biological source
human
Quality Level
recombinant
expressed in baculovirus infected Sf21 cells
product line
Upstate®
specific activity
(For Specific Activity data, refer to the Certificate of Analysis for individual lots of this enzyme.)
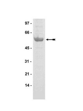
mol wt
Mw 59 kDa
purified by
(Ni2+/NTA-agarose)
species reactivity
human
manufacturer/tradename
Upstate®
technique(s)
activity assay: suitable (kinase)
accession no.
(FUNCTION: SwissProt: O15530 # Phosphorylates and activates not only PKB/AKT, but also PKA, PKC-zeta, RPS6KA1 and RPS6KB1. May play a general role in signaling processes and in development (By similarity). Isoform 3 is catalytically inactive. ), NM_002613.3
NCBI accession no.
UniProt accession no.
Gene Information
human ... PDPK1(5170)
General description
N-terminal, His6-tagged, recombinant human PDK1, amino acids 52-end.
PDK1
Biochem/physiol Actions
Protein Target: PDK1
Target Sub-Family: AGC
Packaging
Also available in 10 μg size and in bulk
Also available in 250 µg size --call for pricing and availability and reference catalog number 14-452M when ordering the 250 µg size.
Physical form
50mM Tris-HCl, pH 7.5, 0.15M NaCl, 0.1mM EGTA, 0.03% Brij-35, 0.1% 2-mercaptoethanol, 1mM benzamidine, 200μM PMSF and 5% glycerol
Ni2+/NTA-agarose
Preparation Note
6 months at -70°C
Analysis Note
Routinely evaluated by phosphorylation of PDKtide
Other Notes
For Specific Activity data, refer to the Certificate of Analysis for individual lots of this enzyme.
Legal Information
UPSTATE is a registered trademark of Merck KGaA, Darmstadt, Germany
Disclaimer
Unless otherwise stated in our catalog or other company documentation accompanying the product(s), our products are intended for research use only and are not to be used for any other purpose, which includes but is not limited to, unauthorized commercial uses, in vitro diagnostic uses, ex vivo or in vivo therapeutic uses or any type of consumption or application to humans or animals.
signalword
Warning
hcodes
Hazard Classifications
Skin Sens. 1
存储类别
12 - Non Combustible Liquids
wgk
WGK 1
flash_point_c
Not applicable
全球贸易项目编号
| 货号 | GTIN |
|---|---|
| 14-452 | 04053252673979 |
