跳转至内容
Merck
CN

AB2265

Anti-VPAC1 Antibody

from rabbit, purified by affinity chromatography

别名:

Vasoactive intestinal polypeptide receptor 1, Pituitary adenylate cyclase-activating polypeptide type II receptor, vasoactive intestinal peptide/pituitary adenylate cyclase activating peptide receptor 1

登录 查看组织和合同定价。

选择尺寸

变更视图

关于此项目

UNSPSC Code:
12352203
NACRES:
NA.41
eCl@ss:
32160702
Conjugate:
unconjugated
Clone:
polyclonal
Application:
IHC, WB
Citations:
-
技术服务
需要帮助?我们经验丰富的科学家团队随时乐意为您服务。
让我们为您提供帮助


biological source

rabbit

Quality Level

conjugate

unconjugated

antibody form

affinity isolated antibody

antibody product type

primary antibodies

clone

polyclonal

purified by

affinity chromatography

species reactivity

mouse, human, rat

technique(s)

immunohistochemistry: suitable (paraffin), western blot: suitable

NCBI accession no.

UniProt accession no.

shipped in

wet ice

target post-translational modification

unmodified

Gene Information

human ... VIPR1(7433)

General description

The vasoactive intestinal peptide/pituitary adenylate cyclase activating peptide receptor 1 (VPAC1) is a member of a class II subfamily of G-protein-coupled receptors and has a high affinity for vasoactive intestinal peptide (VIP). VPAC1 has been associated with many different lung cancer cell lines. VPAC1 is thought to be activated by FXR and may contribute to the regulation of bile secretion to protect against gallstone disease. VPAC1 could be used to regulate VIPs and, in turn, inhibit breast cancer growth. VPAC1 has also been implicated in regulation of the anti-inflammatory effects of VIP.
~52 kDa observed. Multiple molecular weights of VPAC1 may be due to glycosylation. (Fabre, C, et al. (1993). Peptides. 14:483-489.)

Immunogen

Epitope: Cytoplasmic domain
KLH-conjugated linear peptide corresponding to the cytoplasmic domain of VPAC1.

Application

Anti-VPAC1 Antibody detects level of VPAC1 & has been published & validated for use in IH(P) & WB.
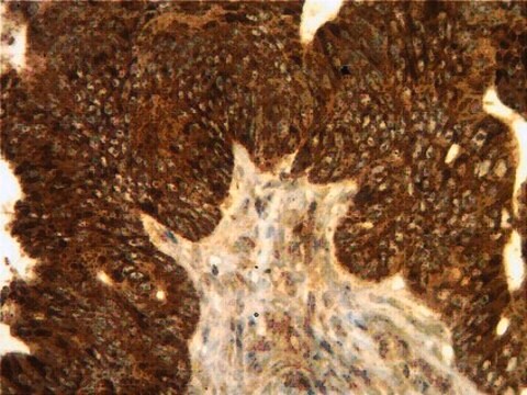
Immunohistochemistry Analysis: 1:500 dilution from a previous lot detected VPAC1 in ovarian carcinoma tissue.
Research Category
Neuroscience
Research Sub Category
Hormones & Receptors

Biochem/physiol Actions

This antibody recognizes VPAC1 at the cytoplasmic domain.

Physical form

Affinity purified
Purified rabbit polyclonal in buffer containing 0.1 M Tris-Glycine (pH 7.4), 150 mM NaCl with 0.05% sodium azide.

Preparation Note

Stable for 1 year at 2-8°C from date of receipt.

Analysis Note

Control
SK-OV-3 cell lysate
Evaluated by Western Blot in SK-OV-3 cell lysate.

Western Blot Analysis: 1 µg/mL of this antibody detected VPAC1 on 10 µg of SK-OV-3 cell lysate.

Other Notes

Concentration: Please refer to the Certificate of Analysis for the lot-specific concentration.

Disclaimer

Unless otherwise stated in our catalog or other company documentation accompanying the product(s), our products are intended for research use only and are not to be used for any other purpose, which includes but is not limited to, unauthorized commercial uses, in vitro diagnostic uses, ex vivo or in vivo therapeutic uses or any type of consumption or application to humans or animals.


Still not finding the right product?

试用我们的 产品选型工具 工具缩小选择范围


存储类别

12 - Non Combustible Liquids

wgk

WGK 1

flash_point_f

Not applicable

flash_point_c

Not applicable



分析证书(COA)

输入产品批号来搜索 分析证书(COA) 。批号可以在产品标签上"批“ (Lot或Batch)字后找到。

已有该产品?

在文件库中查找您最近购买产品的文档。

访问文档库



全球贸易项目编号

货号GTIN
AB226504053252415692