跳转至内容
Merck
CN

ABF113

Anti-TSLP Antibody

from rabbit, purified by affinity chromatography

别名:

Thymic stromal lymphopoietin

登录 查看组织和合同定价。

选择尺寸

变更视图

关于此项目

UNSPSC Code:
12352203
NACRES:
NA.41
eCl@ss:
32160702
Conjugate:
unconjugated
Clone:
polyclonal
Application:
IHC, WB
Citations:
-
技术服务
需要帮助?我们经验丰富的科学家团队随时乐意为您服务。
让我们为您提供帮助


biological source

rabbit

Quality Level

conjugate

unconjugated

antibody form

affinity isolated antibody

antibody product type

primary antibodies

clone

polyclonal

purified by

affinity chromatography

species reactivity

human

technique(s)

immunohistochemistry: suitable (paraffin), western blot: suitable

NCBI accession no.

UniProt accession no.

shipped in

wet ice

target post-translational modification

unmodified

Gene Information

human ... TSLP(85480)

General description

Thymic stromal lymphopoietin (TSLP) has recently been identified as an important factor capable of driving dendritic cell maturation and activation. TSLP is a four-helix-bundle cytokine that is expressed mainly by barrier epithelial cells and is a potent activator of several cell types such as myeloid dendritic cells. TSLP is involved in the positive selection of regulatory T cells, maintenance of peripheral CD4+ T cell homeostasis and the induction of CD4+ T cell-mediated allergic reaction. TSLP is also capable of supporting the growth of fetal liver and adult B cell progenitors and their differentiation to the IgM-positive stage of B cell development. TSLP is expressed in a number of tissues including heart, liver, and prostate.
~18 kDa observed

Immunogen

Epitope: Near C-terminus
KLH-conjugated linear peptide corresponding to human TSLP near the C-terminus.

Application

Detect TSLP using this Anti-TSLP Antibody validated for use in western blotting & IHC (Paraffin).
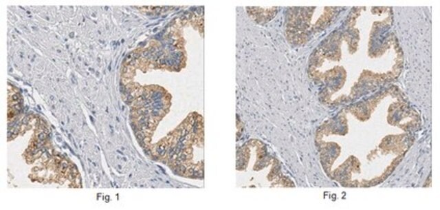
Immunohistochemistry Analysis: A 1:2,000 dilution from a representative lot detected TSLP in human prostate tissue.
Research Category
Inflammation & Immunology
Research Sub Category
Inflammation & Autoimmune Mechanisms

Physical form

Affinity purified
Purified rabbit polyclonal in buffer containing 0.1 M Tris-Glycine (pH 7.4), 150 mM NaCl with 0.05% sodium azide.

Preparation Note

Stable for 1 year at 2-8°C from date of receipt.

Analysis Note

Evaluated by Western Blotting in human liver tissue lysate.

Western Blotting Analysis: 1.0 µg/mL of this antibody detected TSLP in 10 µg of human liver tissue lysate.

Other Notes

Concentration: Please refer to the Certificate of Analysis for the lot-specific concentration.

Disclaimer

Unless otherwise stated in our catalog or other company documentation accompanying the product(s), our products are intended for research use only and are not to be used for any other purpose, which includes but is not limited to, unauthorized commercial uses, in vitro diagnostic uses, ex vivo or in vivo therapeutic uses or any type of consumption or application to humans or animals.


Still not finding the right product?

Explore all of our products under

或者

试用我们的 产品选型工具 工具缩小选择范围


存储类别

12 - Non Combustible Liquids

wgk

WGK 1

flash_point_f

Not applicable

flash_point_c

Not applicable



分析证书(COA)

输入产品批号来搜索 分析证书(COA) 。批号可以在产品标签上"批“ (Lot或Batch)字后找到。

已有该产品?

在文件库中查找您最近购买产品的文档。

访问文档库



全球贸易项目编号

货号GTIN
ABF11304053252971280