General description
Receptor tyrosine-protein kinase erbB-3 (UniProt: P21860; also known as EC:2.7.10.1, Proto-oncogene-like protein c-ErbB-3, Tyrosine kinase-type cell surface receptor HER3) is encoded by the ERBB3 (also known as HER3) gene (Gene ID: 2065) in human. ErbB3 is a single-pass type I membrane glycoprotein that is synthesized with a signal peptide (aa 1-19), which is subsequently cleaved off to generate the mature form that contains an extracellular domain (aa 20-643), a transmembrane domain (aa 644-664), and a cytoplasmic domain (aa 665-1342). Its extracellular domain is formed of two ligand-binding regions (L1 and L2) and two cysteine-rich regions (CR1 and CR2). In the absence of a ligand, the extracellular domain stayed in a locked conformation and is stabilized by interactions between CR1 and CR2 regions that prevents its dimerization. Its tyrosine kinase domain is localized to amino acids 709-966 and shares homology with EGFR and ErbB2 kinase domain. However, the tyrosine kinase activity is impaired due to modified residues and its activation requires the formation of heterodimers with other EGFR family receptors. Known ligands for ErbB3 include neuregulins (NRG) and NRG1 and NRG2 appear to be the most active. Downstream signaling pathways activated include MAPK and PI3 Kinase pathways. ErbB3 has been implicated in cell division and survival and its expression is essential for cell proliferation in several tumor models and transformation of normal tissues. It has also been implicated in acquired resistance to EGFR-tyrosine kinase inhibitors. This ZooMAb® recombinant monoclonal antibody, generated by our propriety technology, offers significantly enhanced specificity, affinity, reproducibility, and stability over conventional monoclonals. (Ref.: Kiavue, N., et al. (2020). Oncogene. 39(3); 487-502).
We are committed to bringing you greener alternative products, which adhere to one or more of The 12 Principles of Green Chemistry.This antibody is Preservative-free, produced without the harm or sacrifice of animals and exceptionally stable to allow for ambient shipping and storage if needed and thus aligns with "Waste Prevention", "Designing Safer Chemicals" and "Design for Energy Efficiency".
Click here for more information.
ZooMAb® antibodies represent an entirely new generation of recombinant monoclonal antibodies.Each ZooMAb® antibody is manufactured using our proprietary recombinant expression system, purified to homogeneity, and precisely dispensed to produce robust and highly reproducible lot-to-lot consistency. Only top-performing clones are released for use by researchers. Each antibody is validated for high specificity and affinity across multiple applications, including its most commonly used application. ZooMAb® antibodies are reliably available and ready to ship when you need them.
Immunogen
KLH-conjugated linear peptide corresponding to 24 amino acids from the C-terminal region of human Receptor tyrosine-protein kinase erbB-3.
Application
Quality Control Testing
Evaluated by Western Blotting in HepG2 cell lysate.
Western Blotting Analysis: A 1:1,000 dilution of this antibody detected ErbB-3/HER3 in HepG2 cell lysate.
Tested applications
Western Blotting Analysis: A 1:1,000 dilution from a representative lot detected ErbB-3/HER3 in C6 cell lysate.
Flow Cytometry Analysis: 1 μg from a representative lot detected ErbB-3/HER3 in one million MCF-7 cells.
Immunocytochemistry Analysis: A 1:1,000 dilution from a representative lot detected ErbB-3/HER3 in MCF-7 cells.
Affinity Binding Assay: A representative lot of this antibody bound ErbB-3/HER3 with a KD of 3.0 x 10-7 in an affinity binding assay.
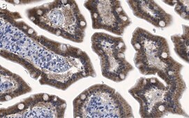
Immunohistochemistry (Paraffin) Analysis: A 1:100 dilution from a representative lot detected ErbB-3/HER3 in human small intestine tissue sections.
Note: Actual optimal working dilutions must be determined by end user as specimens, and experimental conditions may vary with the end user
Anti-ErbB-3/HER3, clone 1C8 ZooMAb®, Cat. No. ZRB1607, is a recombinant Rabbit monoclonal antibody that targets ErbB-3/HER3 and is tested in Affinity Binding Assay, Flow Cytometry, Immunocytochemistry, Immunohistochemistry, and Western Blotting.
Biochem/physiol Actions
Clone 1C8 is a Rabbit recombinant monoclonal antibody that specifically detects Receptor tyrosine-protein kinase erbB-3 (HER3). It targets an epitope within 24 amino acids from the C-terminal region.
Physical form
Purified recombinant rabbit monoclonal antibody IgG, lyophilized in PBS with 5% Trehalose, normal appearance a coarse or translucent resin. The PBS/trehalose components in the ZooMAb® formulation can have the appearance of a semi-solid (bead like gel) after lyophilization. This is a normal phenomenon. Please follow the recommended reconstitution procedure in the data sheet to dissolve the semi-solid, bead-like, gel-appearing material. The resulting antibody solution is completely stable and functional as proven by full functional testing. Contains no biocide or preservatives, such as azide, or any animal by-products. Larger pack sizes provided as multiples of 25 μL.
Preparation Note
Recommend storage of lyophilized product at 2-8°C; Before reconstitution, micro-centrifuge vials briefly to spin down material to bottom of the vial; Reconstitute each vial by adding 25 μL of filtered lab grade water or PBS; Reconstituted antibodies can be stored at 2-8°C, or -20°C for long term storage. Avoid repeated freeze-thaws.
Reconstitute lyophilized antibody pellet with 25μL of ultrapure water or Phosphate Buffered Saline (PBS). Please refer to our
reconstitution protocol and the specific application guidance on the suggested starting dilutions and sample type.
Legal Information
ZooMAb is a registered trademark of Merck KGaA, Darmstadt, Germany
Disclaimer
Unless otherwise stated in our catalog or other company documentation accompanying the product(s), our products are intended for research use only and are not to be used for any other purpose, which includes but is not limited to, unauthorized commercial uses, in vitro diagnostic uses, ex vivo or in vivo therapeutic uses or any type of consumption or application to humans or animals.