跳转至内容
Merck
CN

05-1336

Anti-phospho-Histone H3 (Ser10) Antibody, clone CMA312

clone CMA312, from mouse

别名:

H3S10P, Histone H3 (phospho S10), H3 histone, family 3A

登录 查看组织和合同定价。

选择尺寸

变更视图

关于此项目

UNSPSC Code:
12352203
NACRES:
NA.41
eCl@ss:
32160702
Clone:
CMA312, monoclonal
Species reactivity:
vertebrates, human
Application:
ChIP, ELISA, ICC, WB, multiplexing
Citations:
12
技术服务
需要帮助?我们经验丰富的科学家团队随时乐意为您服务。
让我们为您提供帮助


biological source

mouse

Quality Level

antibody form

purified antibody

antibody product type

primary antibodies

clone

CMA312, monoclonal

species reactivity

vertebrates, human

technique(s)

ChIP: suitable, ELISA: suitable, immunocytochemistry: suitable, multiplexing: suitable, western blot: suitable

isotype

IgG1

NCBI accession no.

UniProt accession no.

shipped in

wet ice

target post-translational modification

phosphorylation (pSer10)

Gene Information

human ... H3C1(8350)

General description

Histones are highly conserved proteins that serve as the structural scaffold for the organization of nuclear DNA into chromatin. The four core histones, H2A, H2B, H3, and H4, assemble into an octamer (2 molecules of each). Subsequently, 146 base pairs of DNA are wrapped around the octamer, forming the nucleosome. Histones are modified post-translationally; and these modifications regulate DNA transcription, repair, recombination, and replication. The most commonly studied modifications are acetylation, phosphorylation, methylation, and ubiquitination. Phosphorylation at Ser10, which is linked to gene activation, prevents methylation at Lys9 but facilitates acetylation of H3 and H4. Phosphorylated Ser10 is crucial for chromosome condensation and cell-cycle progression during mitosis and meiosis. In addition, Ser10 phosphorylation is also an essential regulatory mechanism for neoplastic cell transformation. Phosphorylation at Ser10 by Aurora-B mediates the dissociation of HP1 proteins (CBX1, CBX3 and CBX5) from heterochromatin.
Anti-phospho-Histone H3 (Ser10) Antibody, clone CMA312 is a mouse monoclonal antibody for detection of phospho-Histone H3 (Ser10) also known as H3S10P, Histone H3 (phospho S10) & has been validated in WB, ELISA, ICC, Multiplexing and ChIP.
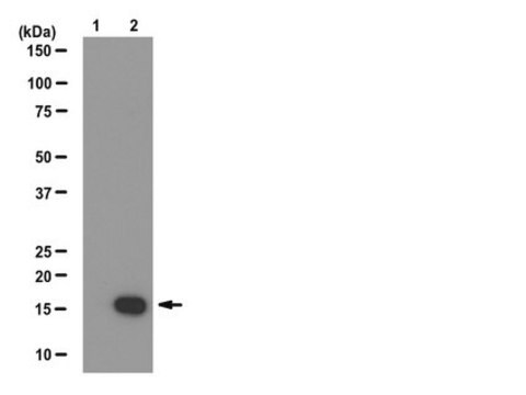
~17 kDa

Application

ELISA: This antibody has been shown by an outside laboratory to be suitable for ELISA.1
Immunocytochemistry: This antibody has been shown by an outside laboratory to be suitable for immunocytochemistry.1
Multiplexing:
This antibody specifically recognizes histone H3 phosphorylated on Ser10 by Luminex® assay.

Biochem/physiol Actions

Broad species cross-reactivity is expected, based on sequence homology.

Physical form

Format: Purified

Analysis Note

Western Blot Analysis: 1 μg/mL of this antibody detected phospho-Histone H3 (Ser10) on 1 μg of colcemid-treated HeLa acid extract.

Other Notes

Concentration: Please refer to the Certificate of Analysis for the lot-specific concentration.
Replaces: 04-1093

Legal Information

Luminex is a registered trademark of Luminex Corp


Still not finding the right product?

试用我们的 产品选型工具 工具缩小选择范围


wgk

WGK 2

flash_point_f

Not applicable

flash_point_c

Not applicable

存储类别

12 - Non Combustible Liquids



分析证书(COA)

输入产品批号来搜索 分析证书(COA) 。批号可以在产品标签上"批“ (Lot或Batch)字后找到。

已有该产品?

在文件库中查找您最近购买产品的文档。

访问文档库



Hong Liu et al.
Nature cell biology, 15(1), 40-49 (2012-12-18)
Timely dissolution of sister-chromatid cohesion in mitosis ensures accurate chromosome segregation to guard against aneuploidy and tumorigenesis. The complex of shugoshin and protein phosphatase 2A (SGO1-PP2A) protects cohesin at centromeres from premature removal by mitotic kinases and WAPL in prophase.
Manjit Singh et al.
The Plant cell, 23(2), 443-458 (2011-02-18)
Apomixis is a form of asexual reproduction through seeds in angiosperms. Apomictic plants bypass meiosis and fertilization, developing offspring that are genetically identical to their mother. In a genetic screen for maize (Zea mays) mutants mimicking aspects of apomixis, we
Mitotic arrest and apoptosis in breast cancer cells induced by Origanum majorana extract: upregulation of TNF-? and downregulation of survivin and mutant p53.
Al Dhaheri, Y; Eid, A; AbuQamar, S; Attoub, S; Khasawneh, M; Aiche, G; Hisaindee, S; Iratni, R
Testing null