跳转至内容
Merck
CN

04-145

抗-NOD2抗体,克隆2D9

clone 2D9, from mouse

别名:

Caspase recruitment domain-containing protein 15, Inflammatory bowel disease protein 1, NLR family, CARD domain containing 2, NOD-like receptor C2, caspase recruitment domain family, member 15, caspase recruitment domain protein 15, nucleotide-binding ol

登录 查看组织和合同定价。

选择尺寸

变更视图

关于此项目

UNSPSC Code:
12352203
NACRES:
NA.41
eCl@ss:
32160702
Conjugate:
unconjugated
Clone:
2D9, monoclonal
Application:
IHC, IP, WB
Citations:
-
技术服务
需要帮助?我们经验丰富的科学家团队随时乐意为您服务。
让我们为您提供帮助


biological source

mouse

Quality Level

conjugate

unconjugated

antibody form

purified immunoglobulin

antibody product type

primary antibodies

clone

2D9, monoclonal

species reactivity

human

technique(s)

immunohistochemistry: suitable, immunoprecipitation (IP): suitable, western blot: suitable

isotype

IgG1κ

NCBI accession no.

UniProt accession no.

shipped in

wet ice

target post-translational modification

unmodified

Gene Information

human ... NOD2(64127)

General description

NOD2(核苷酸结合寡聚化结构域包含2),也称为半胱天冬酶募集结构域家族成员15(CARD15),是NOD样受体(NLR)家族蛋白的成员,在免疫系统中起重要作用。它是一种细胞内模式识别受体,与炎症性疾病如炎症性肠病/克罗恩′病和布劳综合征有关。NOD2具有两个半胱天冬酶募集域(CARD)和11个富含亮氨酸的重复序列(LRR)。该蛋白主要在外周血白细胞中表达。它通过识别细菌分子在免疫反应中发挥作用。最近发现它与NLRC4相互作用并响应ssRNA或病毒RNA处理而与MAVS结合并激活IFN反应。
~110 kDa

Immunogen

带His标签的重组蛋白,对应于人NOD2。
表位:未知

Application

抗NOD2抗体(克隆2D9)是用于检测NOD2(也称为NOD样受体C2)的小鼠单克隆抗体,&已在IHC、WB & IP中进行了验证。
研究子类别
免疫信号传导
研究类别
炎症 & 免疫学

Biochem/physiol Actions

该抗体可识别NOD2。

Physical form

形式:纯化
纯化的小鼠单克隆IgG1κ溶于含0.1 M Tris-甘氨酸(pH 7.4),150 mM NaCl和0.05%叠氮化钠的缓冲液中。
蛋白G纯化

Preparation Note

自收到之日起,在2-8°C条件下可稳定保存1年。

Analysis Note

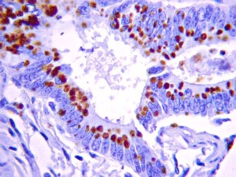
免疫组化分析:该抗体的1:25稀释液在增生性结直肠癌组织中检测到NOD2。
对照
增生性结直肠癌组织

Other Notes

浓度:请参考批次特异性浓缩物的分析证书。

Disclaimer

除非我们的产品目录或产品附带的其他公司文档另有说明,否则我们的产品仅供研究使用,不得用于任何其他目的,包括但不限于未经授权的商业用途、体外诊断用途、离体或体内治疗用途或任何类型的消费或应用于人类或动物。


Still not finding the right product?

试用我们的 产品选型工具 工具缩小选择范围


存储类别

12 - Non Combustible Liquids

wgk

WGK 1

flash_point_f

Not applicable

flash_point_c

Not applicable



分析证书(COA)

输入产品批号来搜索 分析证书(COA) 。批号可以在产品标签上"批“ (Lot或Batch)字后找到。

已有该产品?

在文件库中查找您最近购买产品的文档。

访问文档库



全球贸易项目编号

货号GTIN
04-14504053252363719