General description
Serine/threonine-protein kinase ULK2 (UniProt: Q8IYT8; also known as EC:2.7.11.1, Unc-51-like kinase 2) is encoded by the ULK2 (also known as KIAA0623) gene (Gene ID: 9706) in human. ULK2 is a peripheral membrane protein that localizes to pre-autophagosomal membrane. ULK2 is a serine/threonine kinase that is ubiquitously expressed and is involved in autophagy in response to starvation in mammalian cells. Its protein kinase domain is localized in amino acids 9-271. Its C-terminal domain (aa 812-1036) mediates its membrane-binding and incorporation into large protein complexes. It acts upstream of PI3-kinase (PIK3C3) to regulate the formation of autophagophores. It acts both as a downstream effector and a negative regulator of mTORC1 via interaction with Raptor. It is activated via phosphorylation by AMPK and also acts as a negative regulator of AMPK through phosphorylation of the AMPK subunits PRKAA1, PRKAB2 and PRKAG1. Despite its similarity with ULK1 in its enzymatic domain, there are major differences in their autophagy-related interactors and their post-translational and transcriptional regulators. It has been shown that following amino acid starvation, in contrast to ULK1, binding of ULK2 to membranes is increased. Although ULK2 does not have any recognizable short, basic, classic import or export sequences, it contains PY-NLS sequences that contribute to its nuclear localization. ULK2 can also undergo phosphorylation on serine 507 and 750 that promote its nuclear localization and autophagy activity. In case of activation of SGK1 by insulin, ULK2 autophagy is inhibited through serine 507 and 750 phosphorylation. This ZooMAb® recombinant monoclonal antibody, generated by our propriety technology, offers significantly enhanced specificity, affinity, reproducibility, and stability over conventional monoclonals. (Ref.: Demeter, A., et al. (2020). Sci. Rep.10; Article 10940; Shin, SH., et al. (2020). Am. J. Mol. Biol. 10(1); 12-28).
We are committed to bringing you greener alternative products, which adhere to one or more of The 12 Principles of Green Chemistry.This antibody is Preservative-free, produced without the harm or sacrifice of animals and exceptionally stable to allow for ambient shipping and storage if needed and thus aligns with "Waste Prevention", "Designing Safer Chemicals" and "Design for Energy Efficiency".
Click here for more information.
ZooMAb® antibodies represent an entirely new generation of recombinant monoclonal antibodies.Each ZooMAb® antibody is manufactured using our proprietary recombinant expression system, purified to homogeneity, and precisely dispensed to produce robust and highly reproducible lot-to-lot consistency. Only top-performing clones are released for use by researchers. Each antibody is validated for high specificity and affinity across multiple applications, including its most commonly used application. ZooMAb® antibodies are reliably available and ready to ship when you need them.
Immunogen
KLH-conjugated linear peptide corresponding to 18 amino acids from the Internal region of human ULK2.
Application
Quality Control Testing
Evaluated by Western Blotting in L6 cell lysate.
Western Blotting Analysis: A 1:1,000 dilution of this antibody detected ULK2 in L6 cell lysate.
Tested applications
Western Blotting Analysis: A 1:1,000 dilution from a representative lot detected ULK2 in lysates from human kidney tissue and SH-SY5Y cells.
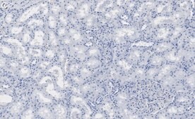
Immunohistochemistry (Paraffin) Analysis: A 1:100 dilution from a representative lot detected ULK2 in human kidney tissue sections.
Immunocytochemistry Analysis: A 1:100 dilution from a representative lot detected ULK2 in A431, HeLa, and HepG2 cells.
Affinity Binding Assay: A representative lot of this antibody bound ULK2 with a KD of 1.6 x 10-8 in an affinity binding assay.
Note: Actual optimal working dilutions must be determined by end user as specimens, and experimental conditions may vary with the end user
Biochem/physiol Actions
Clone 3E19 is a Rabbit recombinant monoclonal antibody that specifically detects ULK2. It targets an epitope within 18 amino acids from the internal region.
Physical form
Purified recombinant rabbit monoclonal antibody IgG, lyophilized in PBS, 5% Trehalose, normal appearance a coarse or translucent resin. The PBS/trehalose components in the ZooMAb formulation can have the appearance of a semi-solid (bead like gel) after lyophilization. This is a normal phenomenon. Please follow the recommended reconstitution procedure in the data sheet to dissolve the semi-solid, bead-like, gel-appearing material. The resulting antibody solution is completely stable and functional as proven by full functional testing. Contains no biocide or preservatives, such as azide, or any animal by-products. Larger pack sizes provided as multiples of 25 μL.
Preparation Note
Recommend storage of lyophilized product at 2-8°C; Before reconstitution, micro-centrifuge vials briefly to spin down material to bottom of the vial; Reconstitute each vial by adding 25 μL of filtered lab grade water or PBS; Reconstituted antibodies can be stored at 2-8°C, or -20°C for long term storage. Avoid repeated freeze-thaws.
Reconstitute lyophilized antibody pellet with 25μL of ultrapure water or Phosphate Buffered Saline (PBS). Please refer to our
reconstitution protocol and the specific application guidance on the suggested starting dilutions and sample type.
Legal Information
ZooMAb is a registered trademark of Merck KGaA, Darmstadt, Germany
Disclaimer
Unless otherwise stated in our catalog or other company documentation accompanying the product(s), our products are intended for research use only and are not to be used for any other purpose, which includes but is not limited to, unauthorized commercial uses, in vitro diagnostic uses, ex vivo or in vivo therapeutic uses or any type of consumption or application to humans or animals.