Skip to Content
Merck
CN

ZRB1365

Anti-Synaptophysin Antibody, clone 2B21, ZooMAb® Rabbit Monoclonal

greener alternative

recombinant, expressed in HEK 293 cells

Synonym(s):

Major synaptic vesicle protein p38

Sign In to View Organizational & Contract Pricing.

Select a Size

Change View

About This Item

NACRES:
NA.43
UNSPSC Code:
12352203
Conjugate:
unconjugated
Clone:
2B21, monoclonal, recombinant monoclonal
Application:
ICC, IHC (p), WB
Citations:
1
Technical Service
Need help? Our team of experienced scientists is here for you.
Let Us Assist


biological source

rabbit (recombinant)

Quality Level

recombinant

expressed in HEK 293 cells

conjugate

unconjugated

antibody form

purified antibody

antibody product type

primary antibodies

clone

2B21, monoclonal, recombinant monoclonal

product line

ZooMAb® learn more

form

lyophilized

mol wt

calculated mol wt 33.31 kDa, observed mol wt ~34 kDa

species reactivity

rat, human

packaging

antibody small pack of 25 μL

greener alternative product characteristics

Waste Prevention
Designing Safer Chemicals
Design for Energy Efficiency
Learn more about the Principles of Green Chemistry.

enhanced validation

recombinant expression
Learn more about Antibody Enhanced Validation

sustainability

Greener Alternative Product

technique(s)

immunocytochemistry: suitable, immunohistochemistry (formalin-fixed, paraffin-embedded sections): suitable, western blot: suitable

isotype

IgG

UniProt accession no.

greener alternative category

shipped in

ambient

storage temp.

2-8°C

target post-translational modification

unmodified

Gene Information

human ... SYP(6855)

General description

Synaptophysin (UniProt: P07825; also known as Major synaptic vesicle protein p38) is encoded by the Syp gene (Gene ID: 24804) in rat. Synaptophysin belongs to the synaptophysin/synaptobrevin family of proteins. It is one of the major glycoproteins present in presynaptic vesicles and in various neuroendocrine cells of both neuronal and epithelial phenotype. Its structure consists of a hexameric protein of four transmembrane spans with a short cytoplasmic amino- and a long carboxy-terminal tail. Both amino- and carboxy-terminals are exposed on the cytoplasmic surface of the synaptic vesicle membrane. The C-terminal domain of Synaptophysin is required for endocytosis during, but not after, cessation of sustained synaptic transmission. Synaptophysin is involved in organizing membrane components and may regulate endocytosis to ensure vesicle availability following sustained neuronal activity. It is also involved in the regulation of short-term and long-term synaptic plasticity. Syp/neurons display functional deficiencies and slower recovery of the recycling synaptic vesicle pool. This ZooMAb recombinant monoclonal antibody, generated by our propriety technology, offers significantly enhanced specificity, affinity, reproducibility, and stability over conventional monoclonals. (Ref.: Kwon, SE., and Chapman, ER (2011). Neuron. 70(5); 847- 854).
We are committed to bringing you greener alternative products, which adhere to one or more of The 12 Principles of Green Chemistry.This antibody is Preservative-free, produced without the harm or sacrifice of animals and exceptionally stable to allow for ambient shipping and storage if needed and thus aligns with "Waste Prevention", "Designing Safer Chemicals" and "Design for Energy Efficiency". Click here for more information.
ZooMAb antibodies represent an entirely new generation of recombinant monoclonal antibodies.

Each ZooMAb antibody is manufactured using our proprietary recombinant expression system, purified to homogeneity, and precisely dispensed to produce robust and highly reproducible lot-to-lot consistency. Only top-performing clones are released for use by researchers. Each antibody is validated for high specificity and affinity across multiple applications, including its most commonly used application. ZooMAb antibodies are reliably available and ready to ship when you need them.

Learn more about ZooMAb here.

Immunogen

GST/His-tagged recombinant fragment corresponding to 86 amino acids from the C-terminal region of rat Synaptophysin.

Application

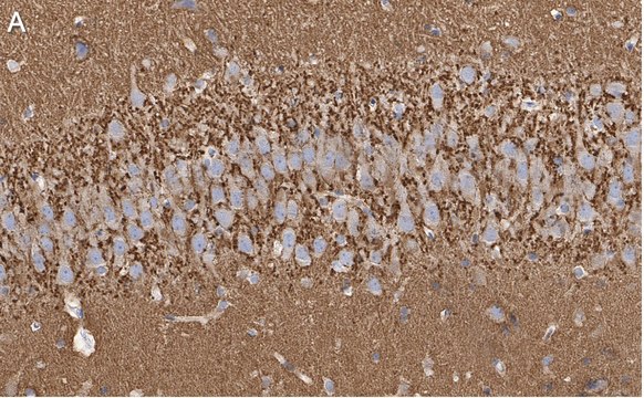
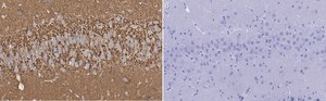
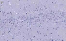
Anti-Synaptophysin, clone 2B21 ZooMAb, Cat. No. ZRB1365, a recombinant Rabbit monoclonal antibody that targets Synaptophysin and is tested in Immunocytochemistry, and Immunohistochemistry (Paraffin), and Western Blotting.
Western Blotting Analysis: A 1:1,000 dilution from a representative lot detected Synaptophysin in rat brain tissue lysate.

Immunohistochemistry (Paraffin) Analysis: A 1:100 dilution from a representative lot detected Synaptophysin in rat brain tissue sections.

Immunocytochemistry Analysis: A 1:100 dilution from a representative lot detected Synaptophysin in PC12 cells.

Note: Actual optimal working dilutions must be determined by end user as specimens, and experimental conditions may vary with the end user.

Biochem/physiol Actions

Clone 2B21 is a ZooMAb rabbit recombinant monoclonal antibody that specifically detects Synaptophysin. It targets an epitope within 86 amino acids from the C-terminal region. It does not react with human Synaptophysin.

Physical form

Purified recombinant rabbit monoclonal antibody IgG, lyophilized in PBS with 5% Trehalose, normal appearance a coarse or translucent resin. Contains no biocide or preservatives, such as azide, or any animal by-products. Larger pack sizes provided as multiples of 25 μL.

Preparation Note

Recommend storage of lyophilized product at 2-8°C; Before reconstitution, micro-centrifuge vials briefly to spin down material to bottom of the vial; Reconstitute each vial by adding 25 μL of filtered lab grade water or PBS; Reconstituted antibodies can be stored at 2-8°C, or -20°C for long term storage. Avoid repeated freeze-thaws.
Reconstitute lyophilized antibody pellet with 25μL of ultrapure water or Phosphate Buffered Saline (PBS). Please refer to our reconstitution protocol and the specific application guidance on the suggested starting dilutions and sample type.

Legal Information

ZooMAb is a registered trademark of Merck KGaA, Darmstadt, Germany

Disclaimer

Unless otherwise stated in our catalog or other company documentation accompanying the product(s), our products are intended for research use only and are not to be used for any other purpose, which includes but is not limited to, unauthorized commercial uses, in vitro diagnostic uses, ex vivo or in vivo therapeutic uses or any type of consumption or application to humans or animals.


Still not finding the right product?

Try our Product Selector Tool to narrow your options


Storage Class

11 - Combustible Solids

wgk

WGK 1

Regulatory Information

常规特殊物品

This item has



Choose from one of the most recent versions:

Certificates of Analysis (COA)

Lot/Batch Number

Don't see the Right Version?

If you require a particular version, you can look up a specific certificate by the Lot or Batch number.

Already Own This Product?

Find documentation for the products that you have recently purchased in the Document Library.

Visit the Document Library



Mian Wang et al.
Nature communications, 13(1), 3317-3317 (2022-06-11)
Digital light processing bioprinting favors biofabrication of tissues with improved structural complexity. However, soft-tissue fabrication with this method remains a challenge to balance the physical performances of the bioinks for high-fidelity bioprinting and suitable microenvironments for the encapsulated cells to



Global Trade Item Number

SKUGTIN
ZRB1365-4X25UL04061841366881
ZRB1365-25UL04061841366874