跳转至内容
Merck
CN

MABC730

Anti-SCARB1 Antibody, clone 5B8.2

clone 5B8.2, 1 mg/mL, from mouse

别名:

Scavenger receptor class B member 1, SRB1, CD36 and LIMPII analogous 1, CLA-1, CD36 antigen-like 1, Collagen type I receptor, thrombospondin receptor-like 1, SR-BI, CD36

登录 查看组织和合同定价。

选择尺寸

变更视图

关于此项目

UNSPSC Code:
12352203
NACRES:
NA.41
eCl@ss:
32160702
Conjugate:
unconjugated
Clone:
5B8.2, monoclonal
Application:
IHC, WB
Citations:
1
技术服务
需要帮助?我们经验丰富的科学家团队随时乐意为您服务。
让我们为您提供帮助


biological source

mouse

Quality Level

conjugate

unconjugated

antibody form

purified immunoglobulin

antibody product type

primary antibodies

clone

5B8.2, monoclonal

species reactivity

human

concentration

1 mg/mL

technique(s)

immunohistochemistry: suitable, western blot: suitable

isotype

IgMκ

NCBI accession no.

UniProt accession no.

shipped in

wet ice

target post-translational modification

unmodified

Gene Information

human ... SCARB1(949)

General description

Scavenger receptor class B member 1 (SCARB1), or CD36L1, is the membrane bound cell surface receptor for high density lipoprotein (HDL) as well as a number of related compounds such as phospholipids, cholesterol ester, and phosphatidylserine and apoptotic cells (via their expression of phosphatidylserine on their extracellular surfaces). SCARB1 is also the receptor for Hepatitis C virus glycoprotein E2 and it facilitates the attachment and entry of HCV. SCARB1 plays a critical role in cholesterol homeostasis and mediates cholesterol transfer to and from the HDL protein carriers, a process known as reverse cholesterol transport. It is highly expressed in tissues that require free cholesterol such as the liver and steroidogenic tissues (adrenals, testis, ovary). SCARB1 expression has also been associated with particular cancers including chronic myeloid leukemia (CML), breast cancer, bladder carcinoma, and prostate cancer.
~61 kDa observed. Uncharacterized band(s) may appear in some lysates.

Immunogen

Epitope: Extracellular domain
KLH-conjugated linear peptide corresponding to the extracellular domain of human SCARB1.

Application

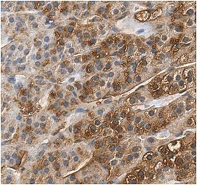
Detect SCARB1 using this Anti-SCARB1 Antibody, clone 5B8.2 validated for use in western blotting & IHC.
Immunohistochemistry Analysis: A 1:50 dilution from a representative lot detected SCARB1 in human adrenal gland tissue.
Research Category
Apoptosis & Cancer
Research Sub Category
Apoptosis - Additional

Physical form

Format: Purified
Purified mouse monoclonal IgMκ in buffer containing PBS with 0.05% sodium azide.

Preparation Note

Stable for 1 year at 2-8°C from date of receipt.

Analysis Note

Evaluated by Western Blotting in human adrenal tissue lysate.

Western Blotting Analysis: 1.0 µg/mL of this antibody detected SCARB1 in 10 µg of human adrenal tissue lysate.

Disclaimer

Unless otherwise stated in our catalog or other company documentation accompanying the product(s), our products are intended for research use only and are not to be used for any other purpose, which includes but is not limited to, unauthorized commercial uses, in vitro diagnostic uses, ex vivo or in vivo therapeutic uses or any type of consumption or application to humans or animals.


Still not finding the right product?

试用我们的 产品选型工具 工具缩小选择范围


存储类别

12 - Non Combustible Liquids

wgk

WGK 2

flash_point_f

Not applicable

flash_point_c

Not applicable



分析证书(COA)

输入产品批号来搜索 分析证书(COA) 。批号可以在产品标签上"批“ (Lot或Batch)字后找到。

已有该产品?

在文件库中查找您最近购买产品的文档。

访问文档库



Shai White-Gilbertson et al.
Scientific reports, 12(1), 8971-8971 (2022-05-28)
Polyploid Giant Cancer Cells (PGCC) are increasingly being recognized as drivers of cancer recurrence. Therapy stress promotes the formation of these cells, which upon stress cessation often successfully generate more aggressive progeny that repopulate the tumor. Therefore, identification of potential



全球贸易项目编号

货号GTIN
MABC73004053252975608