Skip to Content
Merck
CN

ZRB1298

Anti-CD28 Antibody, clone 2N15 ZooMAb® Rabbit Monoclonal

greener alternative

recombinant, expressed in HEK 293 cells

Sign In to View Organizational & Contract Pricing.

Select a Size

Change View

About This Item

NACRES:
NA.41
UNSPSC Code:
12352203
Conjugate:
unconjugated
Clone:
2N15, recombinant monoclonal
Application:
FACS, ICC, IHC (p), WB
Citations:
-
Technical Service
Need help? Our team of experienced scientists is here for you.
Let Us Assist


biological source

rabbit

Quality Level

recombinant

expressed in HEK 293 cells

conjugate

unconjugated

antibody form

purified antibody

antibody product type

primary antibodies

clone

2N15, recombinant monoclonal

description

recombinant, expressed in HEK 293 cells

product line

ZooMAb® learn more

form

lyophilized

mol wt

calculated mol wt 25.07 kDa, observed mol wt ~40 kDa

purified by

using Protein A

species reactivity

human

species reactivity (predicted by homology)

bovine, monkey, rat

packaging

antibody small pack of 25 μL

greener alternative product characteristics

Waste Prevention
Designing Safer Chemicals
Design for Energy Efficiency
Learn more about the Principles of Green Chemistry.

enhanced validation

recombinant expression
Learn more about Antibody Enhanced Validation

sustainability

Greener Alternative Product

technique(s)

flow cytometry: suitable, immunocytochemistry: suitable, immunohistochemistry (formalin-fixed, paraffin-embedded sections): suitable, western blot: suitable

isotype

IgG

epitope sequence

C-terminal half

Protein ID accession no.

UniProt accession no.

greener alternative category

shipped in

ambient

storage temp.

2-8°C

target post-translational modification

unmodified

General description

T-cell-specific surface glycoprotein CD28 (UniProt: P10747; also known as TP44, CD28) is encoded by the CD28 gene (Gene ID: 940) in human. CD28 is a single-pass type I membrane glycoprotein that is synthesized with a signal peptide (aa 1-18), which is subsequently cleaved off to generate the mature form that contains an extracellular domain (aa 19-152), a transmembrane domain (aa 152-179), and a cytoplasmic domain (aa 180-220). It is mainly expressed on T lineage cells, including thymocytes, but may also be found on plasmablasts. It is reported to be constitutively expressed on both resting and activated T cells, on almost all CD4+ and on at least half of CD8+ T cells in humans. It is involved in T cell activation, proliferation, survival, and cytokine production. It reduces the threshold of TCR triggering required for T cell activation. CD28 signaling transduces a positive signal that promotes proliferation of TCR-stimulated T cells. It is shown to cause the initial activation of naïve CD4 T cells by increasing the sensitivity of T cells to antigen receptor engagement. It also enhances the production of IL-4 and IL-10 in T-cells in conjunction with TCR/CD3 ligation and CD40L co-stimulation. Upon activation of mature T cells, either by mitogens or by cross-linking of the TCR, the expression of CD28 is shown to increase. Ligation of CD3 and CD28 (CD3/28 co-stimulation) is shown to promote increase in glucose metabolism, increased cytokine/chemokine expression, elevate IL-2 production, and induce resistance to apoptosis. This ZooMAb® recombinant monoclonal antibody, generated by our propriety technology, offers significantly enhanced specificity, affinity, reproducibility, and stability over conventional monoclonals. (Ref.: Riley, JL., and June, CH. (2005). Blood. 105(1); 13-21).
We are committed to bringing you greener alternative products, which adhere to one or more of The 12 Principles of Green Chemistry.This antibody is Preservative-free, produced without the harm or sacrifice of animals and exceptionally stable to allow for ambient shipping and storage if needed and thus aligns with "Waste Prevention", "Designing Safer Chemicals" and "Design for Energy Efficiency". Click here for more information.
ZooMAb® antibodies represent an entirely new generation of recombinant monoclonal antibodies.Each ZooMAb® antibody is manufactured using our proprietary recombinant expression system, purified to homogeneity, and precisely dispensed to produce robust and highly reproducible lot-to-lot consistency. Only top-performing clones are released for use by researchers. Each antibody is validated for high specificity and affinity across multiple applications, including its most commonly used application. ZooMAb® antibodies are reliably available and ready to ship when you need them.

Immunogen

KLH-conjugated linear peptide corresponding to 15 amino acids from the extracellular domain of human CD28.

Application

Quality Control Testing

Evaluated by Western Blotting in Human tonsil tissue lsyate.

Western Blotting Analysis: A 1:2,000 dilution of this antibody detected CD28 in Human tonsil tissue lysate.

Tested applications

Immunocytochemistry Analysis: A 1:40 dilution from a representative lot detected CD28 in Jurkat cells.

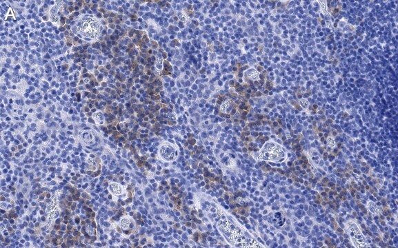
Immunohistochemistry (Paraffin) Analysis: A 1:100 dilution from a representative lot detected CD28 in human tonsil tissue sections.

Flow Cytometry Analysis: 1 μg from a representative lot detected CD28 in one million human peripheral blood mononuclear cells (PBMC).

Note: Actual optimal working dilutions must be determined by end user as specimens, and experimental conditions may vary with the end user
Anti-CD28, clone 2N15 ZooMAb®, Cat. No. ZRB1298, is a recombinant Rabbit monoclonal antibody that detects CD28 and is tested for use in Flow Cytometry, Immunocytochemistry, Immunohistochemistry (Paraffin), and Western Blotting.

Biochem/physiol Actions

Clone 2N15 is a ZooMAb® Rabbit recombinant monoclonal antibody that specifically detects CD28. It targets an epitope within 15 amino acids from the extracellular domain.

Physical form

Purified recombinant rabbit monoclonal antibody IgG, lyophilized in PBS with 5% Trehalose, normal appearance a coarse or translucent resin. The PBS/trehalose components in the ZooMAb® formulation can have the appearance of a semi-solid (bead like gel) after lyophilization. This is a normal phenomenon. Please follow the recommended reconstitution procedure in the data sheet to dissolve the semi-solid, bead-like, gel-appearing material. The resulting antibody solution is completely stable and functional as proven by full functional testing. Contains no biocide or preservatives, such as azide, or any animal by-products. Larger pack sizes provided as multiples of 25 μL.

Preparation Note

Recommend storage of lyophilized product at 2-8°C; Before reconstitution, micro-centrifuge vials briefly to spin down material to bottom of the vial; Reconstitute each vial by adding 25 μL of filtered lab grade water or PBS; Reconstituted antibodies can be stored at 2-8°C, or -20°C for long term storage. Avoid repeated freeze-thaws.
Reconstitute lyophilized antibody pellet with 25μL of ultrapure water or Phosphate Buffered Saline (PBS). Please refer to our reconstitution protocol and the specific application guidance on the suggested starting dilutions and sample type.

Legal Information

ZooMAb is a registered trademark of Merck KGaA, Darmstadt, Germany

Disclaimer

Unless otherwise stated in our catalog or other company documentation accompanying the product(s), our products are intended for research use only and are not to be used for any other purpose, which includes but is not limited to, unauthorized commercial uses, in vitro diagnostic uses, ex vivo or in vivo therapeutic uses or any type of consumption or application to humans or animals.


Still not finding the right product?

Try our Product Selector Tool to narrow your options


wgk

WGK 1

Storage Class

11 - Combustible Solids

flash_point_f

Not applicable

flash_point_c

Not applicable

Regulatory Information

常规特殊物品

This item has



Choose from one of the most recent versions:

Certificates of Analysis (COA)

Lot/Batch Number

Don't see the Right Version?

If you require a particular version, you can look up a specific certificate by the Lot or Batch number.

Already Own This Product?

Find documentation for the products that you have recently purchased in the Document Library.

Visit the Document Library


Articles

Learn about the hallmarks of cancer and find reliable ZooMAb® recombinant antibodies to study them, conveniently organized by cancer hallmark.





Global Trade Item Number

SKUGTIN
ZRB1298-25UL04065266779448
ZRB1298-4X25UL04065266779455