General description
DNA-directed RNA polymerase II subunit RPB1 (UniProt: P24928; also known as EC:2.7.7.6; RNA polymerase II subunit B1, DNA-directed RNA polymerase II subunit A, DNA-directed RNA polymerase III largest subunit, RNA-directed RNA polymerase II subunit RPB1) is encoded by the POLR2A (also known as POLR2) gene (Gene ID: 5430) in human. (see MABE1793). It is the largest and catalytic component of RNA polymerase II that catalyzes the transcription of DNA into RNA using the four ribonucleoside triphosphates as substrates. It has multiple Zinc and magnesium ion binding sites. The binding of ribonucleoside triphosphate to the RNA polymerase II transcribing complex involves a two-step mechanism. The initial binding seems to occur at the entry (E) site and involves a magnesium ion temporarily coordinated by three conserved aspartate residues of the two largest RNA Pol II subunits. The ribonucleoside triphosphate is transferred by a rotation to the nucleotide addition (A) site for pairing with the template DNA. The catalytic A site involves three conserved aspartate residues of the RNA Pol II largest subunit which permanently coordinate a second magnesium ion. POLR2A is localized to cytoplasm in its hypo-phosphorylated form and the active hyper-phosphorylated form is located mainly in the nucleus. The tandem heptapeptide repeats (Tyr1-Ser2-Pro3-Thr4-Ser5-Pro6-Ser7) in its C-terminal domain (CTD) can be highly phosphorylated and regulates transcription coupled processes. Phosphorylation is shown to occur mainly at serine 2 and serine 5 residues of the heptapeptide repeat and is mediated by CDK7 and CDK9. Phosphorylation can also take place at serine 7 of the heptapeptide repeat, which is required for efficient transcription of snRNA genes and processing of the transcripts. Its C-terminal domain (aa 1593-1960) serves as a platform for assembly of factors that regulate transcription initiation, elongation, termination and mRNA processing. The K7-residues in non-consensus repeats of human RNAPII are modified by acetylation, or mono-, di-, and trimethylation. Acetylation of K7, and di- and tri-methylation of K7 are found exclusively associated with phosphorylated CTD peptides. Monomethylated K7 is found in non-phosphorylated CTD. Clone 3G21 targets both phosphorylated and non-phosphorylated YSPTSPS repeats in the C-terminal region. Q403K or L438H mutations in POLR2A are reported to hijack RNA polymerase II and drive neoplasia and POLR2A mutant tumors display dysregulation of key meningeal identity genes, including WNT6 and ZIC1/ZIC4. This ZooMAb® recombinant monoclonal antibody, generated by our propriety technology, offers significantly enhanced specificity, affinity, reproducibility, and stability over conventional monoclonals. (Ref.: Voss, K., et al. (2015). Transcription 6(5); 91-101; Clark, VE., et al. (2016). Nat. Gen. 48(10); 1253 1259).
We are committed to bringing you greener alternative products, which adhere to one or more of The 12 Principles of Green Chemistry.This antibody is Preservative-free, produced without the harm or sacrifice of animals and exceptionally stable to allow for ambient shipping and storage if needed and thus aligns with "Waste Prevention", "Designing Safer Chemicals" and "Design for Energy Efficiency".
Click here for more information.
ZooMAb antibodies represent an entirely new generation of recombinant monoclonal antibodies.
Each ZooMAb antibody is manufactured using our proprietary recombinant expression system, purified to homogeneity, and precisely dispensed to produce robust and highly reproducible lot-to-lot consistency. Only top-performing clones are released for use by researchers. Each antibody is validated for high specificity and affinity across multiple applications, including its most commonly used application. ZooMAb antibodies are reliably available and ready to ship when you need them.
Learn more about ZooMAb here.Immunogen
Three repeats of YSPTSPS, phosphorylated at S5.
Application
Anti-POLR2A, clone 3G21 ZooMAb, Cat. No. ZRB1409, is a recombinant Rabbit monoclonal antibody that targets DNA-directed RNA Polymerase II and is tested in Immunocytochemistry, Immunohistochemistry, and Western Blotting.
Western Blotting Analysis: A 1:1,000 dilution from a representative lot detected POLR2A in HeLa, PC12, and NIH/3T3 cell lysates.
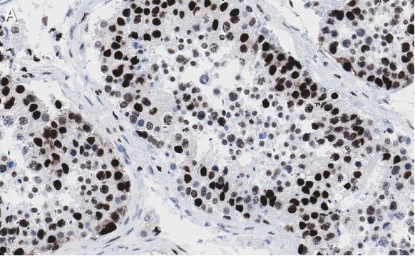
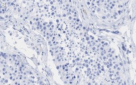
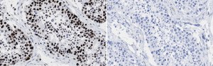
Immunohistochemistry (Paraffin) Analysis: A 1:100 dilution from a representative lot detected POLR2A in human testis tissue sections.
Immunocytochemistry Analysis: A 1:100 dilution from a representative lot detected POLR2A in HeLa, A431, HUVEC and NIH 3T3 cell lines.
Note: Actual optimal working dilutions must be determined by end user as specimens, and experimental conditions may vary with the end user.
Biochem/physiol Actions
Clone 3G21 is a ZooMAb rabbit recombinant monoclonal antibody that specifically detects DNA-directed RNA polymerase II subunit A (POLR2A). It targets phosphorylated and non-phosphorylated YSPTSPS repeats in the C-terminal region.
Physical form
Purified recombinant rabbit monoclonal antibody IgG, lyophilized in PBS with 5% Trehalose, normal appearance a coarse or translucent resin. Contains no biocide or preservatives, such as azide, or any animal by-products. Larger pack sizes provided as multiples of 25 μL.
Preparation Note
Recommended storage of lyophilized product at 2-8°C; Before reconstitution, micro-centrifuge vials briefly to spin down material to bottom of the vial; Reconstitute each vial by adding 25 μL of filtered lab grade water or PBS; Reconstituted antibodies can be stored at 2-8°C, or -20°C for long term storage. Avoid repeated freeze-thaws.
Reconstitute lyophilized antibody pellet with 25μL of ultrapure water or Phosphate Buffered Saline (PBS). Please refer to our
reconstitution protocol and the specific application guidance on the suggested starting dilutions and sample type.
Legal Information
ZooMAb is a registered trademark of Merck KGaA, Darmstadt, Germany
Disclaimer
Unless otherwise stated in our catalog or other company documentation accompanying the product(s), our products are intended for research use only and are not to be used for any other purpose, which includes but is not limited to, unauthorized commercial uses, in vitro diagnostic uses, ex vivo or in vivo therapeutic uses or any type of consumption or application to humans or animals.