biological source
mouse
Quality Level
conjugate
unconjugated
antibody form
purified antibody
antibody product type
primary antibodies
clone
AHE-1, monoclonal
mol wt
calculated mol wt 81.04 kDa
purified by
using protein G
species reactivity
human
packaging
antibody small pack of 100 μg
technique(s)
immunocytochemistry: suitable, immunofluorescence: suitable, immunohistochemistry (formalin-fixed, paraffin-embedded sections): suitable
isotype
IgG1κ
epitope sequence
Unknown
Protein ID accession no.
UniProt accession no.
storage temp.
2-8°C
target post-translational modification
unmodified
Gene Information
human ... EPX(8288)
General description
Eosinophil peroxidase (UniProt: P11678; also known as EC:1.11.1.7, EPO, EPX) is encoded by the EPX (also known as EPER, EPO, EPP) gene (Gene ID: 8288) in human. Eosinophil peroxidase is an enzyme found in cytoplasmic granules of eosinophils. It mediates tyrosine nitration of secondary granule proteins in mature resting eosinophils. It is synthesized with a signal peptide (aa 1-17) and a propeptide (aa 18-139), which are subsequently cleaved off to produce the mature form that can be cleaved into a light chain (aa 140-250) and a heavy chain (aa 251-715). These chains can assemble to for a tetrameric structure. It is a heme-containing enzyme that physically associates with fibrous tissue and cancer tissue in various organs. It contains well-conserved profibrogenic capacity to stimulate the migration of fibroblastic cells and promote their ability to secrete collagenous proteins to generate a functional extracellular matrix (ECM) both in vitro and in vivo. It plays a role in regulating the recruitment of fibroblast and the biosynthesis of collagen ECM at sites of normal tissue repair and fibrosis. It is a key participant in generation of reactive oxidants and diffusible radical species by the phagocytes. It serves as a potent toxin towards invading parasites and the surrounding tissues. It also displays significant inhibitory activity towards Mycobacterium tuberculosis H37Rv by inducing bacterial fragmentation and lysis. (Ref.: DeNichilo, MO., et al. (2015). Am. J. Pathol. 185(5); 1372-1384; Mitra, SN., et al. (2000). Redox Rep. 5(4); 215-224).
Immunogen
Human Eosinophils from a patient with hypereosinophilic syndrome.
Application
Quality Control Applications
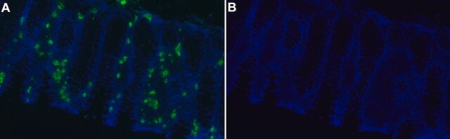
Evaluated by Immunofluorescence in frozen Human colon tissue sections.
Immunofluorescence Analysis: A 1:50 dilution of this antibody detected Eosinophil Peroxidase in frozen Human colon tissue sections.
Tested applications
Immunofluorescence Analysis: A representative lot detected Eosinophil Peroxidase in Immunofluorescence applications (DeNichilo, M.O., et al. (2015). Am J Pathol. 185(5); 1372-84; Song, Y., et al. (2013). ISRN Inflamm. 2013; 907821).
Immunohistochemistry Applications: A representative lot detected Eosinophil Peroxidase in Immunohistochemistry applications (Spang, C., et al. (2017). J Musculoskelet Neuronal Interact. 17(3); 226-236; Song, Y., et al. (2013). ISRN Inflamm. 2013; 907821; Song, Y., et al. (2013). BMC Musculoskelet Disord. 14:; 34; Song, Y., et al. (2012). PLoS One ;7(12); e52230).
Immunocytochemistry Analysis: A representative lot detected Eosinophil Peroxidase in Immunocytochemistry applications (DeNichilo, M.O., et al. (2015). Am J Pathol. 185(5); 1372-84).
Note: Actual optimal working dilutions must be determined by end user as specimens, and experimental conditions may vary with the end user.
Evaluated by Immunofluorescence in frozen Human colon tissue sections.
Immunofluorescence Analysis: A 1:50 dilution of this antibody detected Eosinophil Peroxidase in frozen Human colon tissue sections.
Tested applications
Immunofluorescence Analysis: A representative lot detected Eosinophil Peroxidase in Immunofluorescence applications (DeNichilo, M.O., et al. (2015). Am J Pathol. 185(5); 1372-84; Song, Y., et al. (2013). ISRN Inflamm. 2013; 907821).
Immunohistochemistry Applications: A representative lot detected Eosinophil Peroxidase in Immunohistochemistry applications (Spang, C., et al. (2017). J Musculoskelet Neuronal Interact. 17(3); 226-236; Song, Y., et al. (2013). ISRN Inflamm. 2013; 907821; Song, Y., et al. (2013). BMC Musculoskelet Disord. 14:; 34; Song, Y., et al. (2012). PLoS One ;7(12); e52230).
Immunocytochemistry Analysis: A representative lot detected Eosinophil Peroxidase in Immunocytochemistry applications (DeNichilo, M.O., et al. (2015). Am J Pathol. 185(5); 1372-84).
Note: Actual optimal working dilutions must be determined by end user as specimens, and experimental conditions may vary with the end user.
Biochem/physiol Actions
Clone AHE-1 is a mouse monoclonal antibody that detects Eosinophil Peroxidase.
Physical form
Purified mouse monoclonal antibody IgG1 in buffer containing 0.1 M Tris-Glycine (pH 7.4), 150 mM NaCl with 0.05% sodium azide.
Preparation Note
Recommended storage: +2°C to +8°C.
Other Notes
Concentration: Please refer to the Certificate of Analysis for the lot-specific concentration.
Disclaimer
Unless otherwise stated in our catalog or other company documentation accompanying the product(s), our products are intended for research use only and are not to be used for any other purpose, which includes but is not limited to, unauthorized commercial uses, in vitro diagnostic uses, ex vivo or in vivo therapeutic uses or any type of consumption or application to humans or animals.
存储类别
13 - Non Combustible Solids
wgk
WGK 1
flash_point_f
Not applicable
flash_point_c
Not applicable
法规信息
常规特殊物品
低风险生物材料
此项目有
全球贸易项目编号
| 货号 | GTIN |
|---|---|
| MAB1087-I-100UG | 04065269802341 |
| MAB1087-I-25UG | 04065269802358 |