跳转至内容
Merck
CN

ABT189

Anti-Tropomyosin 4 Antibody

from rabbit, purified by affinity chromatography

别名:

Tropomyosin alpha-4 chain, TM30p1, Tropomyosin-4

登录 查看组织和合同定价。

选择尺寸

变更视图

关于此项目

UNSPSC Code:
12352203
NACRES:
NA.41
eCl@ss:
32160702
Conjugate:
unconjugated
Clone:
polyclonal
Application:
IHC, WB
Citations:
-
技术服务
需要帮助?我们经验丰富的科学家团队随时乐意为您服务。
让我们为您提供帮助


biological source

rabbit

Quality Level

conjugate

unconjugated

antibody form

affinity isolated antibody

antibody product type

primary antibodies

clone

polyclonal

purified by

affinity chromatography

species reactivity

mouse, human, rat

species reactivity (predicted by homology)

bovine (based on 100% sequence homology)

technique(s)

immunohistochemistry: suitable (paraffin), western blot: suitable

NCBI accession no.

UniProt accession no.

shipped in

wet ice

target post-translational modification

unmodified

Gene Information

human ... TPM4(7171)

General description

Tropomyosin-4 is also called Tropomyosin alpha-4 chain and TM30p1. Tropomyosin-4 binds calcium and to actin filaments in muscle and non-muscle cells. Tropomyosin-4 associates with the troponin complex, and plays a role in the regulation of smooth and striated muscle contraction, as well as the stabilization of cytoskeleton actin filaments in non-muscle cells. Tropomyosin-4 is found in cardiac tissue and platelets.
~33 kDa observed. The calculated molecular weight is 29 kDa, however Tropomyosin 4 has been shown as a ~33 kDa band in western blots (Brooke, K., et al. (2006). Bone. 39:697-705).

Immunogen

KLH-conjugated linear peptide corresponding to the C-terminus of human Tropomyosin 4.

Application

Anti-Tropomyosin 4 Antibody is an antibody against Tropomyosin 4 for use in western blotting & IHC (Paraffin).
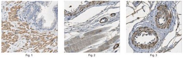
Immunohistochemistry Analysis: A 1:100 dilution from a representative lot detected Tropomyosin 4 in human prostate cancer sections and human heart sections tissue.

Biochem/physiol Actions

This antibody recognizes the C-terminus of Tropomyosin 4.

Analysis Note

Evaluated by Western Blotting in NIH/3T3 cell lysate.

Western Blotting Analysis: A 1:2,500 dilution of this antibody detected Tropomyosin 4 in 10 µg of NIH/3T3 cell lysate.

Other Notes

Concentration: Please refer to the Certificate of Analysis for the lot-specific concentration.


Still not finding the right product?

Explore all of our products under

或者

试用我们的 产品选型工具 工具缩小选择范围


存储类别

12 - Non Combustible Liquids

wgk

WGK 1

flash_point_f

Not applicable

flash_point_c

Not applicable



分析证书(COA)

输入产品批号来搜索 分析证书(COA) 。批号可以在产品标签上"批“ (Lot或Batch)字后找到。

已有该产品?

在文件库中查找您最近购买产品的文档。

访问文档库



全球贸易项目编号

货号GTIN
ABT18904053252916090