Skip to Content
Merck
CN

ZRB1418

Anti-p38α/SAPK2A Antibody, clone 1O11 ZooMAb® Rabbit Monoclonal

greener alternative

recombinant, expressed in HEK 293 cells

Sign In to View Organizational & Contract Pricing.

Select a Size

Change View

About This Item

NACRES:
NA.41
UNSPSC Code:
12352203
Conjugate:
unconjugated
Clone:
1O11, recombinant monoclonal
Application:
IHC (p), WB, affinity binding assay
Citations:
-
Technical Service
Need help? Our team of experienced scientists is here for you.
Let Us Assist


biological source

rabbit

Quality Level

recombinant

expressed in HEK 293 cells

conjugate

unconjugated

antibody form

purified antibody

antibody product type

primary antibodies

clone

1O11, recombinant monoclonal

description

recombinant, expressed in HEK 293 cells

product line

ZooMAb® learn more

form

lyophilized

mol wt

calculated mol wt 41.29 kDa, observed mol wt ~39 kDa

species reactivity

mouse, human, rat

species reactivity (predicted by homology)

monkey

packaging

antibody small pack of 25 μL

greener alternative product characteristics

Waste Prevention
Designing Safer Chemicals
Design for Energy Efficiency
Learn more about the Principles of Green Chemistry.

enhanced validation

recombinant expression
Learn more about Antibody Enhanced Validation

sustainability

Greener Alternative Product

technique(s)

affinity binding assay: suitable, immunohistochemistry (formalin-fixed, paraffin-embedded sections): suitable, western blot: suitable

isotype

IgG

epitope sequence

C-terminal

Protein ID accession no.

UniProt accession no.

greener alternative category

shipped in

ambient

storage temp.

2-8°C

target post-translational modification

unmodified

General description

Mitogen-activated protein kinase 14 (UniProt: Q16539; EC:2.7.11.24; also known as MAP kinase 14, MAPK 14, Cytokine suppressive anti-inflammatory drug-binding protein, CSAID-binding protein, CSBP, MAP kinase MXI2, MAX-interacting protein 2, Mitogen-activated protein kinase p38 alpha, MAP kinase p38 alpha, Stress-activated protein kinase 2a, SAPK2a) is encoded by the MAPK14 (also known as CSBP, CSBP1, CSBP2, CSPB1, MXI2, SAPK2A) gene (Gene ID: 1432) in human. p38 MAPKs phosphorylate a broad range of proteins and some of the targets are downstream kinases which are activated through phosphorylation and further phosphorylate additional targets. p38 is a serine/threonine kinase that acts as an essential component of the MAP kinase signal transduction pathway. It is activated by cell stresses such as DNA damage, heat shock, osmotic shock, and by pro-inflammatory stimuli. Activation of p38 occurs through dual phosphorylation of Thr-180 and Tyr-182 by either of two dual specificity kinases, MAP2K3/MKK3 or MAP2K6/MKK6. The dual phosphorylated form is about 10 to 20-fold more active than p38 phosphorylated only on Thr-180, whereas MAPK14 phosphorylated on Tyr-182 alone is inactive. Phosphorylation of p38 at Tyr-323 by ZAP70 in shown to be an alternative activation pathway in response to TCR signaling in T-cells. p38 undergoes acetylation at Lys-53 and Lys-152 by KAT2B and EP300. Acetylation at Lys-53 is shown to increases its affinity for ATP and enhances its kinase activity. This ZooMAb® recombinant monoclonal antibody, generated by our propriety technology, offers significantly enhanced specificity, affinity, reproducibility, and stability over conventional monoclonals.
We are committed to bringing you greener alternative products, which adhere to one or more of The 12 Principles of Green Chemistry.This antibody is Preservative-free, produced without the harm or sacrifice of animals and exceptionally stable to allow for ambient shipping and storage if needed and thus aligns with "Waste Prevention", "Designing Safer Chemicals" and "Design for Energy Efficiency". Click here for more information.
ZooMAb® antibodies represent an entirely new generation of recombinant monoclonal antibodies.

Each ZooMAb® antibody is manufactured using our proprietary recombinant expression system, purified to homogeneity, and precisely dispensed to produce robust and highly reproducible lot-to-lot consistency. Only top-performing clones are released for use by researchers. Each antibody is validated for high specificity and affinity across multiple applications, including its most commonly used application. ZooMAb® antibodies are reliably available and ready to ship when you need them.

Learn more about ZooMAb here.

Immunogen

KLH-conjugated linear peptide corresponding to 19 amino acids from the C-terminal region of human p38 /SAPK2A.

Application

Quality Control Testing

Evaluated by Western Blotting in HeLa cell lysate.

Western Blotting Analysis: A 1:10,000 dilution of this antibody detected p38 /SAPK2A in HeLa cell lysate.

Tested applications

Western Blotting Analysis: A 1:10,000 dilution from a representative lot detected p38 /SAPK2A in C6, U2OS, A431, and NIH3T3 lysates.

Affinity Binding Assay: A representative lot of this antibody bound p38 /SAPK2A with a KD of 2.7 x 10-8 in an affinity binding assay.

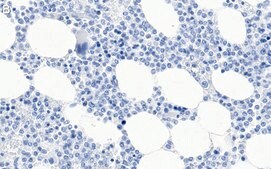
Immunohistochemistry (Paraffin) Analysis: A 1:100 dilution from a representative lot detected p38 /SAPK2A in human bone marrow tissue sections.

Note: Actual optimal working dilutions must be determined by end user as specimens, and experimental conditions may vary with the end user
Anti-p38 /SAPK2A, clone 1O11 ZooMAb®, Cat. No. ZRB1418, is a recombinant Rabbit monoclonal antibody that specifically detects p38 /SAPK2A and is tested for use in Affinity Binding Assay, Immunohistochemistry (Paraffin) , and Western Blotting.

Biochem/physiol Actions

Clone 1O11 is a ZooMAb® rabbit recombinant monoclonal antibody that specifically detects p38 /SAPK2A. It targets an epitope within 19 amino acids from the C-terminal region.

Physical form

Purified recombinant rabbit monoclonal antibody IgG, lyophilized in PBS, 5% Trehalose, normal appearance a coarse or translucent resin. The PBS/trehalose components in the ZooMAb formulation can have the appearance of a semi-solid (bead like gel) after lyophilization. This is a normal phenomenon. Please follow the recommended reconstitution procedure in the data sheet to dissolve the semi-solid, bead-like, gel-appearing material. The resulting antibody solution is completely stable and functional as proven by full functional testing. Contains no biocide or preservatives, such as azide, or any animal by-products. Larger pack sizes provided as multiples of 25 μL.

Preparation Note

Recommend storage of lyophilized product at 2-8°C; Before reconstitution, micro-centrifuge vials briefly to spin down material to bottom of the vial; Reconstitute each vial by adding 25 μL of filtered lab grade water or PBS; Reconstituted antibodies can be stored at 2-8°C, or -20°C for long term storage. Avoid repeated freeze-thaws.
Reconstitute lyophilized antibody pellet with 25μL of ultrapure water or Phosphate Buffered Saline (PBS). Please refer to our reconstitution protocol and the specific application guidance on the suggested starting dilutions and sample type.

Legal Information

ZooMAb is a registered trademark of Merck KGaA, Darmstadt, Germany

Disclaimer

Unless otherwise stated in our catalog or other company documentation accompanying the product(s), our products are intended for research use only and are not to be used for any other purpose, which includes but is not limited to, unauthorized commercial uses, in vitro diagnostic uses, ex vivo or in vivo therapeutic uses or any type of consumption or application to humans or animals.


Still not finding the right product?

Try our Product Selector Tool to narrow your options


Storage Class

11 - Combustible Solids

wgk

WGK 1

flash_point_f

Not applicable

flash_point_c

Not applicable

Regulatory Information

常规特殊物品

This item has



Choose from one of the most recent versions:

Certificates of Analysis (COA)

Lot/Batch Number

Don't see the Right Version?

If you require a particular version, you can look up a specific certificate by the Lot or Batch number.

Already Own This Product?

Find documentation for the products that you have recently purchased in the Document Library.

Visit the Document Library



Global Trade Item Number

SKUGTIN
ZRB1418-4X25UL04065266125795
ZRB1418-25UL04065266125788