跳转至内容
Merck
CN

ABN294

Anti-Annexin A3 Antibody

from rabbit, purified by affinity chromatography

别名:

Annexin A3, 35-alpha calcimedin, Annexin III, Annexin-3, Inositol 1,2-cyclic phosphate 2-phosphohydrolase, Lipocortin III, Placental anticoagulant protein III, PAP-III

登录 查看组织和合同定价。

选择尺寸

变更视图

关于此项目

UNSPSC Code:
12352203
NACRES:
NA.41
eCl@ss:
32160702
Conjugate:
unconjugated
Clone:
polyclonal
Application:
IHC, WB
Citations:
-
技术服务
需要帮助?我们经验丰富的科学家团队随时乐意为您服务。
让我们为您提供帮助


biological source

rabbit

Quality Level

conjugate

unconjugated

antibody form

affinity isolated antibody

antibody product type

primary antibodies

clone

polyclonal

purified by

affinity chromatography

species reactivity

human

technique(s)

immunohistochemistry: suitable (paraffin), western blot: suitable

NCBI accession no.

UniProt accession no.

shipped in

wet ice

target post-translational modification

unmodified

Gene Information

human ... ANXA3(306)

General description

Annexin A3 is also called 35-alpha calcimedin, Annexin III, Annexin-3, Inositol 1,2-cyclic phosphate 2-phosphohydrolase, Lipocortin III and Placental anticoagulant protein III (PAP-III). Annexin A3 is an inhibitor of phospholipase A2 that has anti-coagulant properties. In addition, Annexin A3 cleaves the cyclic bond of inositol 1,2-cyclic phosphate to form inositol 1-phosphate.
~36 kDa observed

Immunogen

KLH-conjugated linear peptide corresponding to human Annexin A3.

Application

Detect Annexin using this rabbit polyclonal antibody, Anti-Annexin A3 Antibody validated for use in western blotting & IHC (Paraffin).
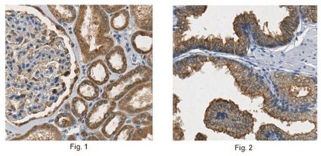
Immunohistochemistry Analysis: A 1:2,000 dilution from a representative lot detected Annexin A3 in human kidney and human prostate tissue.
Research Category
Neuroscience
Research Sub Category
Developmental Signaling

Physical form

Affinity purified
Purified rabbit polyclonal in buffer containing 0.1 M Tris-Glycine (pH 7.4), 150 mM NaCl with 0.05% sodium azide.

Preparation Note

Stable for 1 year at 2-8°C from date of receipt.

Analysis Note

Control
Human placenta tissue lysate
Evaluated by Western Blotting in human placenta tissue lysate.

Western Blotting Analysis: 0.5 µg/mL of this antibody detected Annexin A3 in 10 µg of human placenta tissue lysate.

Other Notes

Concentration: Please refer to the Certificate of Analysis for the lot-specific concentration.

Disclaimer

Unless otherwise stated in our catalog or other company documentation accompanying the product(s), our products are intended for research use only and are not to be used for any other purpose, which includes but is not limited to, unauthorized commercial uses, in vitro diagnostic uses, ex vivo or in vivo therapeutic uses or any type of consumption or application to humans or animals.


Still not finding the right product?

试用我们的 产品选型工具 工具缩小选择范围


存储类别

12 - Non Combustible Liquids

wgk

WGK 1

flash_point_f

Not applicable

flash_point_c

Not applicable



分析证书(COA)

输入产品批号来搜索 分析证书(COA) 。批号可以在产品标签上"批“ (Lot或Batch)字后找到。

已有该产品?

在文件库中查找您最近购买产品的文档。

访问文档库



全球贸易项目编号

货号GTIN
ABN29404053252917295