跳转至内容
Merck
CN

AB2261

抗Tbr1抗体

from chicken, purified by affinity chromatography

别名:

T-box, brain, 1

登录 查看组织和合同定价。

选择尺寸

变更视图

关于此项目

UNSPSC Code:
12352203
NACRES:
NA.41
eCl@ss:
32160702
Conjugate:
unconjugated
Clone:
polyclonal
Application:
IHC, WB
Citations:
16
技术服务
需要帮助?我们经验丰富的科学家团队随时乐意为您服务。
让我们为您提供帮助


biological source

chicken

Quality Level

conjugate

unconjugated

antibody form

affinity isolated antibody

antibody product type

primary antibodies

clone

polyclonal

purified by

affinity chromatography

species reactivity

human, mouse, rat

species reactivity (predicted by homology)

opossum (based on 100% sequence homology), horse (based on 100% sequence homology), canine (based on 100% sequence homology), bovine (based on 100% sequence homology), pig (based on 100% sequence homology)

technique(s)

immunohistochemistry: suitable, western blot: suitable

NCBI accession no.

UniProt accession no.

shipped in

wet ice

target post-translational modification

unmodified

Gene Information

mouse ... Tbr1(21375)

General description

Tbr1基因是一个保守的基因家族的成员,该家族共享一个共同的DNA结合结构域T-box。T-box基因编码参与发育过程调控的转录因子。Tbr1是一种已知在有丝分裂后神经元中表达的推定转录因子,已在谷氨酸能的早产皮质神经元中高度表达。类似的蛋白已在小鼠中被破坏,并显示出对早期皮质发育至关重要,并导致嗅球和嗅觉皮质中投射神经元的丢失。发现Tbr1衍生的蛋白的C末端区域对于与钙/钙调蛋白依赖性丝氨酸蛋白激酶的鸟苷酸激酶结构域关联性是必要和充分的。
观察值为~ 68 kDa;然而,UniProtKB/Swiss-Prot条目Q64336(TBR1_MOUSE)列出了73.941 kDa的质量

Immunogen

对应于小鼠Tbr1的KLH偶联线性肽。
表位:内部

Application

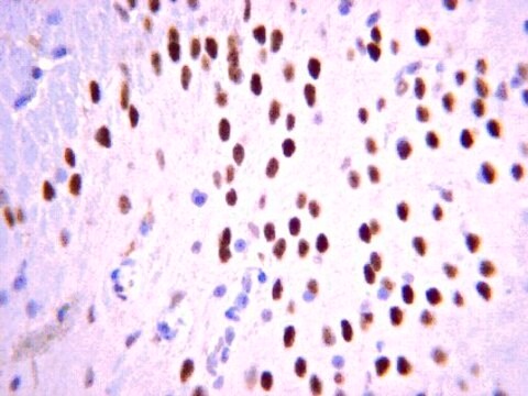
免疫组化分析: 一个先前批次的1:100稀释液在小鼠额叶皮质组织中检测到Tbr1。
抗Tbr1抗体是用于WB,IH的针对Tbr1的抗体。
研究子类别
发育神经科学
研究类别
神经科学

Biochem/physiol Actions

该抗体可识别Tbr1。

Physical form

亲和纯化
纯化的鸡多克隆抗体溶于含0.1 M Tris-甘氨酸(pH 7.4,150 mM NaCl)和0.05%叠氮化钠的缓冲液中。

Preparation Note

自发运之日起,在 2-8°C 条件下可稳定保存1年

Analysis Note

对照
人胎脑组织裂解液
通过蛋白质印迹在人胎脑组织裂解液中进行了评估。

蛋白质印迹分析:0.025 µg/mL的该抗体在10 µg人胎脑组织裂解液中检测到Tbr1。

Disclaimer

除非我们的产品目录或产品附带的其他公司文档另有说明,否则我们的产品仅供研究使用,不得用于任何其他目的,包括但不限于未经授权的商业用途、体外诊断用途、离体或体内治疗用途或任何类型的消费或应用于人类或动物。


Still not finding the right product?

Explore all of our products under 抗Tbr1抗体

或者

试用我们的 产品选型工具 工具缩小选择范围


存储类别

12 - Non Combustible Liquids

wgk

WGK 1

flash_point_f

Not applicable

flash_point_c

Not applicable



分析证书(COA)

输入产品批号来搜索 分析证书(COA) 。批号可以在产品标签上"批“ (Lot或Batch)字后找到。

已有该产品?

在文件库中查找您最近购买产品的文档。

访问文档库



Tadashi Nomura et al.
Cell reports, 31(5), 107592-107592 (2020-05-07)
The six-layered neocortex is a shared characteristic of all mammals, but not of non-mammalian species, and its formation requires an inside-out pattern of neuronal migration. The extant reptilian dorsal cortex is thought to represent an ancestral form of the neocortex
Anna Gorelik et al.
Nature communications, 8, 15096-15096 (2017-05-04)
In recent years the notion that malfunctioning of the immune system may result in developmental brain diseases has emerged. However, the role of immune molecules in the developing brain has not been well explored. The complement pathway converges to cleave
Livio Oboti et al.
eNeuro, 5(3) (2018-06-19)
Interconnections between the olfactory bulb and the amygdala are a major pathway for triggering strong behavioral responses to a variety of odorants. However, while this broad mapping has been established, the patterns of amygdala feedback connectivity and the influence on



全球贸易项目编号

货号GTIN
AB226104053252478987