
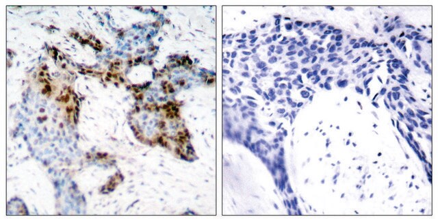
Anti-Estrogen Receptor-α antibody produced in rabbit

Synonym(s):
ER, ESR, ESR1, ESTR, ESTRA
Products
Product Category
Brand
Biological Source
Clonality
Gene Alias
Physical Form
Antibody Form
Conjugate
Post Translational Modification
Species Reactivity
Technique
Showing 1-4 of 4
Compare
Product Number
Description
Pricing