rep. 61(1); 22-32; Roebuck, KA., and Finnegan, A. (1999). J. Leukoc. Biol. 66(6); 876-888; Maio, M., and Del Vecchio, L (1992). Leuk. Lymphoma. 8(2-2); 23-33).
We are committed to bringing you greener alternative products, which adhere to one or more of The 12 Principles of Green Chemistry.This antibody is Preservative-free, produced without the harm or sacrifice of animals and exceptionally stable to allow for ambient shipping and storage if needed and thus aligns with "Waste Prevention", "Designing Safer Chemicals" and "Design for Energy Efficiency". Click here for more information.
ZooMAb® antibodies represent an entirely new generation of recombinant monoclonal antibodies.Each ZooMAb® antibody is manufactured using our proprietary recombinant expression system, purified to homogeneity, and precisely dispensed to produce robust and highly reproducible lot-to-lot consistency. Only top-performing clones are released for use by researchers. Each antibody is validated for high specificity and affinity across multiple applications, including its most commonly used application. ZooMAb® antibodies are reliably available and ready to ship when you need them.

Immunogen

KLH-conjugated linear peptide corresponding to 18 amino acids from the N-terminal, extracellular domain of human CD54 (ICAM-1).

Application

Quality Control Testing

Evaluated by Western Blotting in Ramos cell lysate.

Western Blotting Analysis: A 1:1,000 dilution of this antibody detected CD54 in Ramos cell lysate.

Tested applications

Western Blotting Analysis: A 1:1,000 dilution from a representative lot detected CD54 in lysates from human liver tissue and MCF-7 cells.

Flow Cytometry Analysis: 1 μg from a representative lot detected CD54 in one million human peripheral blood mononuclear cells.

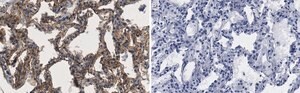
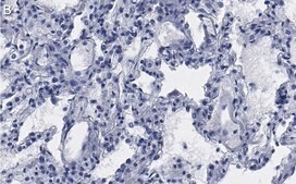
Immunohistochemistry (Paraffin) Analysis: A 1:100 dilution from a representative lot detected CD54 in human lung tissue sections.

Affinity Binding Assay: A representative lot of this antibody bound ICAM-1/CD54 with a KD of 2.0 x 10-8 in an affinity binding assay.

Note: Actual optimal working dilutions must be determined by end user as specimens, and experimental conditions may vary with the end user

Biochem/physiol Actions

Clone 2C15 is a Rabbit recombinant monoclonal antibody that specifically detects CD54. It targets an epitope within 18 amino acids from the N-terminal, extracellular domain.

Physical form

Purified recombinant rabbit monoclonal antibody IgG, lyophilized in PBS, 5% Trehalose, normal appearance a coarse or translucent resin. The PBS/trehalose components in the ZooMAb formulation can have the appearance of a semi-solid (bead like gel) after lyophilization. This is a normal phenomenon. Please follow the recommended reconstitution procedure in the data sheet to dissolve the semi-solid, bead-like, gel-appearing material. The resulting antibody solution is completely stable and functional as proven by full functional testing. Contains no biocide or preservatives, such as azide, or any animal by-products. Larger pack sizes provided as multiples of 25 μL.

Preparation Note

Recommend storage of lyophilized product at 2-8°C; Before reconstitution, micro-centrifuge vials briefly to spin down material to bottom of the vial; Reconstitute each vial by adding 25 μL of filtered lab grade water or PBS; Reconstituted antibodies can be stored at 2-8°C, or -20°C for long term storage. Avoid repeated freeze-thaws.
Reconstitute lyophilized antibody pellet with 25μL of ultrapure water or Phosphate Buffered Saline (PBS). Please refer to our reconstitution protocol and the specific application guidance on the suggested starting dilutions and sample type.

Legal Information

ZooMAb is a registered trademark of Merck KGaA, Darmstadt, Germany

Disclaimer

Unless otherwise stated in our catalog or other company documentation accompanying the product(s), our products are intended for research use only and are not to be used for any other purpose, which includes but is not limited to, unauthorized commercial uses, in vitro diagnostic uses, ex vivo or in vivo therapeutic uses or any type of consumption or application to humans or animals.


Still not finding the right product?

Try our Product Selector Tool to narrow your options


Storage Class

13 - Non Combustible Solids

wgk

WGK 1

flash_point_f

Not applicable

flash_point_c

Not applicable

Regulatory Information

常规特殊物品

This item has



Choose from one of the most recent versions:

Certificates of Analysis (COA)

Lot/Batch Number

Don't see the Right Version?

If you require a particular version, you can look up a specific certificate by the Lot or Batch number.

Already Own This Product?

Find documentation for the products that you have recently purchased in the Document Library.

Visit the Document Library



Global Trade Item Number

SKUGTIN
ZRB1296-25UL04065267130279
ZRB1296-4X25UL04065267130286