Skip to Content
Merck
CN

ZRB1484

Anti-ACC1 Antibody, clone 1J8 ZooMAb® Rabbit Monoclonal

greener alternative

recombinant, expressed in HEK 293 cells

Sign In to View Organizational & Contract Pricing.

Select a Size

Change View

About This Item

NACRES:
NA.41
UNSPSC Code:
12352203
Conjugate:
unconjugated
Clone:
1J8, recombinant monoclonal
Application:
IHC (p), WB, affinity binding assay
Citations:
-
Technical Service
Need help? Our team of experienced scientists is here for you.
Let Us Assist


biological source

rabbit

Quality Level

recombinant

expressed in HEK 293 cells

conjugate

unconjugated

antibody form

purified antibody

antibody product type

primary antibodies

clone

1J8, recombinant monoclonal

description

recombinant, expressed in HEK 293 cells

product line

ZooMAb® learn more

form

lyophilized

mol wt

calculated mol wt 265.55 kDa, observed mol wt ~260 kDa

purified by

using Protein A

species reactivity

human, mouse

species reactivity (predicted by homology)

monkey

packaging

antibody small pack of 25 μL

greener alternative product characteristics

Waste Prevention
Designing Safer Chemicals
Design for Energy Efficiency
Learn more about the Principles of Green Chemistry.

enhanced validation

recombinant expression
Learn more about Antibody Enhanced Validation

sustainability

Greener Alternative Product

technique(s)

affinity binding assay: suitable, immunohistochemistry (formalin-fixed, paraffin-embedded sections): suitable, western blot: suitable

isotype

IgG

epitope sequence

C-terminal

Protein ID accession no.

UniProt accession no.

greener alternative category

shipped in

ambient

storage temp.

2-8°C

target post-translational modification

unmodified

General description

Acetyl-CoA carboxylase 1 (UniProt: Q13085; also known as ACC1, Acetyl-Coenzyme A carboxylase alpha, ACC-alpha) is encoded by the ACACA (also known as ACAC, ACC1, ACCA) gene (Gene ID: 31) in human. Acetyl-CoA carboxylase 1 (ACC1) is a multi-subunit, biotin-dependent cytosolic enzyme that catalyzes carboxylation of acetyl-CoA to produce malonyl-CoA through its two catalytic activities, biotin carboxylase (BC) and carboxyltransferase (CT). The activity of ACC can be controlled at the transcriptional level as well as by small molecule modulators and covalent modification. Two isoforms of ACC have been reported, alpha and beta that are encoded by two different genes. ACC1 is highly enriched in lipogenic tissues. Its expression is observed in brain, placenta, skeletal muscle, pancreas, and adipose tissue. It is not detected in the liver. Its levels are regulated under long term control at the transcriptional and translational levels and under short term regulation by the phosphorylation/dephosphorylation of targeted serine residues and by allosteric transformation by citrate or palmitoyl-CoA. ACC1 activity is inhibited upon phosphorylation, which occurs when glucagon or epinephrine binds to the receptors or when the energy status of the cell is low, leading to the activation of the AMP-activated protein kinase. The presence of fatty acids inhibits the activities of ACC1. ACC is considered as an important target in the design of new anti-obesity drugs. This ZooMAb® recombinant monoclonal antibody, generated by our propriety technology, offers significantly enhanced specificity, affinity, reproducibility, and stability over conventional monoclonals.
We are committed to bringing you greener alternative products, which adhere to one or more of The 12 Principles of Green Chemistry.This antibody is Preservative-free, produced without the harm or sacrifice of animals and exceptionally stable to allow for ambient shipping and storage if needed and thus aligns with "Waste Prevention", "Designing Safer Chemicals" and "Design for Energy Efficiency". Click here for more information.
ZooMAb® antibodies represent an entirely new generation of recombinant monoclonal antibodies.Each ZooMAb® antibody is manufactured using our proprietary recombinant expression system, purified to homogeneity, and precisely dispensed to produce robust and highly reproducible lot-to-lot consistency. Only top-performing clones are released for use by researchers. Each antibody is validated for high specificity and affinity across multiple applications, including its most commonly used application. ZooMAb® antibodies are reliably available and ready to ship when you need them.

Immunogen

KLH-conjugated linear peptide corresponding to 19 amino acids from the C-terminal region of human Acetyl-CoA carboxylase 1 (ACC1).

Application

Quality Control Testing

Evaluated by Western Blotting in A431 cell lysate.

Western Blotting Analysis: A 1:1,000 dilution of this antibody detected ACC1 in A431 cell lysate.

Tested applications

Western Blotting Analysis: A 1:1,000 dilution from a representative lot detected ACC1 in HepG2 and C2C12 cell lysates.

Affinity Binding Assay:A representative lot of this antibody bound Acetyl-CoA carboxylase 1 (ACC1) with a KD of 2.0 x 10-8 in an affinity binding assay.

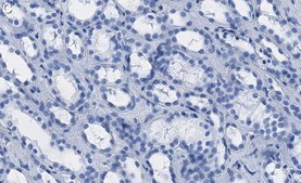
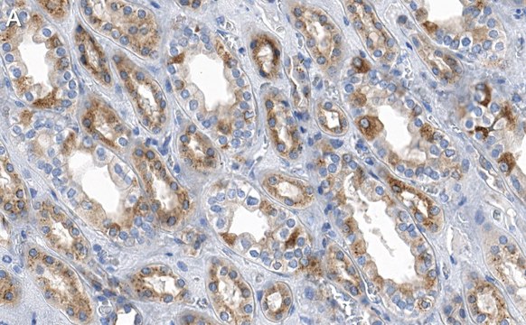
Immunohistochemistry (Paraffin) Analysis: A 1:100 dilution from a representative lot detected ACC1 in human kidney tissue sections.

Note: Actual optimal working dilutions must be determined by end user as specimens, and experimental conditions may vary with the end user
Anti-ACC1, clone 1J8 ZooMAb®, Cat. No. ZRB1484, is a recombinant Rabbit monoclonal antibody that targets Acetyl-CoA carboxylase 1 (ACC1) and is tested for use in Affinity Binding Assay, Immunohistochemistry (Paraffin), and Western Blotting.

Biochem/physiol Actions

Clone 1J8 is a ZooMAb® Rabbit recombinant monoclonal antibody that specifically detects Acetyl-CoA carboxylase 1 (ACC1). It targets an epitope within 19 amino acids from the C-terminal region.

Physical form

Purified recombinant rabbit monoclonal antibody IgG, lyophilized in PBS with 5% Trehalose, normal appearance a coarse or translucent resin. The PBS/trehalose components in the ZooMAb® formulation can have the appearance of a semi-solid (bead like gel) after lyophilization. This is a normal phenomenon. Please follow the recommended reconstitution procedure in the data sheet to dissolve the semi-solid, bead-like, gel-appearing material. The resulting antibody solution is completely stable and functional as proven by full functional testing. Contains no biocide or preservatives, such as azide, or any animal by-products. Larger pack sizes provided as multiples of 25 μL.

Preparation Note

Recommend storage of lyophilized product at 2-8°C; Before reconstitution, micro-centrifuge vials briefly to spin down material to bottom of the vial; Reconstitute each vial by adding 25 μL of filtered lab grade water or PBS; Reconstituted antibodies can be stored at 2-8°C, or -20°C for long term storage. Avoid repeated freeze-thaws.
Reconstitute lyophilized antibody pellet with 25μL of ultrapure water or Phosphate Buffered Saline (PBS). Please refer to our reconstitution protocol and the specific application guidance on the suggested starting dilutions and sample type.

Legal Information

ZooMAb is a registered trademark of Merck KGaA, Darmstadt, Germany

Disclaimer

Unless otherwise stated in our catalog or other company documentation accompanying the product(s), our products are intended for research use only and are not to be used for any other purpose, which includes but is not limited to, unauthorized commercial uses, in vitro diagnostic uses, ex vivo or in vivo therapeutic uses or any type of consumption or application to humans or animals.


Still not finding the right product?

Try our Product Selector Tool to narrow your options


Storage Class

11 - Combustible Solids

wgk

WGK 1

flash_point_f

Not applicable

flash_point_c

Not applicable

Regulatory Information

常规特殊物品

This item has



Choose from one of the most recent versions:

Certificates of Analysis (COA)

Lot/Batch Number

Don't see the Right Version?

If you require a particular version, you can look up a specific certificate by the Lot or Batch number.

Already Own This Product?

Find documentation for the products that you have recently purchased in the Document Library.

Visit the Document Library


Articles

Learn about the hallmarks of cancer and find reliable ZooMAb® recombinant antibodies to study them, conveniently organized by cancer hallmark.





Global Trade Item Number

SKUGTIN
ZRB1484-25UL04065266881271
ZRB1484-4X25UL04065266881288