Experimental Design
Two separate studies were conducted to analyze long-term storage of blood in DNAgard® Blood stabilization reagent.
Study #1
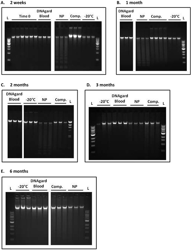
Blood from a single human donor was stored in small volume aliquots (100 µl) at room temperature (22 - 25 °C) alone (non-protected) or with DNAgard Blood stabilization reagent. Control blood aliquots without stabilizer were stored frozen at -20 °C. Blood from the same donor was also collected in a competitor’s blood collection tube and stored at room temperature. At the specified time points, genomic DNA was extracted from triplicate samples of frozen control, non-protected and DNAgard Blood samples using either the QIAamp® DNA Blood Mini Kit or Flexigene® DNA Kit (QIAGEN). DNA was isolated from the competitor’s blood collection tube using their recommended kit. DNA integrity was analyzed by agarose gel electrophoresis of 5% of the isolated DNA sample (0.8% agarose; 1xTAE).
Study #2
Blood from six different human donors was stored at room temperature (22 - 25 °C) in blood collection tubes containing DNAgard Blood stabilization reagent or in K2-EDTA Vacutainers® (Becton Dickinson; “non-protected”). Control blood samples were stored in K2-EDTA Vacutainers at -20 °C. After 12 months of blood storage, DNA was extracted from 160 µl of blood using QIAcube® automation with the QIAamp DNA Blood Mini Kit. DNA integrity was analyzed by agarose gel electrophoresis (0.8% agarose; 1xTAE).
Results
Study #1
The integrity of genomic DNA in blood stored in DNAgard Blood formulation was maintained over the 6 month duration of this study as demonstrated by the recovery of high molecular weight DNA without band smearing (Figure 1). The quality of the DNA recovered from DNAgard Blood samples was equivalent to that from freezer-stored blood, the conventional method of long-term blood storage. In contrast, DNA degradation was apparent by 2 weeks in blood stored at room temperature without stabilizer (non-protected; NP). The DNA in these samples showed evidence of apoptotic laddering, the result of DNA being cleaved in discrete units of approximately 180 bp corresponding to the size of the nucleosome footprint. Similar apoptotic laddering was apparent in the DNA recovered from the competitor’s blood tubes at the 1 month time point. By the 3 month time point, the apoptotic laddering became less apparent in both the NP and competitor’s samples, likely the result of eventual nuclease inactivation in these samples and complete degradation of lower molecular weight DNA units. DNAgard Blood samples, in contrast, did not show evidence of DNA degradation over the 6 month course of this study.

Figure 1. Time-course analysis of DNA integrity in blood stored at room temperature (22 - 25 °C). DNA was purified at the specified time points from frozen blood samples or from blood stored at room temperature with DNAgard Blood formulation or without stabilizer (non-protected; NP). DNA was isolated with the QIAamp DNA Blood Mini Kit at the 2 week (A) and 1 month (B) time points, and with the Flexigene DNA Kit at the 2 month (C), 3 month (D) and 6 month time points. Blood stored in a competitor’s blood tube at room temperature was extracted using their recommended kit.
Study #2
The genomic DNA in blood from six different human donors stored in DNAgard Blood was stable for 12 months at room temperature (22 - 25 °C) (Figure 2). DNA recovered from DNAgard Blood samples using QIAcube automation was of high molecular weight and equivalent in integrity to that from blood stored frozen in K2-EDTA Vacutainers. In contrast, genomic DNA recovered from blood stored at room temperature in K2-EDTA Vacutainers revealed evidence of apoptotic laddering, the result of DNA being cleaved by endonucleases.

Figure 2. DNA integrity in blood after 12 months of storage at room temperature (22 - 25 °C).
Two separate studies revealed the long-term, room temperature (22 - 25 °C), genomic DNA stabilization properties of DNAgard Blood. Study #1 demonstrated gDNA stability at room temperature over a time course of six months for blood stored in DNAgard Blood. In contrast, blood stored at room temperature in the absence of stabilizer, or in a competitor’s blood collection tube, revealed DNA degradation in the form of apoptotic DNA laddering by the 2 week and 1 month time points, respectively. Study #2 demonstrated that gDNA stability is maintained for at least 12 months in the blood of six different human donors stored at room temperature in DNAgard Blood. These data indicate that the ambient temperature stabilization chemistry DNAgard Blood is equivalent to the current method of freezer storage for long-term preservation of blood in maintaining gDNA integrity.
To continue reading please sign in or create an account.
Don't Have An Account?