跳转至内容
Merck
CN

ABN73

Anti-Neutral amino acid transporter (ASCT2) Antibody

from rabbit, purified by affinity chromatography

别名:

Neutral amino acid transporter B(0), Baboon M7 virus receptor, RD114/simian type D retrovirus receptor, Sodium-dependent neutral amino acid transporter type 2, Solute carrier family 1 member 5

登录 查看组织和合同定价。

选择尺寸

变更视图

关于此项目

UNSPSC Code:
12352203
NACRES:
NA.41
eCl@ss:
32160702
Conjugate:
unconjugated
Clone:
polyclonal
Application:
IHC, WB
Citations:
-
技术服务
需要帮助?我们经验丰富的科学家团队随时乐意为您服务。
让我们为您提供帮助


biological source

rabbit

Quality Level

conjugate

unconjugated

antibody form

affinity isolated antibody

antibody product type

primary antibodies

clone

polyclonal

purified by

affinity chromatography

species reactivity

human

technique(s)

immunohistochemistry: suitable (paraffin), western blot: suitable

NCBI accession no.

UniProt accession no.

shipped in

wet ice

target post-translational modification

unmodified

Gene Information

human ... SLC1A5(6510)

General description

Neutral amino acid transporter, also known as ASCT2, is an alternate of the ASC (alanine-, serine-, cysteine-) transport system and is highly expressed in rat astroglia-rich cultures while not highly expressed in rat neuron-rich cultures. ASCT2 is also thought to be important in the glutamine release from cells. ASCT2 has been implicated in the growth and survival of cancer cells, therefore making it a possible target for cancer therapy. ASCT2 is thought to be a crucial neuronal neutral amino acid transporter.
~ 57 kDa observed

Immunogen

Epitope: N-terminus
KLH-conjugated linear peptide corresponding to the N-terminus of Neutral amino acid transporter.

Application

Anti-Neutral amino acid transporter (ASCT2) Antibody detects level of Neutral amino acid transporter (ASCT2) & has been published & validated for use in WB, IH(P).
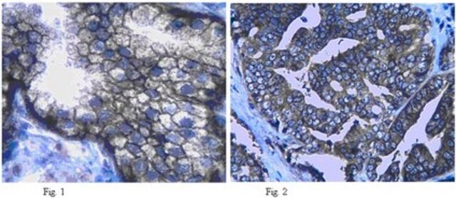
Immunohistochemistry Analysis: 1:1000 dilution from a previous lot detected Neutral amino acid transporter in human prostate tissue.
Research Category
Neuroscience
Research Sub Category
Ion Channels & Transporters

Biochem/physiol Actions

No homology found to mouse or rat. Other homologies: rhesus monkey (93% sequence homology).
This antibody recognizes Neutral amino acid transporter at the N-terminus.

Physical form

Affinity purified
Purified rabbit polyclonal in buffer containing 0.1 M Tris-Glycine (pH 7.4), 150 mM NaCl with 0.05% sodium azide.

Preparation Note

Stable for 1 year at 2-8°C from date of receipt.

Analysis Note

Control
Human placenta tissue lysate
Evaluated by Western Blot in human placenta tissue lysate.

Western Blot Analysis: 0.5 µg/mL of this antibody detected Neutral amino acid transporter on 10 µg of human placenta tissue lysate.

Other Notes

Concentration: Please refer to the Certificate of Analysis for the lot-specific concentration.

Disclaimer

Unless otherwise stated in our catalog or other company documentation accompanying the product(s), our products are intended for research use only and are not to be used for any other purpose, which includes but is not limited to, unauthorized commercial uses, in vitro diagnostic uses, ex vivo or in vivo therapeutic uses or any type of consumption or application to humans or animals.


Still not finding the right product?

试用我们的 产品选型工具 工具缩小选择范围


存储类别

12 - Non Combustible Liquids

wgk

WGK 1

flash_point_f

Not applicable

flash_point_c

Not applicable



分析证书(COA)

输入产品批号来搜索 分析证书(COA) 。批号可以在产品标签上"批“ (Lot或Batch)字后找到。

已有该产品?

在文件库中查找您最近购买产品的文档。

访问文档库



全球贸易项目编号

货号GTIN
ABN7304053252482922