跳转至内容
Merck
CN

ABE558

Anti-Ku70 Protein Antibody

from rabbit

别名:

X-ray repair cross-complementing protein 6, 5′-deoxyribose-5-phosphate lyase Ku70, 5′-dRP lyase Ku70, 70 kDa subunit of Ku antigen, ATP-dependent DNA helicase 2 subunit 1, ATP-dependent DNA helicase II 70 kDa subunit, CTC box-binding factor 75 kDa subuni

登录 查看组织和合同定价。

选择尺寸

变更视图

关于此项目

UNSPSC Code:
12352203
NACRES:
NA.41
eCl@ss:
32160702
Conjugate:
unconjugated
Clone:
polyclonal
Application:
IHC, IP, WB
Citations:
-
技术服务
需要帮助?我们经验丰富的科学家团队随时乐意为您服务。
让我们为您提供帮助


biological source

rabbit

Quality Level

conjugate

unconjugated

antibody form

purified antibody

antibody product type

primary antibodies

clone

polyclonal

species reactivity

human

technique(s)

immunohistochemistry: suitable (paraffin), immunoprecipitation (IP): suitable, western blot: suitable

NCBI accession no.

UniProt accession no.

shipped in

wet ice

target post-translational modification

unmodified

Gene Information

human ... XRCC6(2547)

General description

Lupus Ku autoantigen protein p70 (Ku70) is also known as X-ray repair cross-complementing protein 6 (XRCC6), 5′-dRP lyase Ku70, CTC box-binding factor 75 kDa subunit (CTC75, CTCBF) or Thyroid-lupus autoantigen (TLAA). Ku70 is a single stranded DNA-dependent ATP-dependent helicase that plays a role in chromosome translocation and DNA non-homologous end joining (NHEJ) required for double-strand break repair and recombination. The XRCC5/6 (Ku80/Ku70) dimer acts as regulatory subunit of the DNA-dependent protein kinase complex DNA-PK, and that dimer, together with APEX1, acts as a negative regulator of transcription. Individuals with systemic lupus erythematosus (SLE) and related disorders produce extremely large amounts of autoantibodies to XRCC5 (Ku80) and XRCC6 (Ku70).
~70 kDa observed

Immunogen

Epitope: Near N-Terminus
KLH-conjugated linear peptide corresponding to human Ku70 Protein near N-Terminus.

Application

Detect Ku70 Protein using this rabbit polyclonal antibody, Anti-Ku70 Protein Antibody validated for use in western blotting, IP & IHC (Paraffin).
Immunoprecipitation Analysis: A representative lot immunoprecipitated Ku70 Protein in 0.5 mg of HeLa cell lysate.
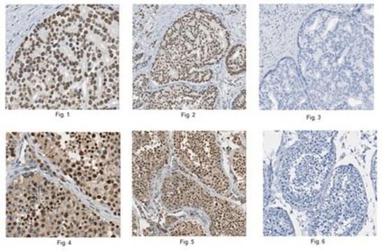
Immunohistochemistry Analysis: A 1:250 dilution from a representative lot detected Ku70 Protein in human prostate carcinoma cells and human testis tissue.
Research Category
Epigenetics & Nuclear Function
Research Sub Category
Chromatin Biology

Biochem/physiol Actions

This antibody recognizes Ku70 Protein near N-Terminus.

Physical form

Format: Purified
Protein A purified
Purified rabbit polyclonal in buffer containing 0.1 M Tris-Glycine (pH 7.4), 150 mM NaCl with 0.05% sodium azide.

Preparation Note

Stable for 1 year at 2-8°C from date of receipt.

Analysis Note

Control
HeLa cell lysate
Evaluated by Western Blotting in HeLa cell lysate.

Western Blotting Analysis: 0.5 µg/mL of this antibody detected Ku70 Protein in 10 µg of HeLa cell lysate.

Other Notes

Concentration: Please refer to the Certificate of Analysis for the lot-specific concentration.
Replaces: AB1358

Disclaimer

Unless otherwise stated in our catalog or other company documentation accompanying the product(s), our products are intended for research use only and are not to be used for any other purpose, which includes but is not limited to, unauthorized commercial uses, in vitro diagnostic uses, ex vivo or in vivo therapeutic uses or any type of consumption or application to humans or animals.


Still not finding the right product?

试用我们的 产品选型工具 工具缩小选择范围


存储类别

12 - Non Combustible Liquids

wgk

WGK 1

flash_point_f

Not applicable

flash_point_c

Not applicable



分析证书(COA)

输入产品批号来搜索 分析证书(COA) 。批号可以在产品标签上"批“ (Lot或Batch)字后找到。

已有该产品?

在文件库中查找您最近购买产品的文档。

访问文档库



全球贸易项目编号

货号GTIN
ABE55804053252906404