跳转至内容
Merck
CN

ABD29

抗Twist1(扭曲相关蛋白1)抗体

from rabbit, purified by affinity chromatography

别名:

Twist-related protein 1, Class A basic helix-loop-helix protein 38, bHLHa38, H-twist

登录 查看组织和合同定价。

选择尺寸

变更视图

关于此项目

UNSPSC Code:
12352203
NACRES:
NA.41
eCl@ss:
32160702
Conjugate:
unconjugated
Clone:
polyclonal
Application:
ICC, IHC
Citations:
5
技术服务
需要帮助?我们经验丰富的科学家团队随时乐意为您服务。
让我们为您提供帮助


biological source

rabbit

Quality Level

conjugate

unconjugated

antibody form

affinity isolated antibody

antibody product type

primary antibodies

clone

polyclonal

purified by

affinity chromatography

species reactivity

human, rhesus macaque, mouse, horse

species reactivity (predicted by homology)

canine (based on 100% sequence homology), pig (based on 100% sequence homology), equine (based on 100% sequence homology), chimpanzee (based on 100% sequence homology), rhesus monkey (based on 100% sequence homology), gorilla (based on 100% sequence homology)

packaging

antibody small pack of 25 μg

technique(s)

immunocytochemistry: suitable, immunohistochemistry: suitable (paraffin)

NCBI accession no.

UniProt accession no.

shipped in

ambient

storage temp.

2-8°C

target post-translational modification

unmodified

Gene Information

human ... TWIST1(7291)

General description

Twist1 是碱性螺旋-环-螺旋转录因子,可调节胚胎祖细胞和转化的肿瘤细胞的增殖、迁移和分化,并且在肢体发育中也很重要。研究表明,twist1 在患有具有慢性活化的 T 辅助淋巴细胞的风湿性炎性疾病的患者中高表达,并且可以用作慢性 t 细胞活化的生物标志物。twist1 突变通常与 Saethre-Chotzen 综合征患者的颅面骨畸形和肢体畸形有关。Twist1 二聚体亲和力可以修饰 DNA 结合亲和力。Twist1 也被认为促进肿瘤生长、侵袭和抗癌药耐药性。
计算得出的分子量:21 kDa

Immunogen

对应于人 Twist1 的 N 端附近的 KLH 偶联的线性肽。
表位:N 端附近

Application

使用经过验证可用于 IH(P)& IC 的抗 Twist1(Twist 相关蛋白 1)抗体检测 Twist1(Twist 相关蛋白 1)。
免疫细胞化学分析: 一个代表性批次以 1:500 的稀释度在 NIH/3T3、A431 和 HeLa 细胞中检测到 Twist1。
研究子类别
转录因子
研究类别
干细胞研究

Biochem/physiol Actions

其他同源性: 大鼠(92% 序列同源性)。
该抗体在 N 端附近识别 Twist1。

Physical form

亲和纯化
在含 0.1 M Tris-甘氨酸(pH 7.4),150 mM NaCl 和 0.05% 叠氮化钠的缓冲液中的纯化的兔多克隆抗体。

Preparation Note

自收到之日起,在 2-8°C 条下可稳定保存 1 年。

Analysis Note

对照
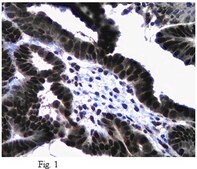
乳腺导管纤维腺瘤和人气管组织的分层鳞状上皮和软骨
通过免疫组化对乳腺导管纤维腺瘤和人气管组织的分层鳞状上皮和软骨进行了评估。

免疫组化分析:该抗体以 1:500 的稀释度在导管乳腺纤维腺瘤以及人气管组织的鳞状上皮和软骨中检测到 Twist1。

Other Notes

浓度:请参考批次特异性浓缩物的分析证书。

Disclaimer

除非我们的产品目录或产品附带的其他公司文档另有说明,否则我们的产品仅供研究使用,不得用于任何其他目的,包括但不限于未经授权的商业用途、体外诊断用途、离体或体内治疗用途或任何类型的消费或应用于人类或动物。


Still not finding the right product?

试用我们的 产品选型工具 工具缩小选择范围


存储类别

12 - Non Combustible Liquids

wgk

WGK 1

flash_point_f

Not applicable

flash_point_c

Not applicable



分析证书(COA)

输入产品批号来搜索 分析证书(COA) 。批号可以在产品标签上"批“ (Lot或Batch)字后找到。

已有该产品?

在文件库中查找您最近购买产品的文档。

访问文档库



Xingbo Xu et al.
Circulation research, 116(5), 857-866 (2015-01-15)
Endocardial fibroelastosis (EFE) is a unique form of fibrosis, which forms a de novo subendocardial tissue layer encapsulating the myocardium and stunting its growth, and which is typically associated with congenital heart diseases of heterogeneous origin, such as hypoplastic left
Maria-Vittoria Sepporta et al.
Communications biology, 5(1), 42-42 (2022-01-14)
The embryonic transcription factors TWIST1/2 are frequently overexpressed in cancer, acting as multifunctional oncogenes. Here we investigate their role in neuroblastoma (NB), a heterogeneous childhood malignancy ranging from spontaneous regression to dismal outcomes despite multimodal therapy. We first reveal the
Jianjian Zhu et al.
Proceedings of the National Academy of Sciences of the United States of America, 113(14), 3820-3825 (2016-03-24)
The transcription factor Brachyury (T) gene is expressed throughout primary mesoderm (primitive streak and notochord) during early embryonic development and has been strongly implicated in the genesis of chordoma, a sarcoma of notochord cell origin. Additionally, T expression has been



全球贸易项目编号

货号GTIN
ABD29-25UG04054839342585