跳转至内容
Merck
CN

ABT45

抗-Claudin-5抗体

from rabbit, purified by affinity chromatography

别名:

Claudin-5, Transmembrane protein deleted in VCFS, TMDVCF

登录 查看组织和合同定价。

选择尺寸

变更视图

关于此项目

UNSPSC Code:
12352203
NACRES:
NA.41
eCl@ss:
32160702
Conjugate:
unconjugated
Clone:
polyclonal
Application:
IHC, WB
Citations:
15
技术服务
需要帮助?我们经验丰富的科学家团队随时乐意为您服务。
让我们为您提供帮助


biological source

rabbit

Quality Level

conjugate

unconjugated

antibody form

affinity isolated antibody

antibody product type

primary antibodies

clone

polyclonal

purified by

affinity chromatography

species reactivity

rat, mouse, horse, human

species reactivity (predicted by homology)

equine (based on 100% sequence homology), ox (based on 100% sequence homology)

packaging

antibody small pack of 25 μg

technique(s)

immunohistochemistry: suitable (paraffin), western blot: suitable

NCBI accession no.

UniProt accession no.

shipped in

ambient

storage temp.

2-8°C

target post-translational modification

unmodified

Gene Information

human ... CLDN5(7122)

General description

Claudin-5是一种在心肺面综合征(TMVCF)中缺失的跨膜蛋白,可能与内皮紧密连接有关。Claudin-5仅在内皮细胞的细胞边界中发现。肝损伤期间窦状内皮细胞中较低的claudin-5水平可能导致其功能障碍。肿瘤血管中claudin-5的水平可能是肝细胞癌预后的潜在标志物。Claudin-5功能的丧失与致癌作用有关。
观测值〜17 kDa。
由于磷酸化作用和糖基化作用,可以观察到〜17 kDa和62 kDa的分子量(Ishizaki, T., et al. (2003).Experimental Cell Research.290:275–288).

Immunogen

与人Claudin-5细胞质结构域对应的KLH缀合线性肽。
表位:细胞质结构域

Application

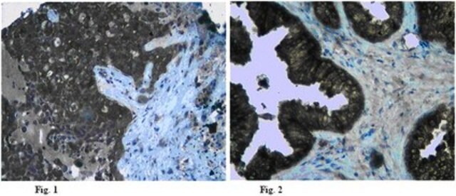
免疫组化分析:一个代表性批次产品以1:800的稀释度在前列腺组织中检测到Clausin-5。
抗Claudin-5抗体可检测Claudin-5水平 & 已出版&并经过验证可用于WB、IH(P)。
研究子类别
粘附力(CAMs)
研究类别
细胞结构

Biochem/physiol Actions

该抗体可识别Claudin-5的胞质结构域。

Physical form

亲和纯化
在含 0.1 M Tris-甘氨酸(pH 7.4),150 mM NaCl 和 0.05% 叠氮化钠的缓冲液中的纯化的兔多克隆抗体。

Preparation Note

自发运之日起,在 2-8°C 条件下可稳定保存1年

Analysis Note

对照
人肺组织裂解液
已通过蛋白质印迹法在人肺组织裂解液中进行了评估。

蛋白质印迹分析:0.1 µg/mL的该抗体在10 µg人肺组织裂解液中检测到Claudin-5。

Other Notes

浓度:请参考批次特异性浓缩物的分析证书。

Disclaimer

除非我们的产品目录或产品附带的其他公司文档另有说明,否则我们的产品仅供研究使用,不得用于任何其他目的,包括但不限于未经授权的商业用途、体外诊断用途、离体或体内治疗用途或任何类型的消费或应用于人类或动物。


Still not finding the right product?

试用我们的 产品选型工具 工具缩小选择范围


存储类别

12 - Non Combustible Liquids

wgk

WGK 1

flash_point_f

Not applicable

flash_point_c

Not applicable

法规信息

低风险生物材料
常规特殊物品

此项目有



分析证书(COA)

输入产品批号来搜索 分析证书(COA) 。批号可以在产品标签上"批“ (Lot或Batch)字后找到。

已有该产品?

在文件库中查找您最近购买产品的文档。

访问文档库



Neutrophil elastase contributes to the pathological vascular permeability characteristic of diabetic retinopathy.
Liu, et al.
Diabetologia, 62, 2365-2374 (2020)
Disrupted tight junctions in the small intestine of cystic fibrosis mice.
De Lisle, RC
Cell and Tissue Research null
Zhi Fang et al.
FASEB journal : official publication of the Federation of American Societies for Experimental Biology, 30(6), 2097-2107 (2016-02-19)
The mechanism of blood-brain barrier (BBB) disruption, involved in poststroke edema and hemorrhagic transformation, is important but elusive. We investigated microRNA-150 (miR-150)-mediated mechanism in the disruption of BBB after stroke in rats. We found that up-regulation of miR-150 increased permeability



全球贸易项目编号

货号GTIN
ABT45-25UG04054839350337