跳转至内容
Merck
CN

ABT334

Anti-TSLP receptor Antibody

from rabbit, purified by affinity chromatography

别名:

TSLP Receptor Antibody, TSLP Receptor, Thymic stromal lymphopoietin receptor, CRL2, ILXR, TSLPR, Cytokine receptor-like factor 2, Cytokine receptor-like 2, IL-XR

登录 查看组织和合同定价。

选择尺寸

变更视图

关于此项目

UNSPSC Code:
12352203
NACRES:
NA.41
eCl@ss:
32160702
Conjugate:
unconjugated
Clone:
polyclonal
Application:
IF, IHC, WB
Citations:
-
技术服务
需要帮助?我们经验丰富的科学家团队随时乐意为您服务。
让我们为您提供帮助


biological source

rabbit

Quality Level

conjugate

unconjugated

antibody form

affinity isolated antibody

antibody product type

primary antibodies

clone

polyclonal

purified by

affinity chromatography

species reactivity

human

technique(s)

immunofluorescence: suitable, immunohistochemistry: suitable (paraffin), western blot: suitable

UniProt accession no.

shipped in

wet ice

target post-translational modification

unmodified

Gene Information

human ... TSLP(85480)

General description

Thymic stromal lymphopoietin (TSLP) receptor is a member of the Type I cytokine receptor family (type 5 subfamily). TSLP has been shown to play an important role in dendritic cell maturation and activation. Additionally, TSLP receptor is involved in the positive selection of regulatory T cells, induction of CD4+ T cell-mediated allergic reaction and maintenance of peripheral CD4+ T cell homeostasis. Furthermore, TSLP receptor is implicated in the development of the hematopoietic system. TSLP receptor forms a functional complex with TSLP receptor and IL7R which is capable of stimulating cell proliferation through activation of STAT3 and STAT5. TSLP receptor is primarily expressed in dendrites and monocytes. Additionally, it is expressed in heart, skeletal muscle, kidney and adult and fetal liver; and weakly expressed in T-cells.
~53 kDa observed. Uncharacterized bands may appear in some lysate(s). Uniprot describes 2 isoforms at ~27 kDa and ~42 kDa

Immunogen

KLH-conjugated linear peptide corresponding to human TSLP receptor.

Application

Detect TLSP Receptor using this rabbit polyclonal antibody, Anti-TSLP receptor Antibody validated for use in western blotting, IHC (Paraffin) & Immunofluorescence.
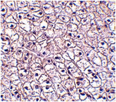
Immunohistochemistry Analysis: 5 µg/mL from a representative lot detected TSLP receptor in human liver tissue.

Immunofluorescence Analysis: 20 μg/mL from a representative lot detected TSLP receptor in human liver cells.
Research Category
Signaling
Research Sub Category
Cytokines & Cytokine Receptors

Physical form

Antigen Affinity Purified
Purified rabbit polyclonal in buffer containing PBS with up to 0.1% sodium azide.

Preparation Note

Stable for 1 year at 2-8°C from date of receipt.

Analysis Note

Control
Human liver tissue lysate
Evaluated by Western Blotting in human liver tissue lysate.

Western Blotting Analysis: 2 µg/mL of this antibody detected TSLP receptor in 15 µg of human liver tissue lysate.

Other Notes

Concentration: Please refer to the Certificate of Analysis for the lot-specific concentration.

Disclaimer

Unless otherwise stated in our catalog or other company documentation accompanying the product(s), our products are intended for research use only and are not to be used for any other purpose, which includes but is not limited to, unauthorized commercial uses, in vitro diagnostic uses, ex vivo or in vivo therapeutic uses or any type of consumption or application to humans or animals.


Still not finding the right product?

试用我们的 产品选型工具 工具缩小选择范围


存储类别

12 - Non Combustible Liquids

wgk

WGK 2

flash_point_f

Not applicable

flash_point_c

Not applicable



分析证书(COA)

输入产品批号来搜索 分析证书(COA) 。批号可以在产品标签上"批“ (Lot或Batch)字后找到。

已有该产品?

在文件库中查找您最近购买产品的文档。

访问文档库



全球贸易项目编号

货号GTIN
ABT33404053252905568