跳转至内容
Merck
CN

ABC337

Anti-BAFF receptor Antibody

from rabbit, purified by affinity chromatography

别名:

Tumor necrosis factor receptor superfamily member 13C, B-cell-activating factor receptor, BAFF receptor, BAFF-R, BLyS receptor 3, CD268

登录 查看组织和合同定价。

选择尺寸

变更视图

关于此项目

UNSPSC Code:
12352203
NACRES:
NA.41
eCl@ss:
32160702
Conjugate:
unconjugated
Clone:
polyclonal
Application:
IHC, WB
Citations:
-
技术服务
需要帮助?我们经验丰富的科学家团队随时乐意为您服务。
让我们为您提供帮助


biological source

rabbit

Quality Level

conjugate

unconjugated

antibody form

affinity isolated antibody

antibody product type

primary antibodies

clone

polyclonal

purified by

affinity chromatography

species reactivity

rat, human, mouse

technique(s)

immunohistochemistry: suitable, western blot: suitable

UniProt accession no.

shipped in

wet ice

target post-translational modification

unmodified

Gene Information

General description

B-cell-activating factor receptor (BAFF receptor, BAFF-R), also known as tumor necrosis factor receptor superfamily member 13C (TNFRSF13C) and BLyS receptor 3 (BR3), is a member of the TNF superfamily that regulate immune responses and induce apoptosis. BAFF receptor promotes the survival of mature B-cells and the B-cell response. BAFF and its receptors are involved in B cell associated autoimmune diseases, and activate NF-kB and c-jun N-terminal kinase. BAFF receptor is highly expressed in spleen and lymph node, with lower levels found in activated B-cells, resting CD4+ T-cells, in thymus and peripheral blood leukocytes. Mutations in BAFF receptor have been associated with immunodeficiency common variable type 4 (CVID4), also called BAFFR defect.
~22 kDa observed. Uniprot describes two isoforms at ~19 kDa Uncharacterized bands may appear in some lysates.

Immunogen

KLH-conjugated linear peptide corresponding to the C-terminus of human BAFF receptor.

Application

Detect B-cell-activating factor receptor using this rabbit polyclonal antibody, Anti-BAFF receptor Antibody validated for use in western blotting & IHC.
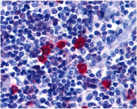
Immunohistochemistry Analysis: 5 µg/mL from a representative lot detected BAFF receptor in human tonsil tissue.

Biochem/physiol Actions

This antibody recognizes the C-terminus of BAFF receptor.

Analysis Note

Control
Human, mouse, and rat spleen tissue lysates
Evaluated by Western Blotting in human, mouse, and rat spleen tissue lysates.

Western Blotting Analysis: 5 µg/mL of this antibody detected BAFF receptor in 15 µg of human, mouse, and rat spleen tissue lysates.

Other Notes

Concentration: Please refer to the Certificate of Analysis for the lot-specific concentration.


Still not finding the right product?

试用我们的 产品选型工具 工具缩小选择范围


wgk

WGK 2

flash_point_f

Not applicable

flash_point_c

Not applicable

存储类别

12 - Non Combustible Liquids



分析证书(COA)

输入产品批号来搜索 分析证书(COA) 。批号可以在产品标签上"批“ (Lot或Batch)字后找到。

已有该产品?

在文件库中查找您最近购买产品的文档。

访问文档库



全球贸易项目编号

货号GTIN
ABC33704053252878787