Fetal Bovine Serum for Specialty Cell Culture

Figure 1.HL-1 Mouse cardiac muscle cells. Fluorescent staining of perinuclear ANF (green) and nuclear DAPI (blue) in the presence of HL-1 screened FBS.
A crucial and commonly used cell culture media supplement, fetal bovine serum (FBS), contains growth factors, hormones, vitamins, proteins, and other trace elements that aid in healthy cell growth and maintenance in vitro. However, some cultures require FBS which has received certain treatments or has been tested for specific research applications.
Our FBS Select products allow you to choose a product for your specialized cell culture applications. Our portfolio meets standards for mesenchymal stem cell culture, cardiomyocyte culture, embryonic stem cell culture, the development of immunotherapies, and other specific culture needs. Continue on this journey and learn more about our FBS Select portfolio of products, including:
- Why use specialty serum?
- How do I identify the right specialty serum for my application?
- How does specialty sera work in stem cell applications?
- Mesenchymal Stem Cells
- Embryonic Stem Cells
- Cardiomyocytes
- Is there animal free specialty serum?

Specialty FBS for Cell Culture
FBS Select sera products are qualified for specialized cell culture applications such as stem cell differentiation, growth, and proliferation. The sera are rigorously tested for endotoxins, mycoplasma, viruses, and other potential contaminants, and are pre-screened for plating efficiency and maintenance.
FBS Select sera include documentation and meet European Union requirements for the production of technical blood products. The sera may be subjected to or may include the following attributes:
- Charcoal stripped or dialyzed
- Embryonic or mesenchymal stem cell qualified
- HL-1 cell screened
- Ultra-low IgG concentrations

Figure 2Mesenchymal stem cell population growth in various FBS supplemented media. Media that contained 10% FBS from various suppliers was used to culture human adipose-derived mesenchymal stem cells. The population doubling time was calculated after each passage.
Mesenchymal Stem Cell-Qualified FBS
Human mesenchymal stem cells (MSCs) are of increased interest to researchers who use stem cells to study cancers and other diseases and develop novel therapeutics. MSCs are multipotent adult stems cells that have the capacity to self-renew over long periods. These cells can differentiate into multiple cellular linages such as adipocytes, osteoblasts, and chondrocytes.
Our MSC FBS (ES-020-B) is a nutrient rich serum that is pre-screened using clonal growth assays with MSCs. This ensures that ES-020-B will support MSC growth and maintenance over multiple passages. Pre-screening also helps reduce lot-to-lot variability in MSC cultures. When supplementing culture media with ES-020-B, human MSCs (SCC038) grew consistently over multiple cell passages with low doubling times (Figure 3).

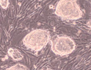
Figure 3.Mouse embryonic stem cells. Mouse ES cells cultured with 15% ES-qualified FBS (ES-009M) and in the presence of feeder cells.
Embryonic Stem Cell-Qualified FBS
Isolating and culturing murine embryonic stem (ES) cells in vitro is critical to the development of gene knockout mice and transgenic technologies to analyze gene function. ES cells are derived from the inner cell mass of early mouse embryos and during mouse development contribute to the germline and other tissues.
Maintaining the healthy growth and proliferation of mouse pluripotent ES cells is essential for successful gene targeting experiments. Our portfolio of mouse ES qualified products includes sterile filtered FBS (ES009-M). This ES-qualified FBS is pre-screened to ensure healthy growth and maintenance and high plating efficiency for undifferentiated mouse ES cells.
Cardiomyocyte Stem Cell-Qualified FBS
Researchers use HL-1 cells, or adult mouse atrial myocytes, to study cardiac disease and other pathological conditions, and to develop novel drug therapies for these disorders. These conditions include hyperglycemia-hyperinsulinemia, hypoxia, and apoptosis. HL-1 cells also provide a tool for studying normal cardiomyocyte signaling, overall cellular function, and transcriptional, electrical, and metabolic regulation.
These cardiomyocyte stem cells continuously divide while they maintain the differentiated cardiac myocyte phenotype. Their phenotype includes the morphological, electrophysiological, and biochemical properties of HL-1 cells. The cells are also known to spontaneously contract while in culture.
Our FBS Select product, HL-1 screened FBS (TMS-016), is pre-screened using HL-1 mouse cardiac muscle cells. This ensures that the product promotes the maintenance of contractile ability and the differentiated cardiomyocyte activity and phenotype in vitro. Each lot is of US origin, sterile filtered, and tested against mycoplasma, endotoxins, and various viruses.
Check out the video of calcium fluctuation in HL-1 cells grown in HL-1-screened FBS supplemented media after five passages.
Frequently Asked Questions about Serum
Serum is an important lab commodity and can have a significant impact on your cell culture assays, especially with specialty cell culture such as stem cell culture. Understanding how to handle serum, the sourcing of different FBS, and why tissue cultures need serum can be crucial for the success of your cellular applications. Discover our three frequently asked questions technical articles where our scientists answer your questions about general and specialty FBS.
- Review the basics of using fetal bovine (or calf) serum for cell culture and how sourcing and regulations affect the price of sera for cell-based assays.
- Find answers to frequently asked questions (FAQs) about FBS and other serum products, and links to related products.
- Find answers to questions (FAQs) about fetal bovine serum (FBS) that is gamma-irradiated by the SER-TAIN™ process. Request a sample of FBS at Sigma-Aldrich.com.

Human Serum
While FBS Select sera products are used in stem cell applications, human sera products may be better suited for certain human cell culture applications such as cell invasion studies, tissue engineering, and human tumor spheroid formation. Our human sera products are serially filtered under sterile conditions and are extensively tested to ensure that they do not contain viruses and baceteria.
We provide a comprehensive selection of human sera, including heat-inactivated sera and sera derived from plasma or clotted whole blood.
Request a Serum Sample
Our portfolio consists of various types of sera, including but not limited to, bovine, calf, human, horse, goat, sheep, porcine and chicken. We also offer multiple origins such as US, USDA approved, Canadian, South American, Australian, and New Zealand. Please fill out the form below and your serum specialist will contact you for further qualification and approval of the serum sample.
Fields indicated by an * are required.
如要继续阅读,请登录或创建帐户。
暂无帐户?