跳转至内容
Merck
CN

AB10526

抗COX4抗体

from rabbit, purified by affinity chromatography

别名:

cytochrome c oxidase subunit IV isoform 1, cytochrome c oxidase subunit IV1, Cytochrome c oxidase polypeptide IV, cytochrome c oxidase subunit 4 isoform 1, mitochondrial

登录 查看组织和合同定价。

选择尺寸

变更视图

关于此项目

UNSPSC Code:
12352203
NACRES:
NA.41
eCl@ss:
32160702
Conjugate:
unconjugated
Clone:
polyclonal
Application:
IHC, WB
Citations:
6
技术服务
需要帮助?我们经验丰富的科学家团队随时乐意为您服务。
让我们为您提供帮助


biological source

rabbit

Quality Level

conjugate

unconjugated

antibody form

affinity isolated antibody

antibody product type

primary antibodies

clone

polyclonal

purified by

affinity chromatography

species reactivity

human

packaging

antibody small pack of 25 μg

technique(s)

immunohistochemistry: suitable (paraffin), western blot: suitable

NCBI accession no.

UniProt accession no.

shipped in

ambient

storage temp.

2-8°C

target post-translational modification

unmodified

Gene Information

human ... COX4I1(1327)

General description

细胞色素 c 氧化酶亚基 4(COX4)是细胞色素 C 氧化酶的 13 个亚基之一。细胞色素 c 氧化酶通过线粒体内膜上的呼吸链,负责催化电子传递的最后一步。COX4 与细胞色素 c 氧化酶的其他亚基组装成亚复合物,可能代表一个限速中间体。
观测值〜17 kDa。
〜58 kDa 处可能观察到非特异性条带

Immunogen

对应于人 COX4 的 KLH 偶联的线性肽。

Application

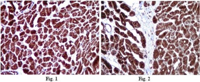
免疫组化分析:来自先前批次的 1:500 稀释液在正常人的心肌组织中检测到 COX4。
抗-COX4 抗体可检测 COX4 水平&,经发布 & 验证可用于 WB,IH(P)。
研究子类别细胞
凋亡 - 其他
研究类别
凋亡 & 癌症

Biochem/physiol Actions

其他同源性: 大鼠和小鼠(具有 59% 的序列同源性)。

Physical form

亲和纯化
在含 0.1 M Tris-甘氨酸(pH 7.4),150 mM NaCl 和 0.05% 叠氮化钠的缓冲液中的纯化的兔多克隆抗体。

Preparation Note

自收到之日起,在 2-8°C 条下可稳定保存 1 年。

Analysis Note

对照
人胎儿骨骼肌组织裂解液
通过蛋白质印迹在人胎儿骨骼肌组织裂解液中进行评估。

蛋白质印迹分析:0.1 µg/mL 的该抗体在 10 µg 人胎儿骨骼肌组织裂解液中检测到 COX4。

Other Notes

浓度:请参考批次特异性浓缩物的分析证书。

Disclaimer

除非我们的产品目录或产品附带的其他公司文档另有说明,否则我们的产品仅供研究使用,不得用于任何其他目的,包括但不限于未经授权的商业用途、体外诊断用途、离体或体内治疗用途或任何类型的消费或应用于人类或动物。


Still not finding the right product?

试用我们的 产品选型工具 工具缩小选择范围


存储类别

12 - Non Combustible Liquids

wgk

WGK 1



分析证书(COA)

输入产品批号来搜索 分析证书(COA) 。批号可以在产品标签上"批“ (Lot或Batch)字后找到。

已有该产品?

在文件库中查找您最近购买产品的文档。

访问文档库


商品

Loading controls in western blotting application.


Ana Andres-Hernando et al.
American journal of physiology. Renal physiology, 317(4), F941-F948 (2019-08-15)
Obesity and metabolic syndrome are well-known risk factors for chronic kidney disease (CKD); however, less is known about the mechanism(s) by which metabolic syndrome might accelerate kidney disease. We hypothesized that metabolic syndrome should accelerate the development of kidney disease
Shekoufeh Almasi et al.
The Journal of biological chemistry, 293(10), 3637-3650 (2018-01-19)
A lack of effective treatment is one of the main factors contributing to gastric cancer-related death. Discovering effective targets and understanding their underlying anti-cancer mechanism are key to achieving the best response to treatment and to limiting side effects. Although
Astrid Heim et al.
Nucleic acids research, 42(12), 7833-7850 (2014-06-11)
The Fe(II) and 2-oxoglutarate dependent oxygenase Jmjd6 has been shown to hydroxylate lysine residues in the essential splice factor U2 auxiliary factor 65 kDa subunit (U2AF65) and to act as a modulator of alternative splicing. We describe further evidence for



全球贸易项目编号

货号GTIN
AB10526-25UG04054839342554