跳转至内容
Merck
CN

MABC117

Anti-Podoplanin Antibody, clone NZ1.2

clone NZ1.2, from rat

别名:

Aggrus, Glycoprotein 36, Gp36, PA2.26 antigen, T1-alpha, T1A

登录 查看组织和合同定价。

选择尺寸

变更视图

关于此项目

UNSPSC Code:
12352203
NACRES:
NA.41
eCl@ss:
32160702
Conjugate:
unconjugated
Clone:
NZ1.2, monoclonal
Application:
IHC, WB
Citations:
-
技术服务
需要帮助?我们经验丰富的科学家团队随时乐意为您服务。
让我们为您提供帮助


biological source

rat

Quality Level

conjugate

unconjugated

antibody form

purified antibody

antibody product type

primary antibodies

clone

NZ1.2, monoclonal

species reactivity

human

technique(s)

immunohistochemistry: suitable, western blot: suitable

isotype

IgG2aκ

NCBI accession no.

UniProt accession no.

shipped in

wet ice

target post-translational modification

unmodified

Gene Information

human ... PDPN(10630)

General description

Human podoplanin (T1alpha-2, aggrus and gp36) is a 38 kDa type-1 transmembrane glycoprotein that consists of 162 amino acids, nine of which form the intracellular domain. The highly O-glycosylated extracellular domain contains a sialic acid that is linked to an alpha-2,3 galactose, which forms the main part of the protein’s carbohydrate moieties. It is expressed in a select variety of human tissues and organs, and is also found in lymphatic, but not blood vessel endothelium. While its mode of action remains unclear, podoplanin is suggested to play a critical role in several physiological processes and conditions such as cell migration, cytoskeleton organization, tissue development, and tissue repair, as well as in carcinogenesis and tumor cell invasion.
~25 kDa observed.
4 isoforms are produced by alternative splicing, at molecular weights of ~17 kDa (isoform 1), ~18 kDa (isoform 2), ~25 kDa (isoform 3), and ~25 kDa (isoform 4).

Immunogen

Epitope: PLAG Domain
Protein sequence corresponding to the PLAG domain of human Podoplanin.

Application

Anti-Podoplanin Antibody, clone NZ1.2 is an antibody against Podoplanin for use in WB, IH.
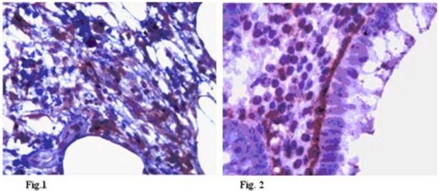
Immunohistochemistry Analysis: A 1:300 dilution from a representative lot detected Podoplanin in human lung adenocarcinoma and colorectal tissue.
Research Category
Apoptosis & Cancer
Research Sub Category
Cytoskeleton

Biochem/physiol Actions

This antibody detects Podoplanin at the PLAG domain.

Physical form

Format: Purified
Protein G Purified
Purified rat monoclonal IgG2aκ in buffer containing 0.1 M Tris-Glycine (pH 7.4), 150 mM NaCl with 0.05% sodium azide.

Preparation Note

Stable for 1 year at 2-8°C from date of receipt.

Analysis Note

Control
Human lung tissue lysate.
Evaluated by Western Blot in human lung tissue lysate.

Western Blot Analysis: A 1:2,000 dilution of this antibody detected Podoplanin in 10 µg of human lung tissue lysate.

Disclaimer

Unless otherwise stated in our catalog or other company documentation accompanying the product(s), our products are intended for research use only and are not to be used for any other purpose, which includes but is not limited to, unauthorized commercial uses, in vitro diagnostic uses, ex vivo or in vivo therapeutic uses or any type of consumption or application to humans or animals.


Still not finding the right product?

试用我们的 产品选型工具 工具缩小选择范围


存储类别

12 - Non Combustible Liquids

wgk

WGK 1

flash_point_f

Not applicable

flash_point_c

Not applicable



分析证书(COA)

输入产品批号来搜索 分析证书(COA) 。批号可以在产品标签上"批“ (Lot或Batch)字后找到。

已有该产品?

在文件库中查找您最近购买产品的文档。

访问文档库



全球贸易项目编号

货号GTIN
MABC11704053252755941